
很多人可能都有过这么一个经历,明明牙齿疼的要命,但是就是不知道到底是牙齿疼还是牙龈疼,或者具体哪个牙齿疼。说来也奇怪,手疼就手疼,脚疼就脚疼,那为什么牙疼就不知道具体位置呢?

牙齿的痛感有可能来自于牙齿本身或者牙龈等很多原因,确定牙齿疼痛位置更有利于我们确定治疗方案。但是有很多时候我们肉眼根本无法确定患处,需要到正规的口腔医院或者门诊进行检查才能确定。

牙疼到底是怎么一回事?
1、“由内而外”的牙疼
我们都知道,我们的牙神经深藏于牙齿内部,比较敏感,我们的牙齿一层一层的保护着它不受外界的刺激。但是,如果我们的牙齿被蛀掉了,敏感的牙神经暴露在外界刺激中,导致我们牙齿接触到冷的热的都会感觉到钻心的疼痛。

时间一长,我们的牙神经也会受到波及,引发感染,牙神经感染之后会向大脑发出疼痛信号,但经过大脑分析,这种疼痛信号就不是那么准确了。你就会觉得,这个牙也疼,那个牙也疼。
2、“由外而内”的疼痛
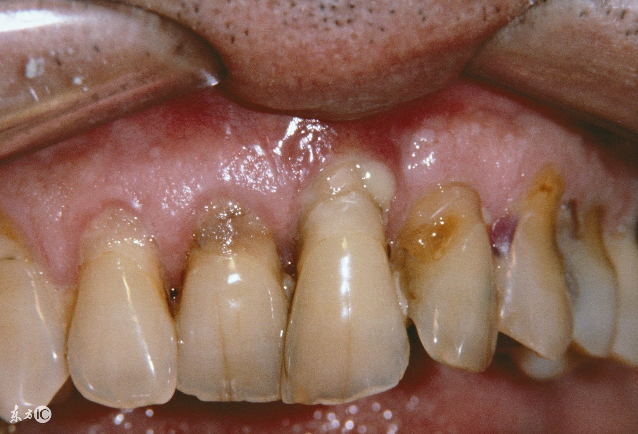
由外而内,顾名思义,就是牙齿外出现了问题,首先是牙龈感染,然后逐渐蔓延至整个牙周组织,最终导致牙神经发生病变。

一般来说,牙结石是牙龈发炎、感染的罪魁祸首,进一步使得牙龈与牙齿分离,形成牙周袋。细菌最终通过牙根尖部的小孔,你行感染牙神经,是你的牙龈、牙齿甚至整张脸都疼痛无比。
口腔疾病十分复杂,如果你的牙齿出现疼痛,一定要到正规的口腔医院或门诊进行详细的检查,确定病因。

看牙医的最佳时间
不用逃避了,现在看牙医最好,无论什么原因,既然已经开始疼了,就说明炎症已经很严重了,如果治疗晚了效果就差了。越早治疗,越少受罪,别再犹豫了!