对于出现头晕头疼的现象,人们总是非常的不在意,但是如果你经常性的头晕头疼的话,那就需要特别的注意了,因为这非常的有可能是各种的严重因素引起的。
神经精神因素
当身心受到外界环境的不良刺激时,往往会产生忧虑、焦虑等情绪,从而导致偏头疼的发作。据调查,有84%的忧郁症患者都会伴有偏头疼症状。同时在生活或工作中遇到种种不愉快或是生气、焦急、激动等剧烈的情绪刺激后会感到全身不适,偏头疼。

饮食因素
食用过量咖啡,会使血管扩张而刺激神经引发偏头疼;而当吃下过凉的冰淇淋时也会感到头疼;饮酒过多后酒精中的乙醇作用于血管,同样会造成头疼,这些都是由饮食不当而引发的头疼。专家统计出容易诱发头疼的食物排行分别是:巧克力,酒精饮料、生乳制品、柠檬汁、奶酪、红酒。

许加军教授有话说

下面许加军教授
继续在线给朋友们科普一下神经外科方面头晕头痛的医学知识
头晕头痛的疾病因素
(1)颅内病变引起的头晕头疼如脑膜脑炎、脑出血、脑血栓、脑动脉硬化、高血压、脑肿瘤、脑瘤、脑脓肿、颅内血肿、囊肿(蛛网膜炎)、脑寄生虫、癫痫、颅脑损伤后遗症等疾病引起的头晕头疼。
(2)颅外头颈部病变引起的血管性头疼(偏头疼类、丛集性头疼、颈性偏头疼);头颈部神经炎性头疼;头皮的急性感染引起的头晕头疼;紧张性头疼(肌收缩性头疼);鼻部、眼部、口腔等病变引起的头晕头疼。
(3)头颈部以外躯体疾患引起的头疼非偏头疼类血管性头疼、颅内静脉淤血、神经衰弱综合征引起的头晕头疼。

患者案例
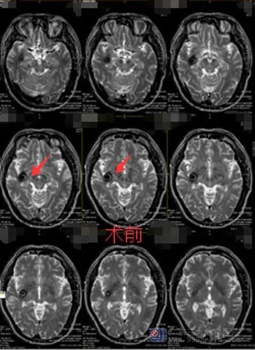
邓先生说,他的父亲经常觉得头晕、头痛,断断续续的有一年时间。本以为会慢慢地缓解,没想到症状是越来越严重,近期发病的时候还会伴有呕吐。他带着父亲在当地医院治疗,但是头痛、头晕症状没有好转。
头部MRI检查,提示:左侧颞叶占位性病变,考虑海绵状血管瘤伴出血可能。

邓先生的父亲具有手术指征,主治医生团队顺利切除了血管瘤,术中无明显副损伤。手术后,邓先生父亲的头痛、头晕症状已经有了明显的好转。

海绵状血管瘤
海绵状血管瘤是指由众多薄壁血管组成的海绵状异常血管团,由于血管造影检查时常无异常血管团的发现,故将其归类于隐匿型血管畸形。实际该病并非真正的肿瘤,而是一种缺乏动脉成分的血管畸形。
随着医学影像学的发展,有关该病的报告日渐增多。在人群中的发生率估计为0.5%~0.7%,占所有脑血管畸形的8%~15%。因部分患者无症状,故确切的人群发生率仍不确知。海绵状血管瘤好发于30~40岁,无明显性别差异。
临床表现
依次为癫痫(35.8%)、颅内出血(25.4%)、神经功能障碍(20.2%)和头痛(6.4%)。无临床症状者占12.1%,有的患者有一种以上的临床表现。如病变发生出血,则引起相应临床症状。有的海绵状血管瘤逐渐增大,产生占位效应而导致神经功能障碍逐渐加重。临床病程变异较大,可以有急性或慢神经功能障碍,可出现缓解期或进行性加重。
1.癫痫癫痫为海绵状血管瘤最常见的症状,几乎两倍于脑动静脉畸形。迄今为止,难治性癫痫的发生率尚不清楚,但Casazza等大宗病例统计表明:40%幕上海绵状血管瘤患者临床表现为难治性癫痫。病灶位于颞叶、伴钙化或严重含铁血黄素沉积者,以及男性患者癫痫发生率较高。一般认为癫痫发作与病灶或出血对周围脑组织的压迫、刺激或脑实质胶质增生有关。
2.颅内出血几乎所有海绵状血管瘤患者均伴亚临床型微出血,由于供血血管细小且压力低,造成明显临床症状的出血相对较少,占8%~37%。女性尤其是孕妇、儿童和既往有出血史的患者具有相对高的出血率。与脑动静脉畸形相比,本病出血多不严重,除非位于重要功能区,否则很少危及生命。出血后即使保守治疗,一般恢复也较好。
3.局灶性神经症状症状取决于病灶部位和体积,经MRI检查多可发现病灶内或病灶外周出血。由于脑干内神经核及传导束密集,故位于这些部位的病变常有神经功能障碍。
4.无临床症状占全部病例的11%~44%。轻度头痛可能为惟一的主诉,常因此或体检作影像学检查而发现本病,约40%的无症状患者在半年至2年后可以发展成为有症状的海绵状血管瘤。
病因
1.先天性学说:婴儿患者和家族史支持先天性来源的假说,近年来研究证明海绵状血管瘤为不完全外显性的常染色体显性遗传性疾病,基因位于染色体7q长臂的q11q22上。2.后天性学说:认为常规放疗、病毒感染、外伤、手术、出血后血管性反应均可诱发海绵状血管瘤。
治疗
海绵状血管瘤为一种良性疾病。在做出治疗决策前应仔细权衡治疗措施的利弊与自然病程潜在的危险,然后做出决定。
手术切除病变是一个选择,而以下情况可能适合伽玛刀治疗:①有出血或癫痫病史者;②有占位效应引起的神经功能缺失者;③病灶部位不宜进行切除手术者;④拒绝手术要求伽玛刀治疗者。
许加军教授作为山东省神经肿瘤专业的骨干专家,每年完成神经肿瘤手术数百例,欢迎患者及家属前来咨询和就诊,为您解除病痛和提供正规的治疗!!
如果有更多关于神经外科的问题要咨询,欢迎关注作者私信。