很多人都有口臭,牙龈出血,红肿疼痛难忍等口腔问题,很多人都会说这其实都是上火导致的,但是实际上这并不是单纯的上火问题,而是牙周病引起的一系列并发症。

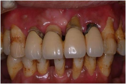
严重牙周病导致的牙齿伸长
牙周病是牙周软组织因为口腔菌斑感染引起的一种慢性炎症疾病;从龈炎开始,病菌一点点的向深层感染扩散,在侵蚀掉牙周膜和牙骨质后形成牙周病。
牙周病初期症状不是很明显,及易与'上火'的症状相混淆,不容易引起患者的重视;但任由其发展,就会造成牙槽骨吸收,牙齿脱落等无法转圜的后果,所以朋友们要警惕,口腔出现以下症状,一定尽早就医诊治:
下面我们来讲就牙周病的症状:

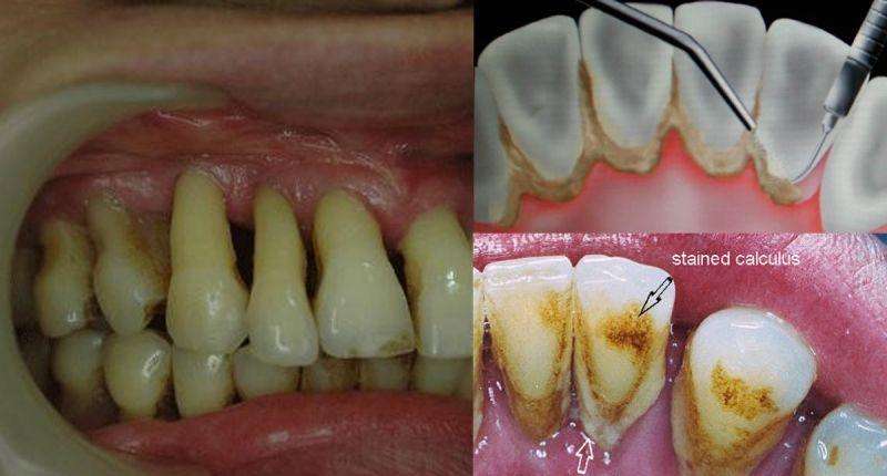
1. 牙龈出血
牙龈炎是牙周病的一种,而出血就是牙龈炎的早期症状,所以当患者出现非剧烈外力伤害的牙龈出血、渗血时,就需要提高警惕;
不论血量是大是小,是自发性还是在刷牙等外界因素刺激下渗血,这都代表牙患者龈有炎症,处于一种不健康的状态,即使不是牙周病要尽早治疗。

2. 牙龈肿痛
牙龈如果莫名出现肿痛'大包',有胀痛或痒的感觉就很有可能是牙龈炎或是牙周脓肿;早期没有形成脓液前,可以通过洁治和抗生素来治疗;一旦牙周胶原纤维和牙骨质遭到破坏,局部牙周组织出现脓化炎症就只能通过手术引流了。

3.牙缝变大
牙龈炎会造成牙龈萎缩,牙周病后期也会引起牙槽骨吸收,这就会使包裹在牙龈内的牙根慢慢暴露出来,患者就会感觉牙缝越来越大,甚至出现'黑三角'。
4.牙齿松动
牙槽骨吸收,牙周组织被破坏都会导致牙齿因支持力量不足而松动,当牙齿出现松动时,就说明炎症已经到深层了,这个时候一定要尽早医治,否则患牙周围其他的牙齿也容易'受牵连'导致松动脱落。
5.口臭严重
有长期口臭的患者也需要注意,口臭不一定是内分泌系统的原因,很有可能是口腔疾病,牙周组织发炎也会是造成口臭的主要原因;只有在知道明确的具体病症后,我们才可以对症治疗,很多患者的印象中会认为牙周病是一种顽固性不宜根治的疾病,其实只要用对方法,牙周病也是很容易得到控制和治疗:
牙周病治疗方法:

1. ·初期牙周病患者通过用洁治刮治、根管治疗、拔牙、填充治疗等方式就可以控制或清除病源体,去除病因。
2. ·但当牙周病比较严重,用基础治疗已经无法彻底去除病原时,我们可以进行有必要的手术治疗;类似于牙龈切除术、牙周夹板固定术都是不错治疗牙周病的措施。
3. ·患者牙齿松动,按照松动情况选择治疗措施,对于可以保留的牙齿可以选择做牙齿固定术;但是对炎症程度比较重,无法保留的患牙可以直接选择拔除后植牙。
越早治疗,受罪越少,越容易,所以在出现任何口腔问题时秉承着'早发现,早治疗'的原则尽到专业的口腔医院就诊,不同的患者有不同的病症,适用于不同的治疗方案,切勿自己盲目判断,贻误最好的就诊时机。