长短腿是一种常见的体态问题,如果您平时有 腰背疼痛、膝痛、踝痛 等症状,一定要注意进行长短腿的相关检查,否则疼痛不适的情况会反复出现。

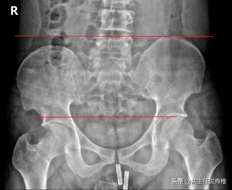
发现长短腿,严重吗?
根据流行病学研究表明,只有 10% 的人口具有 完全相同 的下肢长度,另外大约 90% 的人群肢体长度差异 <1.0 cm。
而 2厘米以内 的长短腿影响40%-70%的成年人,双下肢存在长度差异是一种临床工作中常见的情况,具有临床意义的长短腿阈值因研究而异,目前尚无普遍共识。

估计全世界大约有一半的人口双下肢差异在 0.5cm以内 ,因 下肢力学不平衡 ,可能会诱发不同程度的腰背部症状或者下肢症状。

如今,有越来越多报告显示,双下肢长度差距大于5mm的患者因 下肢力学不稳定 ,导致骨盆倾斜,附着在骨盆和腰部附近的肌肉出现不对称,容易引起髋关节和膝关节的 病变 ,甚至容易出现臀部或腰骶部疼痛。

长短腿怎么治疗?
对于双下肢长度差异在 0.5-2cm ,建议使用 矫正鞋垫 补高,减少双下肢长度差异,避免长时间异常行走模式引起下肢或腰臀部的症状。

双下肢长度差异 >2cm ,则建议马上 咨询骨科或者康复科医生 ,制定合适的治疗方案。
@头条号@头条健康@头条健康情报局