所谓的支气管扩张症(简称支扩)是由各种病因导致中小支气管反复损伤、阻塞,支气管壁结构破坏,最终形成的支气管异常和持久性扩张的疾病。肺部CT是常见的影响检查,其中有几个典型特征,对明确诊断支扩以及对其分型有很好的指导意义。

耽误大家一分钟的时间,可以详细对比一下,你的支扩到底属于哪一种。
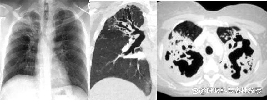
一、轨道征:由增厚的支气管壁和扩张中空的支气管共同构成,边缘平滑,和火车轨道十分相似,当CT切面与支气管平行时,即可表现出轨道征,是柱状支扩的典型影像特征。

二、印戒征:听到这个名字,可能很多人会想到印戒细胞癌,这是一种恶性程度比较高的肿瘤,而支扩也有这么一个典型征象,从名字可以看出,其形象类似戒指,当CT切面与支气管垂直时,可表现为印戒征,因支扩后内径超过伴行肺动脉而形成。

三、静脉曲张征:因支气管壁遭到严重破坏,边缘凹凸,各段支气管扩张程度不同,变现出类似静脉曲张或串珠状,是静脉曲张型支扩的典型表现。

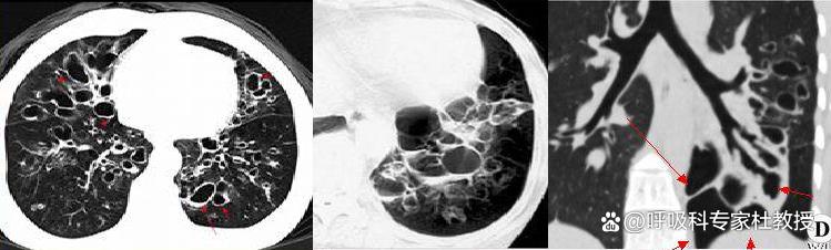
四、蜂窝征:扩张的支气管呈囊袋装,如葡萄一样成团出现,像蜂窝一样,囊内可因有液体存在而出现气液平面。

五、牵拉征:因支气管周围存在纤维化病变,瘢痕组织挛缩牵拉引起,往往扩张不均匀,边缘凹凸,且较为僵硬,与静脉曲张型不同。
