来源:肿瘤资讯
【35 under 35】风采展示第二轮已经开始啦!本轮正经名叫“病例实战分析”,不正经名叫“互相伤害”,哈哈哈~100位入围选手每人提交一个有意思的病例,并就病例提出一个问题,形成一个病例库!然后100位入围选手从病例库中任意选择一个非自己提供的病例进行解读并回答问题!最后,我们将呈现病例+别人的点评+病例提供者自己的点评,同步展示!

100位小伙伴已将自己的病例提交,并提出了问题,让我们一起先阅读下精彩病例吧!
病例分享
病史简介:
患者因纳差、烧心、腹痛、腹胀2月,于2016-01-17在某县人民医院行腹部CT示肝癌并门脉癌栓形成。分别于2016-01-22、2016-02-19于某市医院行两次TACE术(具体不详)。患者介入术后规律服用抗乙肝病毒、保肝、提高免疫力等药物治疗。2016-02-03至2016-04-30在某省立医院行5周期CIK免疫治疗。2016-05-18至2016-05-25于我院行射波刀治疗门静脉癌栓,具体放疗计划为:42Gy/7F。2016-06-24在我院行肝右动脉化疗栓塞术+肝右动脉灌注化疗术+间接门脉灌注化疗术,术中化疗总量,吡柔比星2mg、顺铂12mg、氟尿嘧啶250mg。分别于2016-05-10、2016-05-27、2016-06-13、2016-07-01、2016-07-27、2016-08-22、2016-09-19、2016-10-07、2016-10-19、2016-11-18、2016-12-18、2017-02-18行12周期免疫治疗。自2016-05-12起患者间断口服靶向药物阿帕替尼250-500mg/d,血压维持在220-130/95-70mmHg,血压升高期间伴上腹部不适,左侧为著,并向腰背部放射,偶尔反酸、烧心,剑突下疼痛,口服抑酸剂或进食后缓解,临床诊断为十二指肠溃疡,目前口服奥美拉唑、马来酸依那普利、氢氯噻嗪等药物对症降压。2017-03-02于我院行第二次肝右动脉化疗栓塞术+肝右动脉灌注化疗术+间接门脉造影术+肠系膜上动脉灌注化疗术。术中化疗总量,洛铂10mg、氟尿嘧啶500mg、吉西他滨400mg。目前间或皮下注射胸腺法新、重组人干扰素α-2b提高免疫力及慢性乙型病毒性肝炎治疗效果。
