人有胖瘦,癌有快慢!
长得慢的癌症像蜗牛,可以几十年不变化,不影响寿命;跑得快的癌细胞像兔子,一愣神就踩得漫山遍野的脚印子,到处扩散。
像蜗牛一样的懒癌不要紧,能根治!比兔子还快的癌症防不胜防,要重点研究。
今天看两个比兔子还快的癌症,找一找快速型癌细胞的生长规律。
干咳发现小肺癌,8个月后长成大馒头
这是一位56岁男子,阵发性干咳1周,CT发现右侧不规则肺结节:

这是一个周围型肺腺癌,大小1.7×2.2cm,边缘有多发毛刺。如果没有转移,手术配合化疗,治愈机会还是很大的。
很可惜,他做了PET-CT,发现多发淋巴结转移,没有手术机会了。
基因检测阴性,不能使用靶向治疗,他也拒绝了化疗,选择听从命运的安排……
很遗憾,他身上的癌细胞不是懒癌,而是快速型的,8个月后回来复查,从2.2cm长到了接近8cm,像一个馒头:

某些比较温和的癌症,可以通过增加营养、保持愉悦的心情来对抗,延长高质量的生存期;但对这种快速增长的癌症,通常需要借助医学外力的帮助,单靠保持快乐是不够的。
快速型的癌症生长周期短,该怎样抓住它们呢?
不论快癌慢癌,早期发现都能治愈!关键是一个“早”字。我们看另一个病例就能明白这个简单道理。
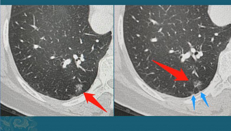
这是一位45岁女士,因为肾结石住院,胸部体检发现两个微结节灶,右肺的微结节还不到3mm:

这两个结节都属于低危结节,定期复查就好!<5mm的结节,首次复查可以选择6-12个月复查,不会耽误治疗。
因为疫情缘故,她在8个月的时候回来复查了CT,左边的没有变化,右边的长大了:

8个月的时间,从一个不足3mm的微结节,长成9mm的磨玻璃结节,速度非常快!以至于我们不敢确定就是肺癌。
我们把图像放大再看看细节,这个磨玻璃结节边界不清晰,内部有血管穿行,并略增粗,边缘有两处细线状胸膜牵拉,病人也没有咳嗽、发热症状,炎性指标都正常,这些辅助资料不太支持炎症:

最终做了胸腔镜下切除,病理是微浸润肺腺癌,基本治愈!因为<1cm的微浸润肺腺癌,手术治愈率几乎是100%的。
这个病例告诉我们,就算是快速型的肺腺癌,只要重视定期体检,依旧可以早期发现,切断癌细胞的兔子腿,阻止它们漫山遍野地播散。

查出磨玻璃肺结节,不要慌!
有好几位很熟悉的读者朋友,一直在跟读豪大夫的肺结节文章,看到这里不要慌!
磨玻璃肺结节,绝大多数是惰性病灶,并且复查过一次之后没有增大,就排除了这种快速性的情况,不会耽误治疗!
而且很多小于1cm的磨玻璃影,可能是慢性炎症或者不典型增生,很常见,随访观察不会错过治疗机会。现在新药层出不穷,说不定用不了几年,就能有比手术更好的治疗方法。
最后举一个惰性肺癌的例子,给大家定定神
这是一位中年女性,在2007年胸部CT体检,发现左下肺混合磨玻璃结节,边界不清,伴有胸膜牵拉:

她每年谨慎复查CT,结节一直没什么变化,直到11年后才开始有密度增加,做了手术切除,病理是浸润性肺腺癌。
今天的几个病例都比较极端,慢癌不要紧,快癌只要定期体检(推荐每年一次,尤其是老年人),也能阻止它发展。
我是影像科豪大夫,分享小病例,传递正能量,欢迎关注!
#湖南医聊超能团# #清风计划#