(医患家特约作者:天津医科大学第二医院感染病研究所 贾医生)
在日常接触的患者中,常有人这样的疑问:“我只是有点感冒发烧,用拍胸片吗?”“我只是咳嗽,不用拍胸片吧,有辐射对身体多不好啊?”那么拍摄胸片到底有没有必要,又有什么作用呢?

首先患者在医院影像科常见到的检查项目有:X光片、CT、ECT、核磁共振、B超等等,而针对呼吸系统疾病最常用的就是X光和CT了。医生要求患者进行影像检查通常是应为:1、患者发热咳嗽,血常规检查有白细胞增高等炎症指标,怀疑肺炎等。2、医生通过听诊,发现患者心音、呼吸音有异常需要进行进一步诊断。3、患者咳嗽、发热病程时间长,或伴有咳痰、咳血症状,需要进一步排查。4、患者经体检怀疑有肺部病变,需要进一步确诊等。很多情况下,仅通过医生听诊、血液常规等基础检查已经难以诊断疾病时,影像检查是十分必要的。
X光片
X光胸片是通过X线照射成像,直接透过整个胸腔或相应器官。其简单易行、辐射小、价格较低,可直观的看到心肺大小变化、肺部是否有阴影及边界模糊、气管位置改变及是否有液气胸、骨折损伤、异物等。对于普通肺炎,体检,疾病的初步排查都是首选。但它的缺点在于精密度不高,对于较小的病变、肿瘤灵敏度不够,且由于器官重叠会有一定的遮挡,这时就需要进行更精密的检测。

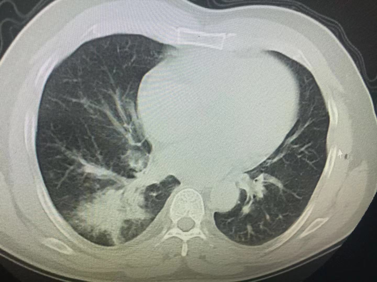
CT
CT(Computed Tomography),学名电子计算机断层扫描。断层扫描简而言之是将人体横切成一片一片的去观察,基本上只要超过1mm的结节都可以清晰的出现在图像上,对肺组织的纹理及结构变化更为清晰。对于一些微小病灶可以早发现早诊断。一些在X光片体检时发现的小阴影都可以通过CT进行确定是否为病变还是正常组织结构。主要可以排查肿瘤和一些肺组织病变(如间质性肺疾病早期容易被忽视,胸部CT尤其是高分辨率HRCT是诊断这类疾病的首要方法)。但CT检查的辐射要高于X光,价格也较为昂贵。

以上影响学检查虽然会对人体产生辐射,但正规医院使用的仪器其辐射范围都是有严格剂量要求的,只要不是频繁拍摄,不必担心正常的检查对人体健康产生威胁。胸片对于呼吸系统疾病的排查诊断,是十分重要的手段。但仍需注意,特殊人群如:孕妇、儿童、老年人、有各种基础疾病的患者一定要遵医嘱是否可以进行拍片,不能一意孤行。