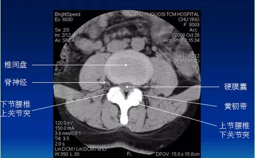
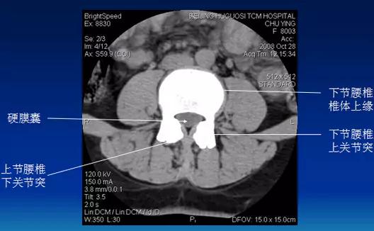
常规腰椎CT扫描层面
常规腰椎CT扫描L3-S1段,分为
(1)椎体层面(骨窗):观察椎体、附件骨质。
(2)椎间盘层面(软组织窗):观察椎间盘、硬膜囊、神经根、韧带等软组织。






一、椎间盘退行性变
1、椎间盘高度降低
2、椎间盘真空变性:椎间盘见气体密度影,形成真空征。
3、许莫氏结节(schmorl’s nods):又称髓核压迹。
4、纤维环钙化





二、椎间盘膨出
椎间盘影均匀超出相应椎体边缘,轻度时CT表现为间盘后缘正常肾形凹陷消失,圆隆饱满。
椎间盘突出:
⑴中央型:椎间盘影局限性超出椎体边缘,硬膜囊可受压,硬膜外脂肪间隙变窄、消失,可伴纤维环钙化。
⑵旁中央型:椎间盘影局限性超出椎体边缘,神经根受压。
⑶后外侧型:椎间盘影于椎间孔方向局限性超出椎体边缘,神经根受压,椎间孔、侧隐窝变窄。
硬膜外脂肪间隙变窄、消失,可伴纤维环钙化。
⑷远外侧型:椎间盘影于椎管外局限性超出椎体边缘,多伴纤维环钙化,骨赘形成,脊神经、周围肌肉、韧带受压移位。







三、椎管狭窄
影像诊断标准:
①腰椎骨性椎管前后径≤15 mm示相对狭窄;≤12 mm绝对狭窄。
②硬膜囊前后径≤7 mm。
③椎间盘膨出、突出,侧隐窝狭窄(≤ 2mm),黄韧带肥厚(>5 mm),后纵韧带骨化,椎体后缘骨质增生等也可造成椎管有效面积狭窄。
【版权声明】本平台属公益学习平台,转载系出于传递更多学习信息之目的,且已标明作者和出处,如不希望被传播的老师可与我们联系删除
*载下**放射沙龙app,获取更多影像科学习资料,更多学习视频等着你哦