据《每日星报》4月3日报道,国外专家警告,感染新冠肺炎可引发一系列神经系统并发症,包括脑炎、脑出血、大量脑细胞死亡以及说话障碍。

据报道,一些确诊新冠肺炎的患者出现了神经系统并发症,其脑部炎症导致大脑出血和脑细胞死亡。
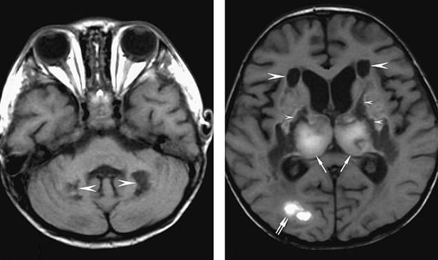
底特律一名58岁的女性在感染了新冠肺炎后,大量的脑细胞死亡。参与诊断这名底特律妇女的医生补充说:“这名患者出现的并发症与严重的肺部损伤一样严重。”
当这名女子入院时,她感到头部不适,与此同时,她出现了新冠肺炎的感染症状。随后,她被证明感染了新冠肺炎。

医生对她的大脑进行了CT扫描,显示出暗点,检查表明这名女子的大脑有液体堆积,并且脑细胞大量死亡。
患者的丘脑(最重要的感觉传导接替站)显示出严重的损伤,而其他扫描也显示该妇女大脑损伤或颞叶出血。
据报道,美国亨利·福特健康中心神经学家艾丽莎·弗里(Elissa Fory)博士表示:“有严重神经疾病的并发症患者需要采用我们的治疗模式。”
弗里博士说,大量的测试证明了他们的怀疑,即这名底特律妇女患有脑炎,这是一种潜在的致命脑肿胀情况。

佛罗里达州一名74岁的男子在感染新冠肺炎后暂时丧失了说话能力。
这名男子在感染了新冠肺炎后,癫痫发作,随后影响了他的说话能力,这也是脑肿胀的迹象,他的医生认为他也有严重的神经疾病并发症。
亨利·福特健康中心的医生们现在敦促美国各地的临床医生密切关注神经症状,因为大流行仍在迅速蔓延。
在意大利也有类似的感染患者中枢神经出现问题的案例。意大利的一家医院根据该国新冠肺炎爆发期间脑肿胀的病例数量,成立了一个相关部门。