
牙齿有缝隙漏财,是我国传统面相学的说法,因为没有科学依据,很多人也是不当回事。
但是牙齿如果有缝隙,多多少少会被影响到个人形象,很容易给人留下邋遢的感观,财运自然很难降临在你身上。
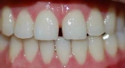
牙齿有缝隙不说漏财,不止对美观产生影响,对口腔健康才是最大的伤害。

在网上问塞牙,
平常笑起来不敢露牙齿的
速度出来讲,你们是不是牙缝很大。
站在牙科医生的角度来分析,牙缝过大确实会给容貌、健康和生活质量造成影响,情况较为严重者需要通过科学的方式进行调整。

那么牙缝大怎么破?
目前解决牙缝过大的方法主要有三种,有牙齿贴面、正畸关闭牙缝、烤瓷修复。这三者相比,正畸关闭缝隙选择的人更多些。今天小美主要为大家讲解其中的两种:

牙齿贴面:
很多明星的牙齿都很白,看着明星们bling bling的洁白牙齿,看到她们的漂亮牙齿是不是很羡慕,她们就是使用的牙齿贴面。
美白贴面就是在牙齿表面粘上一层专用材料,对已经变色的牙齿起到遮挡的作用。贴面美白的效果很明显,贴上之后立刻变白,非常方便。现在,牙齿贴面的颜色已经越做越多,外观也越来越逼真,很受欢迎。不同种类的牙齿贴面满足了不同患者的需求,患者可以根据自己的具体情况来进行牙齿贴面方法的选择。

隐形矫正:
牙齿矫正能有效解决牙缝过大。但患有牙周疾病的患者,必须先接受治疗,将牙周炎症控制住,随后再进行牙齿矫治,修复过大的牙缝。看看杨颖的牙齿矫正效果,你还会担心牙齿矫正的效果不好的吗?
隐形矫正是借助当今先进的3D扫描技术可以将获得的牙颌石膏模型进行三维数据录入,进行模型的三维重建;重建后的数字化模型可直接在计算机上进行各个方位的旋转观测、放大缩小,可对牙齿、牙弓、基骨等测量项目进行自动测量。在此研究的基础上,结合可视化三维图象处理及三维激光快速成形技术,可以模拟临床矫治设计和牙齿的移动方式与步骤,进行可视化三维牙颌畸形的矫治,并将每个矫治阶段的三维牙颌模型进行三维快速激光成形,再在成形的树脂模型上压制每个阶段的透明隐形矫治器。