讲真,70%以上的人牙齿都不怎么齐哦!

△2015年的日本某选美冠军
牙不齐能得冠军,似乎说明牙齿不齐在日本是个普遍现象
牙齿不齐主要是获得性因素(后天不良习惯)导致。后天不良习惯导致牙列不齐占到70%,其余的基
本是遗传因素导致。后天因素是主因也比较可控,改变一些不良习惯就能让牙齿整齐好看,美美哒!
导致牙齿不齐的坑很多
你都躲过了吗?
年少不知牙珍贵:吃吃吃,吃坏乳牙
1、爱吃软的
因为软的方便吃啊,可长期吃软的东西会导致乳尖牙磨耗不足。
2、爱吃甜的
都知道老吃甜的容易坏牙,乳牙过早的缺失,乳牙就失去了对恒牙的导萌作用!

虽然乳牙没了恒牙会再长出来,可没有乳牙导萌
恒牙就会野蛮生长,牙齿难以整齐、对称啦!
3、手指也不放过!
手指真的那么好吃吗?

不良咀嚼习惯:多数为吮指习惯、舌习惯、咬唇习惯、咬物习惯、伸下颌习惯、不良吞咽习惯、偏侧咀嚼习惯等,可以引起各种各样的错牙合。
PS:咱们小时候,父母可能没有意识到牙齿的重要性。那现在的爸爸妈妈们一定要从小注意孩子的饮食习惯,半年一次去医院为宝宝做口腔检查是十分必要的。牙齿健康了,笑起来好看,孩子会更加自信。
说完了小时候,再说说现在
青年时期智齿作祟:挤挤挤,挤乱恒牙
有人说长智齿的时候牙会疼,可是你知道吗,牙齿不齐也很可能是智齿造成的!
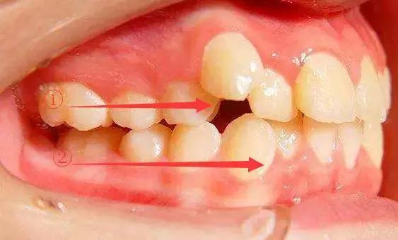
长智齿引起的牙齿不齐▼

上面①号智齿稍微温柔点,挤压第2、3颗临牙,将第4颗挤出水平线;
下面②号智齿更*力暴**,将2、3、4颗三颗挤出原来位置,集体外崩。
其实,智齿是人类文明进步的弃“齿”
生活不断进步,我们的食物变得精细、好嚼,恒牙咀嚼食物已经够用了,基本用不到智齿。可牙床就这么大,智齿又这么占地方,智齿就很容易挤压临近牙齿,不仅牙齿会痛,也会对整个口腔造成巨大危害。牙齿不齐只是最常见、危害最小的情况。
坑说了那么多
你躲过/掉进 多少大坑
牙齿才有现在的样子呢?
这么多坑,小时候不知道,长智齿没办法
已经掉坑里了怎么办?
牙齿不齐?
矫正呗!