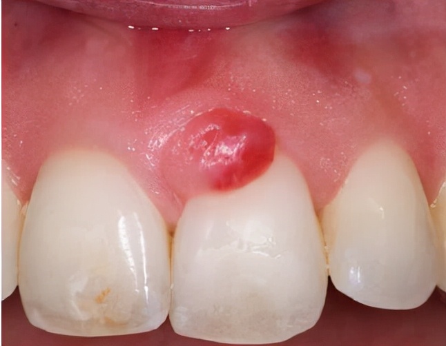
牙龈上长脓包算是一个比较常见的症状了,若是没有及时地处理,脓包会越长越大,甚至会越来越痛,直接影响到饮食。吃消炎药也不太管用!
挤破脓包后流出很多脓液,看着还怪恶心!强迫症还忍不住想用手去挤,但手上细菌多,又怕引起感染,越来越严重。

挤破后的牙龈脓包还反复长,应该要怎么处理呢?
其实在牙龈上长出脓包,其实是在反应我们的口腔健康遭受到了威胁,需要引起重视。长过脓包的朋友可以回忆一下,大多数牙龈上长了脓包的相应位置的牙齿多多少少会出现不同程度的牙痛。
看表面是一个脓包,实则牙龈内的牙根已经发炎,细菌感染牙髓演变成牙根炎症,牙槽骨遭到炎症的影响,所以牙龈上才会鼓起一个脓包。从根尖到牙根的瘘管,脓包内产生的分泌物由此流出。如果你出现这样的问题,必须要及时去看医生才行,否则情况会加重!

脓包需要怎么处理主要看是由什么引起的!一般有牙根发炎和牙周炎引起的!
①根尖炎症导致的,则需要拍牙片检查下根尖周组织破坏情况,再来评估患牙是否有保留价值。很简单,无法保留则拔掉;能够保留就要根管治疗,并且在牙龈下做切口排脓,放药,待几天好转了之后,就可以补牙修复了。

②牙周引起的脓包,首先要止痛并防止感染扩散,再将牙周袋内或牙龈切开引流,缓解疼痛,冲洗脓腔并导入消炎药。治疗后,一定要注意饮食,避免辛辣刺激等。
口腔健康全身健康!所以尽量要注意自己的牙齿问题,如出现不适应及时就医!最好是每年做一次口腔检查,这样可以及时发现口腔疾病隐患,及时防治。
口腔清洁也不能马虎,早晚刷牙、饭后漱口,另外要每年至少洗牙一次!
