医脉通编辑整理,未经授权不得转载。
肾小管间质性肾炎(TIN)是原发性干燥综合征(pSS)的主要肾脏受累。TIN可表现为远端肾小管酸中毒(RTA)、肾源性尿崩症、近端肾小管功能障碍等。本文报告一位31岁女性因远端RTA (dRTA)引起的低钾性瘫痪。
案例简介
患者,31岁,女性,因四肢持续无力和疼痛3天,加重不能行走而就诊。入院前2天,患者出现抽筋和全身感觉障碍。入院时,患者出现轻微呼吸困难。3个月前患者出现多发关节炎(包括腕关节、掌指关节、近端指间关节)和口干。否认使用酒精、非法药物或草药。
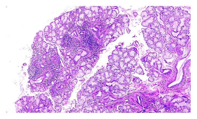
入院时的生命体征:体温36.3℃,心率每分钟54次,呼吸频率每分钟20次,室温下血氧饱和度97%,毛细血管血糖103g/dL,血压100/60mm/Hg。体格检查发现深部肌腱反射整体减弱,近端和远端肌力Lovett评分为3/5,舌干。实验室试验见表1。小涎腺活检如图1所示。根据所有的实验室结果,诊断为pSS的远端肾小管酸中毒(RTA)。先静脉注射氯化钾和碳酸氢钠治疗低钾血症和代谢性酸中毒,然后予以羟氯喹治疗。患者出院后,在接下来的8个月里,每两个月随访1次。
表1 实验室检查结果

图1小涎腺活检的全景照片。观察到慢性淋巴细胞局灶性涎腺炎。
讨论
干燥综合征(SS)是一种自身免疫性疾病,具有腺体(唾液和泪液)和腺外(神经、肾脏、肝脏、呼吸、血管和皮肤)表现。根据2016ACR/EULAR关于原发性干燥综合征(pSS)分类标准,本例患者诊断为pSS(唇涎腺病灶评分≥1,抗SSA阳性,无刺激性全唾液流量小于0.1 mL/min)。
肾小管间质性肾炎(TIN)是原发性干燥综合征(pSS)的主要肾脏损害。TIN可表现为远端肾小管酸中毒(RTA)、肾源性尿崩症、近端肾小管功能障碍等,其中RTA是其主要临床表现。据报道,4.3%-9%的pSS患者存在RTA,好发于中年女性,其中三分之二的患者会出现症状。7%的SS患者的初始症状是低钾性麻痹。
低钾血症是远端RTA患者最常见的电解质异常。低钾血症的原因包括远端肾小管Na输注减少、继发性醛固酮增多、H-KATPase缺陷和碳酸氢钠尿。对于最终诊断为pSS的患者,低钾性麻痹可能先于干燥症状3个月-4年。
远端RTA治疗包括在碱治疗前恢复钾,因为碱治疗可能会加重钾向细胞的转移和重碳酸盐血症。RTA并不是pSS免疫调节治疗的常规指征。对于替代疗法无反应和复发性低钾性麻痹发作的患者,应进行类固醇治疗。
小结
原发性干燥综合征导致的低钾血症性麻痹是一种罕见但严重的疾病,如果不及早发现并适当治愈,可能导致死亡。因此,在严重低钾血症伴有代谢性酸中毒的情况下,应立即开始有效治疗,并且还应检查这些病例是否有SS的腺外受累。
参考文献:
[1]Garza-Alpirez A, Arana-Guajardo AC, Esquivel-Valerio JA, Villarreal-Alarcón MA, Galarza-Delgado DA. Hypokalemic Paralysis due to Primary Sjögren Syndrome: Case Report and Review of the Literature. Case Rep Rheumatol. 2017;2017:7509238. doi:10.1155/2017/7509238
[2]Ataoglu EH, Demir B, Tuna M, et al. Sjögren syndrome presenting with hypopotassemic periodic paralysis due to renal tubular acidosis. Am J Case Rep. 2012;13:187-190. doi:10.12659/AJCR.883326