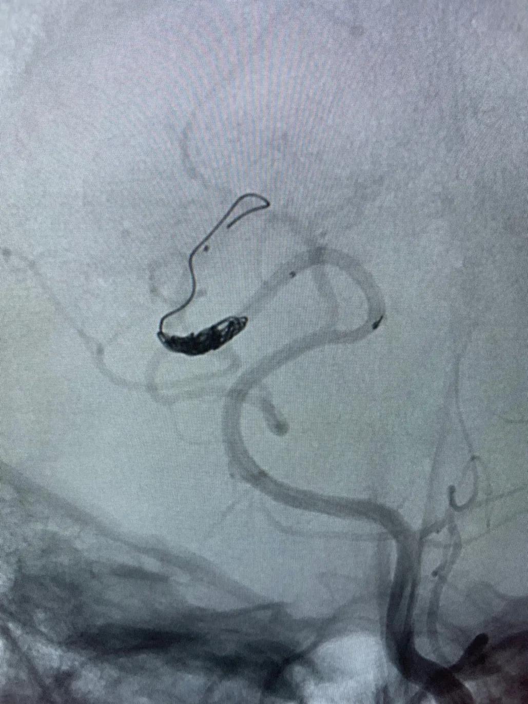
高压锅技术(Pressure Cooker Technique,PCT)是指在使用可解脱微导管进行Onyx栓塞时,在其可解脱点和导管远端之间,用另一根微导管(较细血管使用Magic,较粗血管使用10系列微导管)注射弹簧圈或nBCA等形成塞子,阻止Onyx返流,实现更好的栓塞效果。









本组部分病例在使用Apollo微导管进行Onyx栓塞时,采用此种技术,可有效的阻止Onyx返流。本病例为一小女孩,右侧枕叶血管畸形,主要供血动脉为右侧大脑后动脉。
高压锅技术(Pressure Cooker Technique,PCT)是指在使用可解脱微导管进行Onyx栓塞时,在其可解脱点和导管远端之间,用另一根微导管(较细血管使用Magic,较粗血管使用10系列微导管)注射弹簧圈或nBCA等形成塞子,阻止Onyx返流,实现更好的栓塞效果。









本组部分病例在使用Apollo微导管进行Onyx栓塞时,采用此种技术,可有效的阻止Onyx返流。本病例为一小女孩,右侧枕叶血管畸形,主要供血动脉为右侧大脑后动脉。