刘女士今年22岁,13岁月经初潮,月经周期在14岁时开始不稳定,偶尔两个月来一次,偶尔三个月。家长认为刘女士年龄尚小,月经稀发的事情就没放在心上。
青春期的大部分时光是在学校度过的,由于激素水平变化,刘女士体重也逐渐上涨。在刘女士18岁时,身高160cm的她,体重也是160斤,皮肤粗糙,毛孔增大。身材的异样迎来周围人的嘲笑,刘女士逐渐自卑,开启减肥之旅。

这期间,刘女士的月经仍然不规律,渐渐的,三、四个月才来一次,但是来一次的月经量很多。
大学毕业后,刘女士了解了关于月经的知识,她不再认为自己的情况是正常生理反应。于是,她来到北京安太医院就诊,依据超声、激素检查以及月经稀发病史、肥胖、多毛、皮肤黑等体征表现,刘女士被确诊为多囊卵巢综合症。

不过,在进行超声检查时,北京安太医院的医生发现,刘女士的子宫内膜异常增厚。纵使她多次强调不想进行卵睾挫灭术,还要再拖一拖治疗。安太医生仍然规劝她及时治疗,因为,多囊卵巢不仅影响女性的孕育,还困扰女性的一生。
不及时治疗,非常容易形成多囊卵巢综合征并发症,即胰岛素抵抗、高雄激素血症、心脑血管疾病、子宫内膜癌等。

最终,刘女士进行了卵睾挫灭术治疗,术后,根据多囊卵巢分型,进行了药物辅助治疗。目前,刘女士月经每月一次,周期为27天,每次持续4-5天。并且,术后刘女士体重锐减,皮肤白皙,不仅恢复了孕育功能,还恢复了曼妙身材。
综上病例,除却多囊卵巢综合征会引起月经稀发、排卵障碍、体态改变、难孕或不孕外。我们还发现,多囊卵巢综合征患者还伴有子宫内膜异常增生表现,这是为什么呢?

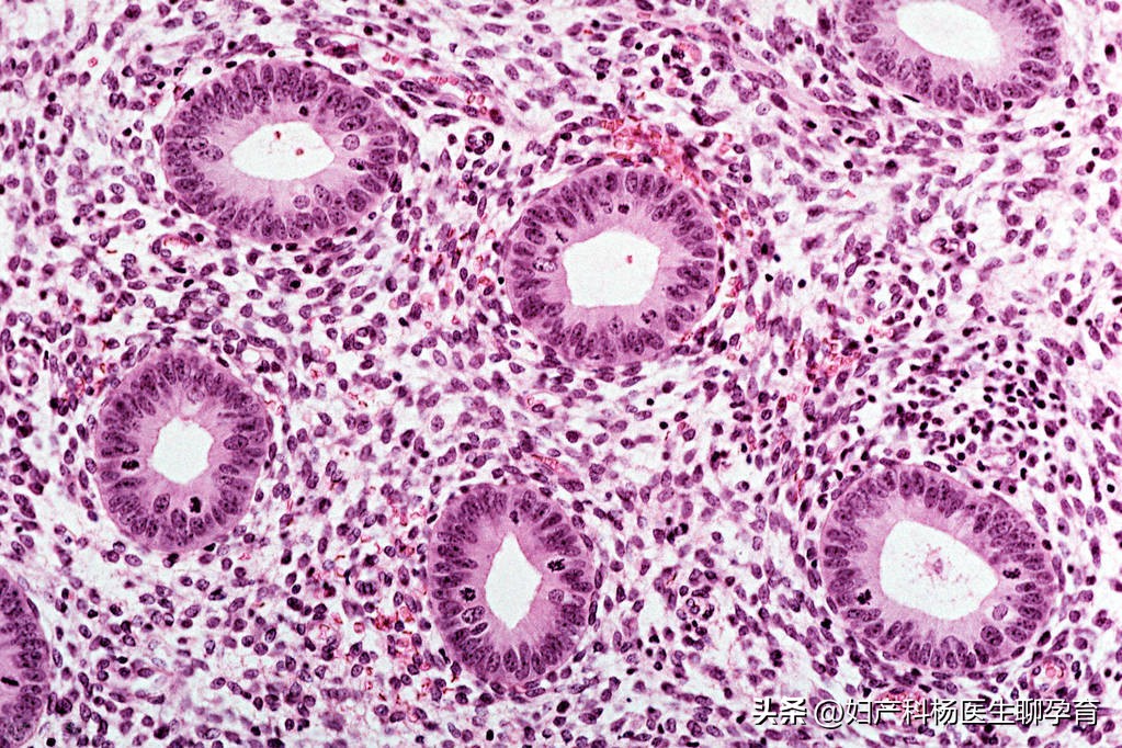
子宫内膜的作用是什么?在不同阶段,正常的子宫内膜是多厚?
女性子宫内膜就像是土壤,孕卵就像是发芽的种子,营养达不到,就可能会枯萎。如果子宫内膜薄,怀孕之后可能会发生流产。
一般来说子宫内膜正常的厚度是8-10毫米。

