首先呢,我们掌声欢迎一下我们今天的老师——名侦探柯南中的超人气帅哥安室透先生~
掌声鲜花在哪里?

安室透登场于名侦探柯南TV版第667~668集——婚礼前夕这个案件,初次登场的他就给我们科普了一个非常有意思的生物学知识。
麻麻,我也要个安室透那么帅的老师,我就再也不会怕生物啦,哈哈哈~

一个正常人类拥有23对,也就是共46条染色体。
其中有22对是常染色体,另一对为性染色体,这对染色体与人类性别发育相关。
通常用“X”和“Y”来表示。
拥有XX型性染色体使人表现出女性特征,而拥有XY型性染色体则表现出男性特征。
上面说的正常现象,有正常的(XX和XY),自然就有异常的情况,我们的细胞打个盹儿(比如说减数分裂不分离),异常情况就出现了……
就比如说安室透遇到这个案件,就是少了条X染色体的女性



特纳氏(Turner)综合征核型
因为Turnet曾在1938年首先报道,故又称Turner综合征。
单体型:45,XO是最多见的一种,约占60%。

根据目前的研究,X染色体的短臂和长臂上有控制性腺发育和身高的相关基因。
故X染色体缺失或异常,导致性腺发育不全,身材矮小,身高一般不超过150厘米。
在这个地方动画描述是准确的。

但是动画这个地方就不严谨了,伴场先生的未婚妻应该不会发育的如此丰满吧……

这里扩展一下,只有XO这种情况,却没有OY这种情况,Y染色体,和X染色体不同,缺少不少组成人体所必须的基因。所以不存在只有一条Y染色体的情况。
上面讨论的是少一条染色体的情况,接下来就说一下多一条(多条)染色体的情况。
多X染色体男性:
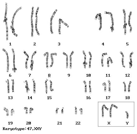
克莱恩费尔特氏(Klinefelter)综合征核型
该综合征命名源于内科医生Harry Klinefelter。1942年,Klinefelter及其同事在波士顿的马萨诸塞州综合医院首先进行了报道,故又称Klinefelter综合征。
其中多一条X染色体的情况最多见 47,XXY,约占80%

其临床表现为乳房肥大、体毛稀疏、*丸睾**小及无法产生精子等症状。
多X染色体女性:
XXX综合征(超雌综合征核型)
相比多X染色体的男性来说,多X染色体的女性就要幸运的多……
超雌综合征又称超x综合征。最常见的情况为47,XXX。

大部分患者一般发育正常,但智力低下,而且X染色体数目愈多,智力低下愈严重。性腺发育正常,大多数无生育能力。
多Y染色体:
XYY综合征(超雄综合征)
XYY综合征1961年由Sandberg等首先报道,他们因检查一女性先天愚型,追溯其父母核型发现其父亲为XYY综合征。
XYY综合征产生的额外的Y染色体是由于父亲的生殖细胞减数分裂时,染色体不分离所致。
核型为(47,XYY)最为常见。

临床中多以身材高大为特征,常达190厘米以上,常伴有面形特异或身体轻度不对称现象,面部多*疮痤**,部分患者可有运动不协调或震颤等表现,此外无更多的躯体外形异常。其智能发育虽属正常范围,但多偏于中下水平。性情暴躁,易怒,自制力差,易产生攻击*行为性**。大多数患者具有生育能力。
以上是普通的性染色体异常,医学上还存在着一种嵌合型的性染色体异常。
这种情况就更加的复杂了,这个就不再本文讨论的范围内了,有兴趣的同学可以自己查找相关资料哦~