
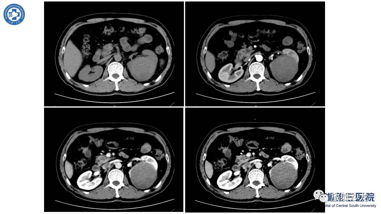
来源:中南大学湘雅三医院放射科
商务合作:2519330936@qq.com
版主微信号:fsslong2

【中放现场专家课程】
今晚19:30
马林—《脊髓炎性病变的影像学诊断》

点击 “阅读原文” ,立马观看

来源:中南大学湘雅三医院放射科
商务合作:2519330936@qq.com
版主微信号:fsslong2

【中放现场专家课程】
今晚19:30
马林—《脊髓炎性病变的影像学诊断》

点击 “阅读原文” ,立马观看