子宫内膜的变化:
月经期,子宫内膜功能层脱落保留基底层;增生期,月经第6-14天内膜厚达1-3毫米;分泌期,月经第15-28天,子宫内膜厚达5-7毫米。
高雄激素血症、肥胖及胰岛素抵抗-高胰岛素血症,是多囊卵巢综合征患者的内分泌特征,它们可直接影响子宫内膜,从而对多囊卵巢患者的子宫内膜异常增生造成一定的影响。
多囊卵巢患者的子宫内膜病理改变及雌、孕激素受体测定,依据临床探究发现,多囊卵巢综合征患者子宫内膜增生症发生率为 51.8% 。

多囊卵巢综合征患者伴有高雄激素血症,是如何对子宫内膜造成影响的呢?
正常月经周期的卵泡期,血清睾酮浓度平均为0.43ng/ml,高限为0.68ng/ml,如超过0.7ng/m1(等于2.44nmol/L),即称为高睾酮血症,或高雄激素血症。多囊卵巢综合征的患者伴有高雄激素血症,会有多毛、月经稀发、体毛重等表现。

高雄激素可引起高胰素血症,在进行激素化验时,表现为LH/FSH比例失调,致使月经周期的性激素平衡失调,对卵泡发育不利,导致排卵障碍,即使部分排卵,常发生黄体功能不全。如果这时怀孕,就会发生黄体功能不全流产。
那么,高雄激素血症是如何对子宫内膜造成影响的呢?
高雄激素血症对子宫内膜的影响,临床研究显示,雄激素能抑制正常及子宫内膜异位症患者的子宫内膜生长,不会引起子宫内膜增生。可是多囊卵巢患者多伴有高胰岛素血症,胰岛素抵抗。

当雄激素与胰岛素共同作用于多囊卵巢患者的子宫内膜时,则能促进子宫内膜生长,这是由于子宫内膜在高胰岛素作用下,促进芳香化酶的活性,使雄激素转化为雌激素,雄激素对内膜的抑制作用减少有关。
因此,雄激素对多囊卵巢患者子宫内膜的影响会随这内环境的改变而改变,也会随个体遗传不同而变化。
警惕,高胰岛素使代谢恶性紊乱,加重胰岛素抵抗,使子宫内膜增生!
另外,胰岛素作为一种多功能的蛋白质激素,有调节糖代谢的作用和促细胞生长作用。但是多囊卵巢综合征患者的高胰岛素状态,会导致糖、脂代谢紊乱,导致多囊患者肥胖。而肥胖由于脂肪细胞肥大及数量增多,会加重代谢紊乱。造成其分泌的激素的表达增强或减弱,从不同层次影响胰岛素的效应,从而加重胰岛素抵抗。

多囊卵巢患者提示高胰岛素,高胰岛素与子宫内膜增生表达的胰岛素受体结合后发挥了作用。
胰岛素在体内也是一种重要的生长调节因子,能通过促进其它生长因子的分泌或调节激素合成酶的活性而间接诱导细胞生长。
研究发现,胰岛素能促进子宫内膜间质细胞合成与分泌促生长因子 。胰岛素与雌二醇在刺激子宫内膜增生作用有协同效应。促生长因子与其受体结合后可促进细胞有丝分裂,刺激子宫内膜的增生。

胰岛素还会影响子宫内膜雌激素受体的表达,从而增加雌激素的作用。还会将有利于雄激素在子宫内膜局部转化为雌激素,发挥雌激素的促内膜增生作用。
所以说多囊卵巢综合征患者内分泌特征包括高雄激素血症、肥胖及胰岛素抵抗-高胰岛素血症,它们之间相互影响,形成代谢紊乱的恶性循环。它们不仅通过抑制排卵导致子宫内膜长期受雌激素作用导致增生异常,且它们可直接作用于子宫内膜,对多囊卵巢患者子宫内膜异常增生有着重要作用。

多囊卵巢综合症如何治疗?
关于多囊卵巢综合症,安太医院生殖健康科医生认为,多囊卵巢综合征(PCOS),以高雄血症和排卵障碍为主,糖脂代谢紊乱为辅的疾病。
临床可以将多囊卵巢综合症分为十多个不同类型,表现各异:如不孕,流产,月经不调,肥胖,多毛,*疮痤**,情绪不稳。
因为多囊卵巢的病因,实际是性腺错构,即卵巢在分化期残留了*丸睾**组织(卵睾)。所以,在治疗上不能停留在改变疾病的临床症状上,而是通过腹腔技术挫灭卵巢中的*丸睾**组织(改变性腺错构),再根据类型辅以药物调节。
视频加载中...