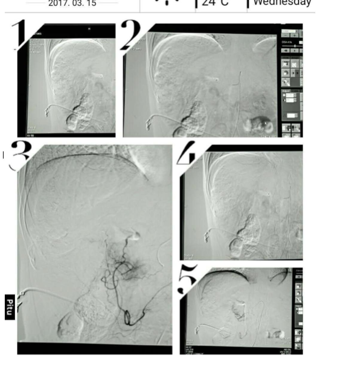
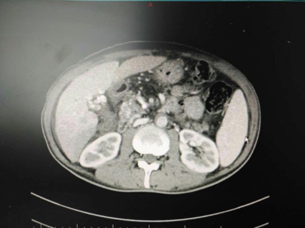
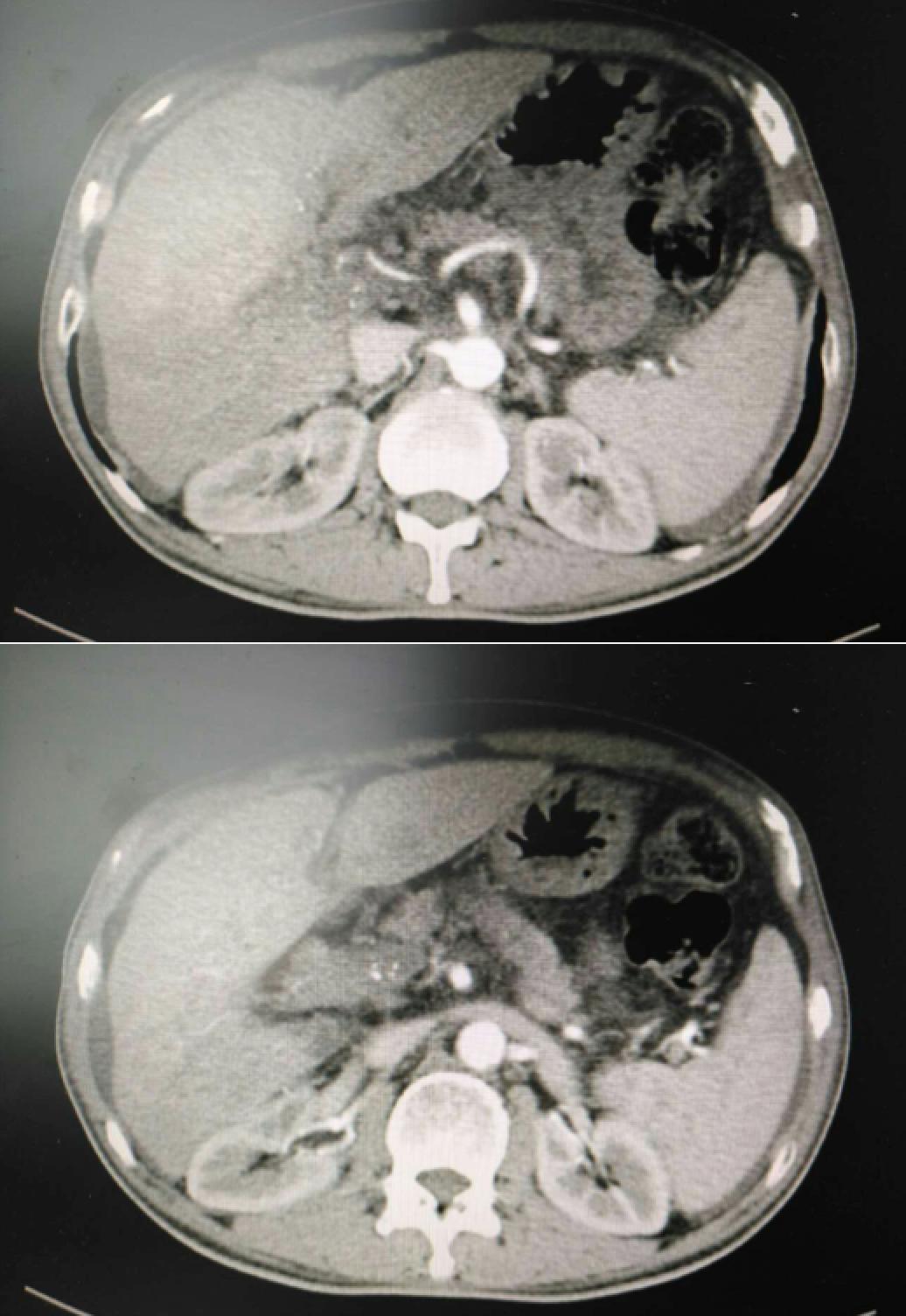
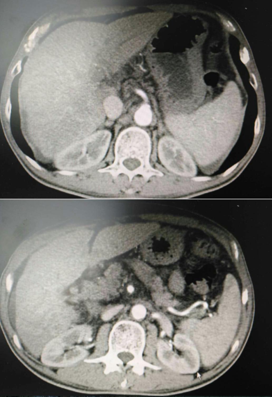
患者相关影像资料












问题:
1.高压的处理(门脉高压性胃病,如何改善症状)
2.乙肝、肝硬化的综合最佳治疗
3.靶向药的联合应用(目前7080)
4.PD-1可否考虑应用
5.干扰素应用
此病例共有1位入围选手点评: 64-周仲国;病例提供作者为:良医汇。详情如下:
点评医生简介:64-周仲国

点评内容分享:
一、总体映象:
1. 患者初诊肝癌合并门静脉癌栓,BCLC C期,预后极差,但经过几轮治疗后至今存活,效果非常理想。
2. 由于没有初始治疗的影像学报告,因此无法更详细评估初始治疗的可选择项目,2016年1月初诊后,当地医院给予TACE治疗+抗病毒+免疫治疗,后肿瘤控制情况不详。
3. 后续2016-5-12开始口服阿帕替尼,并在一周后联合放疗+局部化疗,原因是肿瘤控制欠佳?还是部分有效进行巩固治疗?后续治疗效果如何?资料未能详细提供。
4. 2017-3-15 DSA造影图中显示肿瘤组织血供一般,也未见癌栓显影,说明肿瘤组织或癌栓血供一般,也可能是靶向药物+栓塞化疗后,主要供血血管已闭塞,继续栓塞治疗效果有限。
5. 病例介绍未出现任何验血结果,肝功能情况无法评估。
二、问题探讨
1. 门脉高压的处理
个人建议:
(1)肝硬化患者容易出现门脉高压性胃病(本例还合并门脉癌栓),患者已经出现上腹不适,反酸烧心,进食后缓解等十二指肠溃疡的表现,需要进一步行明确诊断(确诊溃疡的存在,了解有无食管胃底静脉曲张及其严重程度),可采取检查措施:粪便潜血+电子胃镜。
(2)除了对溃疡的明确及处理,对于缓解门脉压力,可以针对门静脉癌栓进行干预,首选立体定向放疗,部分患者癌栓缩小门脉复通,门脉压力减轻;其次,有报道行门静脉置入消融导管对癌栓进行消融,以要求达到同样目的,但技术要求较高,有穿刺候出血,胆管损伤等风险;此外,有学者对于曾出现上消化道出血的合并门脉癌栓的肝癌患者进行选择性Tips(门静脉-肝静脉分流),对于快速降低门静脉压力,预防再出血效果明显,但对于可能存在的癌栓脱落、转移及远期疗效尚有争议。
