
患者与创伤外科医护人员合影
金杯银杯,不如患者的好口碑
最近,一条点赞我院创伤外科特色技术的朋友圈传开了:“现代医学确实发达,脊柱骨折,微创手术第二天可以下床了。”在与患者交流过程中,得知她儿子是中科院博士,是一名专业技术人员,这条朋友圈正是他儿子发布的。“后背上打两个针眼大的小孔,就能轻松解决两节脊柱压缩性骨折患者的痛苦,让患者早日恢复以前的生活。”
康复出院的患者家属发朋友圈点赞

这不是夸夸其谈,而是我院创伤外科开展多年的微创手术:精细化椎体成形术治疗老年性骨质疏松性压缩骨折,也是花都区唯一一项广州市临床特色项目。
术后第二天即可下床自由活动
今年6月,63岁的华阿姨因“不慎摔伤致胸腰部疼痛剧烈、无法活动”到我院急诊科就诊,X线检查提示 “胸8.12椎体压缩骨折”,随即收入我院创伤外科住院治疗。完善胸椎CT、MR等后,刘志祥主任带领科室团队迅速为患者制定了个性化治疗方案,并向家属详细介绍病情、各种治疗方案利弊和国内外最新进展后,患者及家属均表示愿意接受微创椎体成形术治疗。




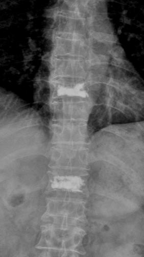
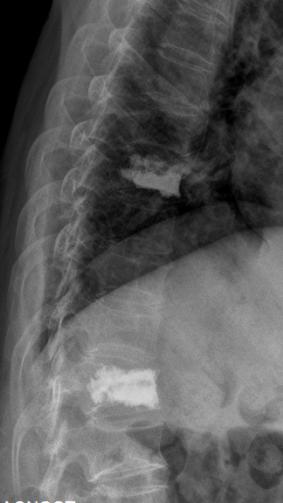
术前核磁共振检查明确T8.12椎体骨折,为疼痛责任椎体;经皮穿刺微创椎体成形术后复查可见椎体高度恢复良好,骨水泥弥散满意。
手术由我院创伤外科刘志祥主任、姜欢畅副主任医师亲自完成,患者术后当天即感到翻身、活动时疼痛消失,术后第二天可下床自由活动。
一切为了患者,最大限度微创治疗
经皮穿刺椎体成形术主要用于老年骨质疏松性椎体压缩骨折的治疗,指经皮通过椎弓根向椎体内注入骨水泥以达到增加椎体强度和稳定性,防止塌陷,缓解疼痛为目的一种微创脊椎外科手术。患者在几乎零创伤的情况下得以最短时间内实现下地行走,使塌陷的椎体恢复高度、获得稳定,减轻疼痛,早期下地活动,为广大老年骨质疏松性椎体压缩骨折患者带来福音。


术中伤椎体3D打印
指导个性化治疗
不断追求卓越,从未放弃进步
自2019年我院创伤外科“精细化椎体成形治疗老年骨质疏松性压缩骨折”获得广州市临床特色项目以来,在医院的大力支持下,刘志祥主任团队追求卓越的步伐从未歇息,对此项技术的检查方法及手术技巧进行了进一步的钻研,以更熟练的技术和更小的创伤为更多的老年性骨质疏松椎体骨折患者解除痛苦。通过术前过伸位X线检查,为无MRI设备基层医院或身体原因无法行MRI检查患者,提供新的检查手段,以便早期诊断、早期治疗。术前对伤椎3D打印模型仔细研究,模拟穿刺方向、深度等,根据不同患者骨折类型,制定个性化穿刺路径,减少穿刺损伤风险和手术时间等,有效减轻疼痛和快速康复。正如刘志祥主任期待,老年骨质疏松性患者能够得到更科学、更微创、更规范的治疗,有效解决疼痛,恢复日常生活,并有效避免再次骨折。


术前过伸位X、CT检查,早期诊断
目前,我院创伤外科已有多名医生熟练掌握这一技术,“这样,我们团队就能更好地帮助患者解决痛苦,更好地造福人民了。”说到这里刘志祥主任欣慰地笑了。
广州市花都区人民医院 创伤外科
我院创伤外科是花都区卫健委重点建设专科,主诊四肢各种类型复杂骨折、骨盆骨折、髋部骨折、脊柱骨折、脊髓损伤、足踝等运动医学;颈椎病、腰椎间盘突出症、腰椎滑脱、腰椎管狭窄症、股骨头缺血坏死;各种骨性关节炎、结核、肿瘤。在诊治脊柱、关节、创伤以及四肢疾病方面积累有丰富经验。
专科特点:可弯曲椎体成形器单侧穿刺椎体成形术治疗老年骨质疏松性椎体压缩性骨折,微创经皮椎弓根钉技术治疗胸腰椎压缩性骨折,superpath入路微创全髋关节置换治疗老年股骨颈骨折等创伤骨科技术创新亮点。“精细化椎体成型技术治疗老年胸腰椎压缩骨折” 于2019年10月获批为广州市临床特色项目,为花都区唯一入选,也是该年度唯一获评通过的骨科技术项目。

刘志祥
• 主任医师
•出诊时间:每周四全天(7号诊室)
姜欢畅
• 副主任医师
• 出诊时间:每周二全天(9号诊室)


赖 震
• 副主任医师
•出诊时间:每周五全天(9号诊室)
骨质疏松性骨折专家门诊:新华路48号总院 3号楼2楼
住院部地址 :新华路48号总院 2号楼10楼
咨询电话:020 - 62935287 / 62935325
广州市花都区人民医院
广东省广州市花都区新华路48号