早起上班、约会前奏,免不了要洗漱打扮刮刮胡子。你一定遇到过这种情况:拿起剃刀,却发现胡子丛中有红疙瘩若隐若现,让你不得不加倍小心,不敢痛快下刀;稍不注意碰上去,轻则疼得呲牙咧嘴,重则破皮流血光荣挂彩,事情虽不大、心中颇不爽。这,就是须部毛囊炎。

下刀需谨慎
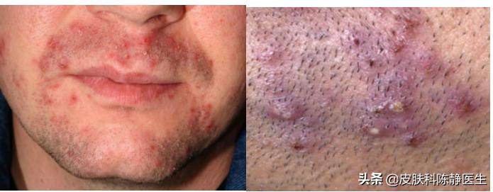
须部毛囊炎是一种影响胡须区域的毛囊炎,主要由感染金黄色葡萄球菌引起。刮胡子和不刮胡子的人都有可能会发生。如果炎症较深,可能导致瘢痕和永久性毛发缺失。

须部毛囊炎
还有一种假性毛囊炎,也被称为剃须疹或剃刀疙瘩。这是一种发生在面部毛发周围的异物炎性反应,往往和不当剃须有关。身体其他部位的毛发被剃或拔的时候也可以发生,如腋窝,阴部和腿。

假性毛囊炎
这两种情况往往同时存在,都容易发生在男性面部和脖子部位,但是仔细观察,可以看到表现还是不同的:
须部毛囊炎皮疹的形态非常像*疮痤**,为疼痛性脓疱,可能会破溃流脓。而假性毛囊炎表现为肉色或红色的毛囊性丘疹,仔细看皮内有卷曲的毛发,有瘙痒感,摸上去软软的。
并发症:
如果上述情况反复发生,可能会出现炎症后色素沉着过度,肥厚性瘢痕和瘢痕疙瘩,暂时或永久性毛发缺失。感染扩散和自身炎症反应加重可能会形成须疮,波及鼻窦。

并发症
上述病症,一是瞬间拉低形象,二来还有后续麻烦,所以特别要注意
预防及治疗:
须部毛囊炎如果同时合并有假性毛囊炎,建议一个月暂时不剃须,让内生的胡须长出来。再次剃须时,提前做好以下工作:
*使用含有水杨酸的洁面产品和护肤乳,可以去除皮肤表面多余角质,保持皮肤滋润。
*控制剃须深度,胡茬微微露出皮肤表面;减少剃须频率,例如从每天一次降到隔天一次。
*使用一次性剃须刀或电动剪刀。
*顺着毛囊的方向而不是逆着,不要牵拉皮肤。
*用沸水消毒金属剃须刀和电动剃须刀,塑料物品应浸泡在消毒溶液中。
药物治疗:
如果只有轻度炎症和瘙痒,可以外用氢化可的松乳膏。如果出现*疮痤**样炎症丘疹,脓疱,可以联用过氧化苯甲酰和维甲酸。如果已经出现色沉,可以使用氢醌。皮疹较多需要口服四环素类抗生素,不愿意口服药物的可以选择光动力治疗,疗效也不错。
如果复发较为频繁,可以考虑激光脱毛。

须部毛囊炎门诊治疗前后
治疗方案取决于病情的严重程度,所以需要你到门诊就诊。立刻关注皮肤科陈静医生,获得专业皮肤健康知识吧。