为什么天天刷牙牙齿还是又臭又黄?专家:不注意这几点,就白刷了
很多人都觉得疑惑:为什么我每天早晚都用美白牙膏刷牙,牙齿却还是黄黄的呢?那是因为很多人都不了解导致牙黄的根本原因。

牙齿为什么会变黄?
正常牙齿的构造,牙冠表面为牙釉质,其下为牙本质,再往里面有牙髓。牙釉质本身为略带透明的颜色,而牙本质则略带黄色,因此,正常的牙齿本身即略带黄色。牙齿变色一般可分为外源性和内源性。
(1)外源性着色。牙齿表面存在各种细菌,细菌会分泌出许多粘性物质,日常饮食中的一些物质吸附在上面,例如长期抽烟会造成烟渍,喝茶会有茶渍等等

久而久之,这些含色素较高的饮料、食物便会随着牙齿表面的粘性物质沾染在牙齿上,导致牙齿变黄或者变黑。这种情况可以由牙医以特殊器械及材料清除干净,也就是说通过「洗牙」去除着色。
(2)内源性着色。这是在牙齿发育过程中形成的。如四环素沉积在牙本质内,就会使牙齿变成黄色、棕色或者暗灰色;如果饮用水中含氟过多,可能导致氟斑牙,牙面呈*粉白**笔色、棕褐色斑块。
大部分牙膏美白牙齿的原理,分为两类:
第一类:是在牙膏中使用高摩擦力的摩擦剂,从而增加刷牙时对牙齿表面的清洁,以达到清洁牙渍的目的。很多宣称添加亮白粒子的牙膏就属于这类。
第二类:是在牙膏中添加某些化学成分,这些成分有比较高的氧化性,能帮助分解一些外源性色斑,从而起到淡化牙斑的效果。

每天刷牙,用了那么多的美白牙膏,为什么牙齿还是黄黄的?
在牙菌斑或牙石上,烟渍、茶渍和咖啡渍特别容易粘附在上面,且牢固结合到牙菌斑或牙石上。由于陶瓷杯上没有牙菌斑,所以附着在上面的茶渍通过牙膏还是能比较轻松清除的,但附着在牙菌斑上的牙渍,就没有这么容易清洁干净了
其实是不注意这几点,所以白刷了,包括外在因素有:
1、缺乏良好的口腔卫生习惯
有些人不注意口腔卫生,没有保持早晚刷牙的习惯。牙齿上堆积一层的食物残渣,没有清洁处理,日益累积就会形成牙菌斑、牙垢、甚至牙结石而导致牙齿变成黄褐色的情况。

2、 摄取太多染色性较重的食物
我们每一天都在进食,而色素比较重的食物,例如:咖啡、茶类、酱油、咖喱、巧克力、红酒等,相较于豆腐鸡蛋等这些浅色食物,色素会更容易残留沉淀在牙齿表面,造成牙齿越来越黄。

还有很重要的一点是,没有选择一把好的牙刷!刷牙就白刷!
想要牙齿刷得足够干净,选择适合自己的牙膏,同时也要注意定时的更换牙刷,美国牙科博士曾提出:刷牙70%看牙刷,赶快丢掉这些劣质牙刷

用了不少牙刷,都不见效果!
直到发现,这款火爆日本的牙刷,才终于有了好转来自日本设计的万毛牙刷,刷头上足足有10000根刷毛,刷毛非常非常的柔软,对牙齿真的很好。

(日本万毛牙刷)
刷毛比咱头发丝,都要细好几倍,可以深层进入牙缝清洁。

10000根整整齐齐地刷毛,好比10000个牙齿“清洁工”,把牙齿缝内的污垢都刷没了。

万毛牙刷刷毛细密柔软,不像普通牙刷那么尖硬。

刷牙堪比在做口腔“马杀鸡”,非常亲和、不刺激牙龈,更别担心伤及牙釉表面。

过敏性牙齿、孕妇幼儿都可用,小伙伴都称称它为“孕妇牙刷”,也称它为“月子牙刷、儿童牙刷”,还称它为“老人牙刷、康复牙刷”。

刷毛绵密容易起泡,牙膏挤一丁点就够了,一年还能省出好几支牙膏。

万毛牙刷刷毛柔软有弹性,不管你怎么用刷都不变形,而普通牙刷却很容易变形,用了不到一个月就成这样。

大家都觉得万毛牙刷好用,但目前万毛牙刷有2个通病,一是会掉毛、二是有臭味。
小编今天慎重推荐(亲测好用后推荐)一款不一样的万毛牙刷“万毛牙刷2.0”
成功解决了掉毛易臭难题,你用它刷牙2次,你就会彻底喜欢上它。

刷头上刷毛分成八块,刷牙时受力可以均匀,不用担心压迫到牙齿组织,刷牙就是马杀鸡的感觉。

8块分区水分干的快,不易积水潮湿变臭,且摒弃铜片植毛老技术,采用超波固定新技术,无胶水甲醛等烦恼,刷毛也不易掉落,不会对口腔二次伤害。

刷毛真的比头发丝细,5根才抵得上一根发丝,真的很难想象有这样的技术,刷毛可以做到这样细。

刷毛足足有10000根,小编数了好久才勉强数完,好几次数着差点睡着了,

细刷毛可以深入牙缝,深层清洁掉牙渍污垢,我们口腔清洁干净了,自然没有了牙黄口臭烦恼。

密集刷毛与牙釉表面,形成强大的物理摩擦力。一般的牙渍牙垢,轻轻一刷就没了,难怪办公室小姐姐,用了2周牙齿就白了。

市场很多牙刷的问题,就出现在刷毛质量上,去年315报道过的牙刷问题。就是刷毛过尖伤牙龈牙釉,而美时洁对刷毛做了圆角处理,刷牙时不用担心刷出血。

刷毛像棉花一样超级软,甚至可以直接当舌苔刷用,足见这款万毛牙刷多舒服。
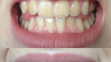
万毛牙刷好不好用,我们来看下面几组对比实验。

(普通牙刷)

(我们的牙刷)
▲上:普通牙刷;下:万毛牙刷

(普通牙刷)

(万毛牙刷)
从实验对比效果来看,牙刷真的非常重要,在小编看来,牙刷不仅要好用,还要质量靠谱,万毛牙刷通过了,国家质检报告,小伙伴可以放心购买使用。

(美时洁牙刷检测报告)
这款牙刷刷头很细长,刷牙的时候非常方便,口腔哪个部位都可以照顾到。

它的手柄也很长,足足有18厘米长,刷牙时一点也费力。
每天坚持用它刷牙,就可以摆脱牙黄口臭的烦恼,绽放自信的甜蜜笑容。

它在包装产品设计上,也下了很大功夫,看起来非常显档次,每款都是独立密封包装,安全干净卫生有保障,这才是好牙刷应该有的样子
牙医建议:牙刷30天更换一次,大家多囤几支,划算,一支好牙刷比一顿大餐要实在的多
快点击这里购买 ↓
【2支49】日式万毛牙刷
¥49
购买