钱江晚报·小时新闻通讯员 邹紫
临近春节,天气寒冷,亲朋好友聚会、享美食的机会变多了。虽然鸡、鸭、鱼、肉等吃起来过瘾,但吃法不当可能会导致严重的后果,杭州萧山就有一位老伯,因吃甲鱼竟然躺上了手术台……
美食穿肠过,骨头肠中留
前几日,家住杭州萧山蜀山街道的王师傅,在睡梦中被一阵腹痛给惊醒,且越来越疼。家人立即将他送往医院。原本以为是吃坏了东西,没想到一查,竟然在王师傅的小肠里发现了一处阴影,似尖锐异物。在医生的详细询问下,王师傅才想起来,之前家里炖了一只大甲鱼,甲鱼味道鲜美,自己大口大口吃了很多,很可能当时误吞了甲鱼骨头。

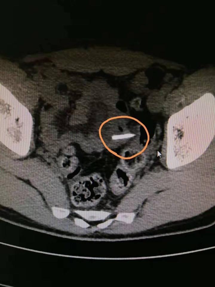
王师傅的影像资料

这就是王师傅误吞的甲鱼骨头。
医生立即为王师傅安排了手术。术中发现,王师傅的小肠上有一处穿孔,一根锋利的甲鱼骨头横卡在肠子内,已经把肠管刺穿,不少肠液流入腹腔,形成了腹膜炎。医生小心翼翼地将骨头取出,并为王师傅修补了破裂的肠壁,将脓液引流,冲洗腹腔。术后,王师傅康复状况良好。
新春佳节即将来临,年夜饭大家一般都喜欢吃甲鱼。但这些菜肴在烹饪时,常常带着骨头,一些骨头还很锋利。小小骨头虽然看起来不起眼,误吞后却很可能会引发大问题。
医生告诫:人的消化道都比较脆弱,尤其是食管、肠壁比较薄且距离长,误吞的尖锐异物进入消化道,很容易刺穿消化道引发感染,如果不及时取出异物,病情会不断加重,甚至可能威胁生命。
因此,在吃饭时应该细嚼慢咽,不宜匆忙,不宜谈笑吵闹,尤其吃带有骨刺类的食物时要注意。牙齿不好、咀嚼不便的老年人和儿童,更加需要小心。如果误吞类似物体后出现了背部或腹部剧烈疼痛等症状时,一定要引起重视,及时到医院就诊,以免造成严重后果。
无独有偶,不久前,萧山的张女士吃完火锅后吐血,去医院一查,竟然是食管受了“内伤”。
原来,当时张女士跟朋友聚会吃火锅后,感觉喉咙口、胸口疼痛,吞咽有异物感,回家之后有想吐的感觉,去卫生间一吐,竟吐出一大口鲜血!
“当时以为自己可能是因为吞下了什么骨头、锅巴之类的硬食物,所以刮伤了喉咙,没有特别的在意。”但休息了一晚后,张女士并没有好转,喉咙一直有异物感,甚至连吞口水都感到困难。次日晚上,她再次呕吐出血。这下,张女士知道情况不妙,马上赶到萧山区第一人民医院,挂了消化内科。一查,在她的食道22厘米处,有一处较大的溃疡。

张女士影像资料

医生告诫:习惯吃太烫的食物,吃得太快,不仅会损害食道和消化器官,而且长期这样下去,还极有可能致癌!
为此,萧山区第一人民医院消化内科专家在此提醒大家:春节期间,大家都讲究吃好、喝好、玩好,开开心心过大年,但一定要注意预防节日病。健康过年,才是最重要的。特别是下面这两点,一定要格外注意:
一忌暴食加大量饮酒,否则容易引发急性胰腺炎。上到80岁老人,下至10岁小孩,都有可能中招。
胰腺炎治疗起来很麻烦,但预防起来并不难:
1. 不酗酒,不劝酒,饮酒一定要适量,切忌空腹饮酒。
2.避免暴饮暴食,尤其是有胆石症病史的人,更应提高警惕。
3.不宜吃得太油腻,尤其是晚上。合理饮食,适量饮酒,减少胰腺、肠胃的负担。
4.少吃肉,多吃蔬菜和水果。
二忌进食不洁、生冷或刺激性食物,谨防诱发急性胃肠炎。急性胃肠炎病因包括细菌、病菌、寄生虫感染等;症状一般为恶心、呕吐、腹痛、腹泻、发热等,严重者可出现脱水、休克。
预防急性胃肠炎,要注意以下几点:
1.多休息、多喝水、避免疲劳、戒烟戒酒。在饮酒之前,先吃点食物,以促进胃酸分泌并保护胃肠道。
2.注意食品安全,少吃冷菜、剩菜,注意饮用水的卫生。
3.对于胃肠道消化功能不佳或本身患有胃肠道疾病的人群,不要贪吃,少吃或不吃油腻的难以消化的食物。
4.多吃蔬菜和水果。食物不要吃太杂,注意饮食搭配。
如果感到身体不舒服,要及时就医。同时,患病期间,要多吃清淡的易消化的食物,饮食要定时定量 。