(3)生长抑素的使用也可以辅助减少门静脉压力,减少消化液分泌,协助上消化道溃疡的治疗。
2. 乙肝肝硬化的最佳治疗
个人建议:本病例在首次治疗(TACE)术后已经开始了口服抗病毒治疗,这是乙肝肝硬化尤其活动性肝炎的基础治疗(未能提供验血报告,不清楚乙肝病毒的控制情况,也不知道已使用的抗病毒药物的确切疗效),目前还使用了护肝药物,胸腺法新及干扰素。总的而言,目前针对肝硬化的治疗药物是比较到位了,经济情况允许以及肝肾功能较好的情况下可以辅助中成药治疗。
3. 靶向药物联合应用
个人建议:患者目前使用7080(乐伐替尼)是很不错的选择,今年ASCO的报道让我们对这个药物充满信心,但是具体到个案而言,效果如何不得而知。病例未提供服药的起始时间以及服药后评估的情况。至于联合靶向药物的选择,目前使用的乐伐替尼联合PD-1*制剂抑**,或索拉非尼联合PD-1*制剂抑**,或者瑞戈非尼都是可以考虑的,前提是对于每个药物都能良好耐受。
4. PD-1是否考虑使用
个人建议:可以,若当前治疗效果欠佳可以考虑联合PD-1抗体治疗。
5.干扰素的使用
个人建议:患者目前正在使用干扰素联合胸腺法新治疗,干扰素兼具抗病毒及抗肿瘤的双重作用,但是考虑到患者晚期肝癌,肝脏经历多重治疗饱经沧桑,乙肝治疗共识中对于失代偿肝硬化是不推荐干扰素治疗的(本病例目前尚不清楚是否有失代偿的表现,但根据病史及治疗史,深有顾虑),从这个角度,个人认为干扰素使用值得商榷;其次,针对干扰素可能的抗肿瘤作用,2011年中国肝癌诊疗规范中,仅建议将长效干扰素作为根治术后的辅助治疗手段之一,而今年的中国版指南删除了干扰素这个部分,因此,针对这一非根治术后的晚期患者,个人不建议使用干扰素。
以上为【35 under 35】的观点,您怎么看?欢迎广大肿瘤医生在下方留言发表您的观点!
参考文献
以上所有点评参考文献略。
版权声明版权属肿瘤资讯所有。欢迎个人转发分享,其他任何媒体、网站如需转载或引用本网版权所有内容,须获得授权,且在醒目位置处注明“转自:良医汇-肿瘤医生APP”。