马上就快立夏了,装修的热潮一直也在持续,很多人房子交了就开始装修了,然而急于入住,却往往忽略了室内污染甲醛、苯等这些有害物质,可别小瞧了它们,因为这些室内的隐形杀手会在无形间伤害家人的健康!

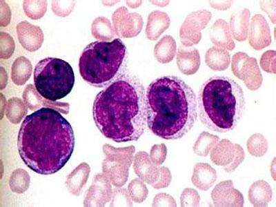
根据北京儿童医院小儿外科经半年调查发现,在问诊过的白血病孩子当中,近90%的孩子家中近期都曾经装修过。一份统计也表明,在一家儿童医院血液病研究所10年收治的白血病患儿中,有46.7%的孩子家里在发病前半年内进行过装修。医学界普遍认为,除了家族遗传,家装带来的甲醛污染是儿童白血病的重要诱因之一。也就是说甲醛诱发白血病。

因为装修污染中的有害物质甲醛和苯几乎存在于新房的各个角落,有时候闻不到异味并不代表没有污染。甲醛在室内达到一定浓度时,人就有不适感。大于0.08m3的甲醛浓度可引起眼红、眼痒、咽喉不适或疼痛、声音嘶哑、喷嚏、胸闷、气喘、皮炎等。长期、低浓度接触甲醛会引起头痛、头晕、乏力、感觉障碍、免疫力降低,精神抑郁;慢性中毒对呼吸系统的危害也是巨大的,长期接触甲醛可引发呼吸功能障碍和肝中毒性病变,表现为肝细胞损伤、肝辐射能异常等,这些情况都比较严重。

而处在快速成长发育期的婴幼儿呼吸甲醛量是成人的2倍,对空气中污染物摄入量也比成人更大。儿童医学教授介绍,由于儿童自身的免疫系统成长发育不完善,他们对甲醛比成人更敏感。妈妈们注意了!孩子有以下表现可能是甲醛中毒的信号:
1、与感冒症状相似,经常打喷嚏,后流鼻涕,偶尔用手揉眼睛,没精神,体力差;
2、有轻度发烧症状,或发烧反反复复、有持续状况;
3、突然剧烈咳嗽,干咳,嗓子半天才能说出话,咳嗽声音不正常,嘶哑明显。
4、身上过敏、起*麻疹荨**等,如果离开某种环境后情况有所缓解,可能证明环境中甲醛超标。
这些症状都可能表示孩子甲醛中毒了,不及时治理小心引发别的疾病。
那既然室内甲醛超标的危害如此严重,我们该怎么预防或治理效果比较好呢?

室内除醛专家指出,在新装修好的房子通风一段时间之后再入住会比较好,一般建议半年以上,如果等不了那么长时间,可以在家里放上可吸附污染的产品,比如在通风不好的家具、衣柜里、床下、放上黑岩晶来吸附会比较好,它是专门针对治理室内空气污染,其吸附量大、吸附效率高,同时可以将吸附的甲醛等污染物彻底分解,本身不会饱和,使用时间大大延长,至少能用3年以上,能持续高效的净化空气。
这是个讲求科学的时代,小编提醒,广大的业主们在对待新房除异味除甲醛上,千万不要走弯路,保护家人健康,从日常小事做起!