一个爱笑的人运气是不会差的。可当你牙齿上有牙石、色素,牙龈红肿,牙龈退缩,牙齿松动移位,牙根暴露导致的遇冷敏感时,笑容颜值会大打折扣,心情就不美丽了,而这些问题可统一归类为牙周病,主要就是平常大家有所耳闻的牙龈炎和牙周炎。

看到这,你会觉得这都是老年病,在此,我要告诉你,牙周问题可是一点也不傲娇,十分亲民,它遵从“one world,one dream”的价值观,不论男女,不论老少,不论种族,一视同仁,在此基础上有所侧重点,牙龈炎更青睐年轻人,慢性牙周炎更喜欢老年人。
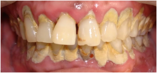
牙龈炎是何方神圣呢,如果你常在刷牙或咬硬物时牙龈出血,牙龈附近的牙面有明牙石堆积,牙龈颜色是暗红色或鲜红色,龈乳头圆钝肥大,好吧,十有八九是牙龈炎了,如果加之口腔专科检查:牙龈松软缺乏弹性,探诊后出血,龈沟液量增加,可以100%确定你有牙龈炎了。

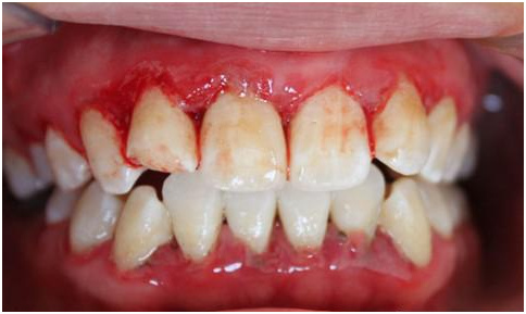
牙龈炎看起来挺严重呢,不,更严重的是牙周炎。除了上述牙龈炎症状外,当还有牙周袋大于3mm,牙齿邻面附着丧失大于1mm,牙齿X线片显示压槽骨有吸收,严重者甚至有口臭、溢脓、牙齿松动等,这些就可以确诊牙周炎了。看到下面这张图,是不是有一种“使我不得开心颜”的惆怅呢,还有下面的X牙片,让我想起了《千年泪》中“摇摇欲坠,不只你的泪”,这里摇摇欲坠的还有你的牙。

牙周病可不是仅仅局限在口腔范围内,一些全身因素和系统性疾病可都是它的*底卧**,如遗传因素,青春期和妊娠期的性激素改变,吸烟,糖尿病、艾滋病等系统病,精神压力等,牙周病真是无孔不入啊。
了解了牙周病,你可能会在心底默默地呐喊:我可不要变成这样,有方法吗?答案是有的。你要有正确的口腔健康意识,建立正确的刷牙方法和习惯,使用牙线,间隙刷、漱口水等辅助工具,每年1至两次到口腔科进行口腔检查,洗牙,充填龋洞,改正不良修复体,拔出无保留价值或预后极差的患牙,建立平衡的咬合关系,发现和尽可能纠正全身性因素。如果你的牙周问题比较严重,经过上述基础治疗仍然没有好转,可以考虑牙周手术治疗了,主要是为了能更彻底的清除感染组织,还可以纠正牙龈及骨的外形,植入材料获得牙周组织的再生,术后配合修复治疗。治疗结束后可不是happy ending,很重要的是你需要3至6个月复查一次,观察疗效,及时发现问题并纠正。所以说,牙周病治疗的成功与否,一方面在于有周密正确的治疗计划和医生精湛细致的治疗技术,另一方面要求你的认真配合和持之以恒的自我控制口腔卫生,缺一不可。就像唐三藏西天取经,除了有三个徒弟的一路保护,自己还要有坚定的信念。
笑口常开,好彩自然来,希望你也有如此“回头一笑百媚生”的魅力,当然,前提依旧是良好的口腔状况,所以,如果今年你还没有进行口腔检查,就现在,拿起手中的手机,点击协和医院APP,预约口腔医生吧。

北京协和医院口腔科 杨帆