反复咳嗽、发热,肺部CT查出阴影,不免担心是肺炎。
然而,在这个潮湿的季节,除了普通肺炎,还需警惕肺曲霉菌病。
近日,制衣工人李姐(化名)和小学老师王叔(化名)就先后因肺曲霉菌病,在广东省第二人民医院(以下简称“省二医”)呼吸与危重症医学科住院治疗,如今都已康复出院。
反复咳嗽、发热,不是普通肺炎是肺曲霉菌病
31岁的李姐是一名制衣工人,平时身体健康。近日,她因咳嗽、发热到省二医呼吸与危重症医学科治疗。
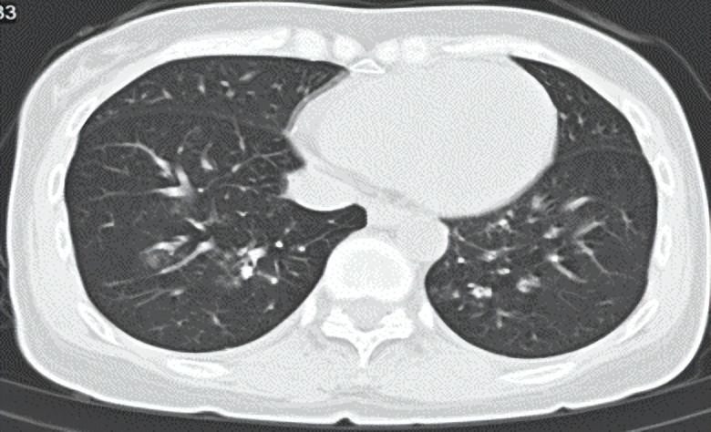
胸部CT显示:右肺多发小斑片状、结节状增高影,考虑感染性病变;
气管镜检查提示,主气管粘膜溃疡和气道多个丘状突起,形似一个个“小蘑菇”;经过肺泡灌洗液培养,提示烟曲霉,病理符合真菌感染改变;
最终诊断为:肺曲霉菌病。
明确诊断后,呼吸与危重症医学科给予李姐抗真菌治疗。之后,气道里的“蘑菇”慢慢消失不见,李姐发热、咳嗽、声音嘶哑好转,顺利出院。

△胸部CT:右肺多发小斑片状、结节状增高影

△治疗前(气管镜):双肺支气管粘膜散在分布的黄白色结节状突起,就像沿路长了一个个小蘑菇!

△治疗后(气管镜):主气管粘膜的溃疡病变、隆突的疣状突起及气道内的大部分黄白色结节状突起都明显好转。
无独有偶,53岁的小学老师王叔也因咳嗽、咳痰伴高热1月余,来到省二医呼吸与危重症医学科住院治疗。
并且,王叔有10余年的糖尿病史,血糖控制欠佳,近期体重下降3公斤。住院期间,王叔仍有反复高热,有时候还精神萎靡。
胸部CT检查提示:双肺多发感染性病变;
进一步完善气管镜检查提示:主支气管及各级支气管可见多发干酪样坏死;
肺泡灌洗液提示:曲霉菌生长,曲霉菌抗原明显升高,病理病变符合真菌感染改变;
最终诊断为:肺曲霉菌病。
诊断明确后,考虑王叔年纪较大,也有基础病,呼吸与危重症医学科给予针对性抗真菌治疗和2次支气管镜镜下治疗等后,王叔不再发热,咳嗽、咳痰明显减少,精神状态明显好转,顺利出院。

△左图:胸部CT示左上肺病灶内见反晕征 右图:胸部CT见右上肺实变伴支气管充气征

△气管镜:主气管及双侧支气管多发分布的干酪样坏死及粘膜溃疡
广东省第二人民医院呼吸与危重症医学科主任、主任医师孙瑞琳表示,两名患者均为侵袭性肺曲霉菌病,李姐无明显基础疾病,发现早,症状轻,恢复快,而王叔病程长,病情重,气道破坏更严重,并且还有糖尿病基础,血糖控制不佳,诊治周期延长。
侵袭性肺曲霉菌病危害大,早诊早治十分重要
曲霉菌是一种兼具感染性与致敏源性的病原体,疾病的转归与真菌侵袭力、负荷和宿主免疫之间的相互作用密切相关。因此,免疫力低下者是肺曲霉菌病的易感人群,如长期使用抗生素、免疫*制剂抑**的人群。

同时,孙瑞琳主任表示,长期暴露于存在大量曲霉菌孢子环境下,免疫功能正常的人群亦可发病,如饲养鸽子、处理动物皮毛、晒谷物、居住环境拥挤、通风差、环境潮湿等,当吸入的曲霉菌孢子超出了机体的防御能力时,便会引起暴发性的肺部感染。
肺脏是曲霉菌病最常累及的部位,按照临床表现主要分为3种类型,即:过敏性曲霉菌病、慢性和腐生性曲霉菌病、侵袭性曲霉菌病。
侵袭性肺曲霉菌病作为肺曲霉菌病中危害最大、病死率最高的类型,常可导致明显的组织破坏及坏死。
孙瑞琳主任表示快速精准诊断、正确治疗是决定预后的重要因素。
- 研究表明,侵袭性肺曲霉菌病早期治疗的治愈率为60%,发病10天后开始抗真菌治疗的病死率可达90%。
- 因此需要快速明确病因,精准诊断,尽早启动恰当的全身治疗,必要时联合气管镜下局部治疗或手术治疗清除肺部局限性病灶。
孙瑞琳主任提醒,若有“咳嗽、咳痰、发热”等呼吸道症状时,要警惕肺曲霉菌病,尤其是有基础疾病或曲霉菌孢子接触史的人群,要及时去医院,早诊早治。
健康tips:如何预防曲霉菌感染
- 减少或避免接触曲霉的孢子,在清理尘土较多的日常用品,如鞋、家具、衣物等应用湿布擦拭防止曲霉孢子飞扬污染空气以及佩戴防护口罩,此外平时居家环境应注意清洁,做好通风,保持整洁卫生。
- 对于有慢性基础病者,积极治疗原发病,消除患者的高危因素,对于免疫抑制患者,积极恢复免疫功能。
- 对于有咳嗽、发热、咯血等疑似真菌感染症状,应及时专科早诊早治,避免病情进展或导致疾病迁延不愈。
来源:广东省第二人民医院
版权归原作者所有,如有侵权,请联系删除。