挂了3天头孢还是咳嗽是怎么回事 (挂了三天抗生素还是高烧)

挂了三天消炎药还是咳嗽,挂了三天头孢还是发烧老百姓口中的消炎药其实指的是头孢、左氧氟沙星、阿奇霉素等抗菌素,而医学上的消炎药是指阿斯匹林、地塞米松等。

但是,事实上绝大多数老百姓和少部分医务人员对此并没有清晰的理解和认识。甚至因此而造成误会和纠纷的案例也不在少数。

有一位中年男子带着17岁的女儿来看病,因为女儿已经连续咳嗽3天,甚至已经影响睡眠。他对医生说:挂点消炎药吧,每次生病挂点消炎药就好。

但是医生有自己的考虑,对于未成年人又怎么能够轻易输液治疗呢?除非是诊断明确,否则又如何谈对症治疗?而且还有两个原因:一是现在抗生素管理非常严格,除非必须,否者如果被发现滥用抗生素,将会受到医院和医保中心严厉的惩罚!二是现在每个家庭对孩子都特别看重,所以对未成年的诊治尤其要格外重视!

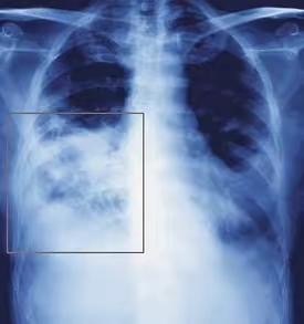
后来患者被诊断为右肺肺炎,如上图方框内便是炎症部分。虽然导致患者持续咳嗽的原因找到了,但是家长却拒绝了医生关于住院治疗的建议。

他说:孩子还要上课,门诊挂点消炎药吧。

于是这位医生就为患者制定了输液治疗的方案:头孢+氨溴索。其实从常规治疗和经验性抗感染的角度来看,这种治疗方案完全没有任何问题。事实上,在生活中我们都是被这样治疗的!

可是,第三天的时候,这位家长又找到了医生:为什么我女儿输液三天了,没有任何好转?

医生看着这位面带怒色的家长:现在不是已经没有发热了吗?肺炎没有那么快会好转,治疗周期要十天左右,所以开始建议你们住院。任何病都有一个发展的过程,再过几天就会好转的。

可是,这位家长又老生重弹:以前每次生病,挂点消炎药就好,这次怎么要这么久?

其实这个问题医生在三天前就已经向他交代过,但是家长却依旧不能理解。而此时,另外一位患者插话道:头孢不是抗生素吗?

很明显这位能够区分消炎药和抗生素的患者让事情变的越来越复杂,这位家长听后火冒三丈,对医生说:那你为什么要给我们用抗生素而不是消炎药?这不是拿我们当实验吗?

在他指责医生的时候,可能已经忘记了自己多次提出的要求:给我们挂点消炎药吧!

当然,在他的世界里只有万能的消炎药。他也从来不会明白消炎药、抗生素、抗菌素之间的区别。

虽然医生早已经明白并且按照医疗常规,为17岁的肺炎患者用了:名为“消炎药”,实为抗生素的头孢注射液,但是家长依旧纠结于那位路人甲患者的话。

经过医生的一番解释后,他才勉强理解消炎药和抗生素的区别。可能是因为自己觉得不好意思或者下不了台面,他又提出了新的问题:既然用对了药,为什么输液三天后依旧咳嗽呢?

事实上社区获得性肺炎的治疗首选青霉素或头孢也只是经验性用药,只有对照血陪夜、痰培养等病原学检查结果方能是对因治疗,但是在门诊,结合我国的国情,几乎不可能做到!

“一定是你们的药有问题!”

这位家长不相信医生的解释说明,却对其它人的话深信不已!这也算是中国特色,最可悲的是,他对自己的无知毫无察觉。

当我听说这件事后,觉得类似这样的不仅大有人在,而且极度危险!

最后提醒:

1、肺炎绝不是三五日可以治愈的疾病!

2、请相信医生,而不是路人!

3、头孢等是抗生素,不是消炎药!

让更多人了解更多一点!

我的微信公众号:最后一支多巴胺