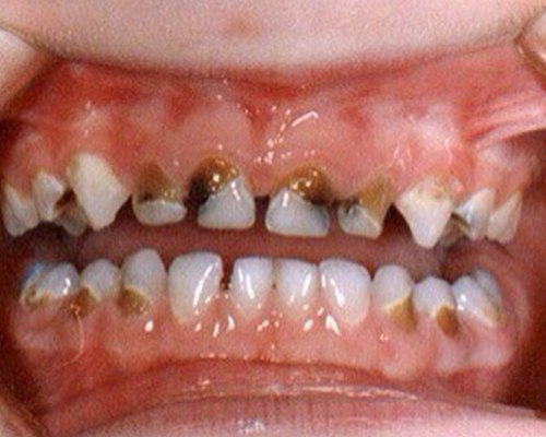
近日,小康看到一个新闻就是有一个宝妈抱怨自己的宝宝出生到现在六岁都没有吃过糖,但牙齿还是会被龋坏,而且现在是满口坏牙了,宝妈就很焦虑,为什么不吃糖怎么还会烂全牙呢?

看到宝宝满口烂牙,还经常牙痛,宝妈就带着宝宝去到医院牙科检查时,被医生狠狠的教育了一遍,虽然宝宝不吃糖,但他的吃饭含饭的习惯却是导致蛀牙的凶手。吃饭的时候,孩子老是含着饭不吃,一定要一边玩一边慢慢的吃,让细微的食物残渣直接粘附在牙齿上,而且晚上睡觉不刷牙,日积月累导致满口蛀牙。
蛀牙的病因是因为口腔中的牙菌斑或唾液中的细菌,利用糖类发酵作为食物,经新陈代谢后产生酸,长时间与牙接触,进而破坏牙齿表面,使牙齿硬组织脱钙,有机物被分解而产生龋洞。

即使不吃糖,因不良的生活习惯也会造成蛀牙:
【经常含饭】孩子老是含着饭不吃,一定要一边玩一边慢慢的吃,经常含饭会导致饭粒残留,在牙齿表面形成牙菌斑、牙结石,损坏牙齿,造成蛀牙。

【经常含着奶瓶入睡】很多宝妈为了哄宝宝睡觉,经常是让它含着奶瓶熟睡,但睡觉本来就已经降低了唾液的分泌量,而且睡觉前也不做牙齿的清洁,往往会烂掉牙齿。

【氟斑牙】高氟地区由于水中含氟量高,过多的饮用氟牙齿会发黄,由于牙齿表面存在多种细菌,它们在牙齿表面分泌许多黏性物质逐渐使牙齿变黄或变黑,甚至会导致氟中毒。
很多宝妈觉得婴儿时期不需要帮宝宝清洁口腔,其实宝宝每次喝完奶的时候,宝妈就应该用纱布或者手指牙刷清洁宝宝的牙床,两岁以后就要教导宝宝使用牙刷早晚刷牙。(图片来源与网络)