看两个有点吓人的病例:
1.一位28岁的年轻人,间断性咳嗽,于是做了个胸部CT:

病例来自网络学习交流,致谢
CT发现他双肺长了10多个圆形结节,最大的超过2厘米。
如果是中老年人,这样的病灶首先就需要排查转移瘤。而最近这些年来,癌症有年轻化的趋势……
这小伙子不会是癌症转移吧?
2.一位40多岁的女士,偶尔胸闷、咳嗽,也做了一个CT,发现纵隔多发肿大淋巴结:

病例来自济宁边翠霞医生,致谢
我们知道,淋巴结肿大常见于癌细胞转移,很多小细胞肺癌和低分化腺癌病人,肿瘤发展快,可以在较短的时间内发生纵隔多发淋巴结转移,有些病人在出现症状时就已经是晚期……
这位女士会不会也是肺癌转移了?
还好,这两位病人非常幸运,穿刺都没有找到癌细胞,最终都排除了癌症,他俩得的是一种良性疾病——结节病。

什么是结节病?CT片上有哪些特点?
结节病是一种非干酪性肉芽肿性炎症性病变,病因不明(可能与遗传倾向、接触毒性物质有关),可以累及全身多系统,包括肺门及纵隔淋巴结、肺、肝脏、脾脏、皮肤等,其中肺和胸内淋巴结受累达90%以上。好发于中青年,尤其是中年女性,病程缓慢,可以通过CT发现。
结节病在CT片上常见3种表现:
1.肺门周围及纵隔多发肿大淋巴结。
这种类型最常见(约占77%),如上图第二位女病人,有时需要与淋巴结结核、恶性肿瘤鉴别;
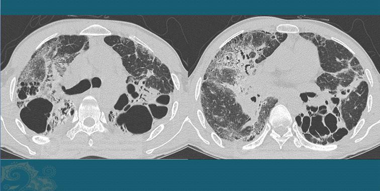
2.肺弥漫性病变。
分为肺泡结节病、肉芽肿结节及肺纤维化。可以表现为边缘模糊的斑片影或者磨玻璃影、网格状影(如下图),其内可见含气支气管,两肺上叶多见;或者呈形状规则的小结节(多数大小2mm-1cm),多沿支气管血管束和小叶间隔、叶间裂、胸膜下的淋巴管网分布,以肺野中带及胸膜下较为明显,如上图第一位小伙子,不要误诊为转移瘤。

3.上述两者同时存在。
肺结节病怎样诊断?怎样与恶性肿瘤鉴别?
肺结节病的诊断,不宜只依靠CT影像,要从整体考虑。其主要的诊断标准包括:
1.胸部CT发现对肺门及纵隔淋巴结对称性肿大(增强CT呈均匀强化),伴或不伴肺内多发网格状、斑片状、结节状影;
2.病理诊断是金标准,活检证实有非干酪性坏死性肉芽肿,且抗酸染色阴性(与肺结核不同);
3.血管紧张素转化酶活性增高,≥50时诊断价值较高。
备注:血管紧张素转换酶(ACE)产生于肉芽肿内,结节病时其血清水平升高,可为诊断提供一定的依据。但是,该项指标的灵敏性仅57%,特异性为90%,不足以单独使用。并且真菌感染、结核病等也可以引起ACE升高,需要结合病人临床情况整体考虑。

读到这里大家就能明白了,当肺部CT发现多发肿大淋巴结、多发肺内结节时,如果比较年轻,没有严重症状时,先别慌,听从医生指导,进一步完善全面检查,很多时候并不是恶性肿瘤。
肺结节病的治疗和预后
这是一种良性疾病,发展缓慢,很多病人会在1-2年内症状和影像学改变都自行消退(自愈),但大于20-25%的病人会进展为肺纤维化,肺内出现纤维灶、蜂窝状影、牵拉性支气管扩张等,或者继发细菌感染。
所以如果病人症状明显,重要器官功能受到影响,应当接受药物治疗,通常选择糖皮质激素(很多病人应用激素后症状和肺部影像可以迅速改善),对某些难治病例还可使用免疫*制剂抑**,可以与激素联用或单独使用。

我是影像科豪大夫,分享小病例,传递正能量,欢迎关注!
#湖南医聊超能团# #健康科普排位赛#