一位68岁的男病人,吸烟史40年,平均每天3-4包,由于意外发现肺部结节就诊。为了排除肺癌的可能,安排他住院接受经皮肺穿刺活检。活检过程比较顺利,但活检之后出现了气胸。看他的肺脏,由于长期大量的*草烟**暴露与侵害,肺组织弹性较差,肺气肿明显,胸部已经呈现出明显的“桶状胸”状态,也就是肺脏的横截面已经接近为正方形(正常人胸部长和宽的比值为1.5比1)。这种肺脏,就像被过度充气的气球,容易破。

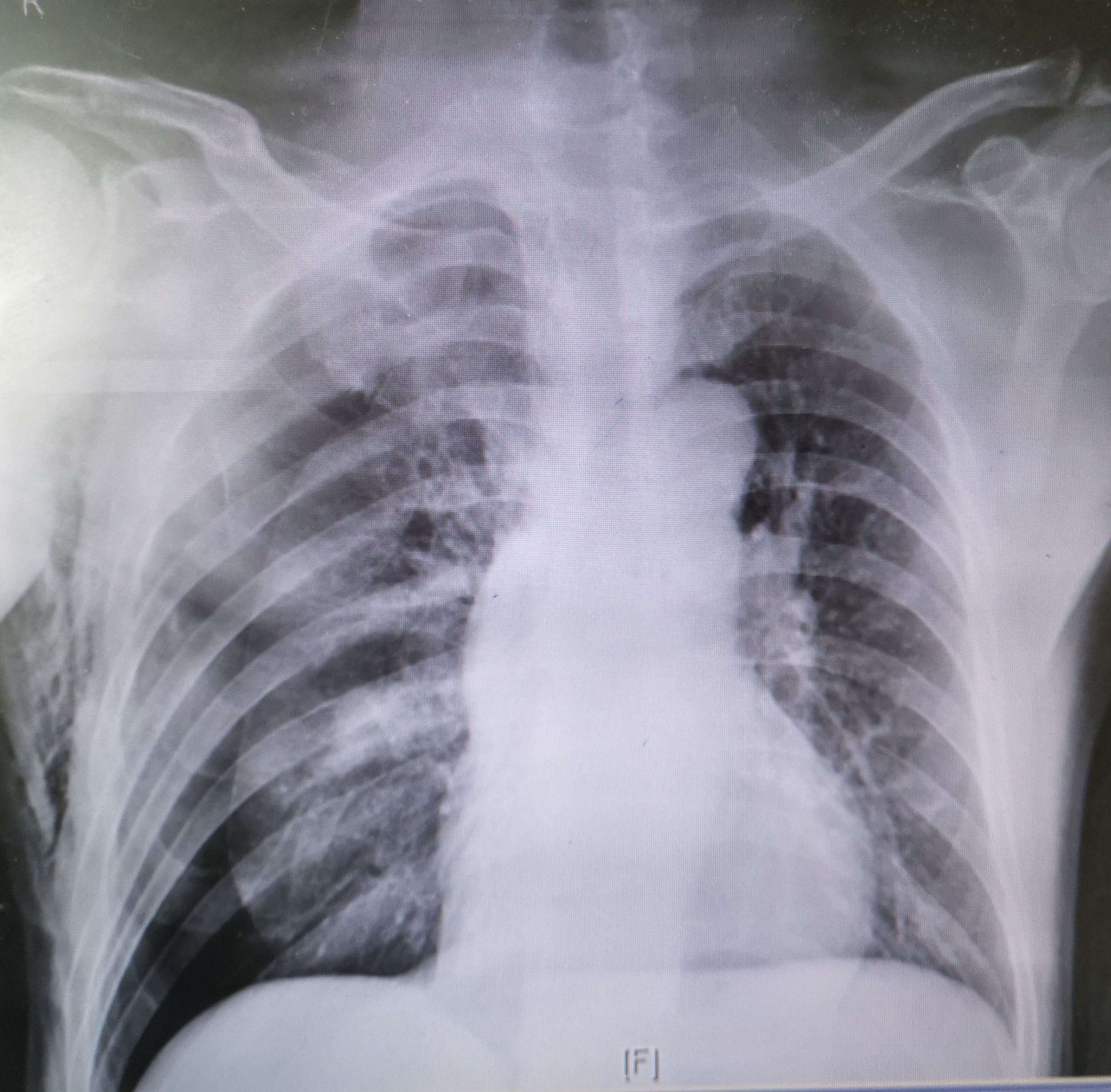
桶状胸,胸廓接近正方形,提示明显的肺气肿

右肺被压缩了50%以上
气胸是什么?胸腔是不含气体的密闭腔隙,肺脏、心脏及大血管都位于胸腔内。当肺部有破口,气体从肺脏漏入胸腔内造成胸腔内积气状态时,就称为气胸。气体会占据胸腔的空间,导致肺脏被压迫而无法正常膨胀,所以气胸明显时,病人会出现胸部胀痛、胸闷和呼吸困难的症状,还常常伴有刺激性咳嗽。

根据病因不同,气胸分为原发性气胸和继发性气胸两种。原发性自发性气胸多数见于瘦高体型的男性青壮年,往往在剧烈运动,比如打篮球、搬提重物后出现。这类人由于身高和体型的原因,往往在肺尖部的胸膜下会有先天性肺大疱,可能和肺部弹性纤维的先天性发育不良有关,当剧烈运动时易发生肺大疱破裂而导致气胸。有的人甚至反复发生气胸,可能需要手术切除肺尖部的肺大疱,才能防止气胸复发。继发性气胸多数见于有肺部基础性病变者,比如严重的支气管扩张、慢性阻塞性肺病、哮喘、肺结核等。这类病人多数存在有肺气肿、肺大泡或者肺部纤维性病灶,肺组织的弹性比较差,易因局部肺大泡破裂等原因出现气胸。还有一种气胸称为医源性气胸,也属于继发性气胸的一种,就是在接受了医疗有创伤的检查或治疗后出现的气胸。这个病人就是如此。经皮肺穿刺活检时,穿刺针必须穿透一部分正常肺组织才能到达结节,虽然穿刺针比较细,多数情况下不会引起肺脏气体外漏,但是如果病人本身的肺组织弹性很差,即使是细针短距离的穿刺,也可能引起气胸的出现。

胸部x线片是诊断气胸最简单也最快捷的方法,既能够确诊气胸,也能够显示出气胸的量和肺脏受压迫的程度。一般来说,肺压缩20%以下的小量气胸,患者如果没有明显胸闷、呼吸困难症状,可以不做特殊的处理,让病人平卧、吸氧气,不要做用力的动作就可以了,胸腔内的少量气体会自行慢慢吸收。但是如果气胸量比较多,肺部受压明显,或者病人的症状比较明显,则需要做胸腔穿刺或者胸腔闭式引流术,将气体抽出来。

临床上多见的可以经吸氧后自行痊愈或者经引流抽气后短期内痊愈的气胸,多是闭合性气胸。除此之外,还有两种气胸称为开放性气胸和张力性气胸,破裂口更大,症状更严重,治疗也更复杂。尤其张力性气胸,一旦出现,可能在短时间内造成严重的心、肺功能障碍,需要紧急抢救处理。

更多健康信息,请关注武宁医生头条号!