牙断了只剩牙根 (牙断了戴牙套修复)

首先,我们需要第一时间将断裂的牙齿找到并好好保存起来。如果牙齿脱落的环境是污染环境,还需要先将牙齿在流动的水下面进行冲洗,并注意冲洗后尽量不要干燥保存。最理想的保存环境是生理盐水溶液,但是因为大家身边可能不会常备生理盐水溶液,也可以退而求其次,将牙齿放在纯牛奶或者直接含在嘴里,并尽快前往口腔医院进行就诊,口腔医院的牙科医生会根据折断程度以及牙髓的状况进行合理的治疗建议。在这个过程中,尽量不要进食,避免食物触碰或者刺激到牙齿神经,导致疼痛加重。

牙断了还连着肉怎么办,烤瓷牙套里的牙断了怎么办

关于牙折的注意事项:

1、尽早前往深圳口腔医院就诊,尽早拍X片判断一下牙根情况;

2、如果牙根有折裂,在牙根断面移位之前尽早固定,有利于断面的愈合;

3、记住受伤情况、受伤时间还有出血情况,有利于医生判断病情;

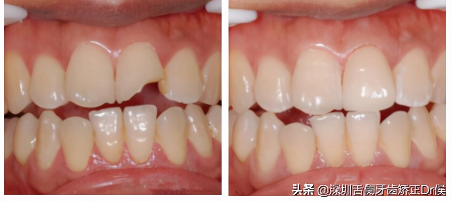
4、折断的牙体组织尽量保留,如果病例合适,医生有时候会把折断的牙体组织直接粘到断牙上;

5、牙折以后不管牙齿缺损大小,都别用患牙吃东西,用其他牙吃东西的时候也尽量避免碰到患牙。因为牙折以后会伴有不同程度的牙周膜损伤,让患牙充分休息,可以尽早让牙周膜愈合。如果伴有根折,进食可能引起根折的断面移位,不利于断面愈合;

6、牙折有时候可能伴有身体其他部位的骨折,如果有任何不舒服,一定要跟医生说清楚,在深圳口腔医院做一个详细的检查,以免延误病情。

牙断了还连着肉怎么办,烤瓷牙套里的牙断了怎么办

牙折有很多种,在临床上根据折断的位置可分为冠折、根折和冠根联合折,具体如下:

冠折:就是牙齿露出的这一部分(牙冠)折断。冠折还可以分为两种:一种是冠折后牙髓没有暴露,它仅仅只是折断在很表浅的那一层的组织里头,没有自觉疼痛的症状,有可能因为它边缘折断以后就比较尖锐,尤其可能会刮到嘴唇或者舌头。另一种是冠折后牙髓暴露,牙齿折断更深一些,到了里面那一层,没有到达牙神经那一层,有可能会在吃冷热的时候,会有刺激痛。如果到了牙神经,就会疼得非常明显,就是几乎都不能碰它,这是牙冠部的折断。

牙断了还连着肉怎么办,烤瓷牙套里的牙断了怎么办

根折:通常肉眼很难发现,主要靠X片或者CT,可以发生在牙根的任何部位,折裂线的位置不同,治疗方法也不一样;

牙断了还连着肉怎么办,烤瓷牙套里的牙断了怎么办

冠根联合折:如果是牙冠、牙根一起折断,我们就叫冠根联合折。冠根折可能会导致牙齿出现位置上的改变,而且可能会出现不能碰、不能吹风等等情况的发生。冠根折大多数患牙需要拔除,少数情况下,折断线距牙龈边缘比较近或者剩余的牙根比较长,可以摘除折断的牙冠,剩余的牙根做一些处理后再做冠修复。

#补牙##根管治疗##牙科医院#