关注公众号【寻真猫科】→ 专业的猫咪疾病/养护查询工具
温馨提示:文章仅作为医疗参考资料使用,由于医学复杂多变,猫咪生病时请在专业医生的指导下用药,万万不可自行用药,切记!切记!
第一部分 了解猫子宫蓄脓
1、猫咪正常受孕的过程

2、猫子宫蓄脓发病过程
猫咪发情,因为某种原因,体内分泌孕激素,但是没有猫宝宝可以培育,反而有细菌(常见的是大肠杆菌)进入,把细菌当宝宝养大了,从而导致了子宫蓄脓。

3、子宫蓄脓的类型
(1)开放型:子宫颈口是打开的,会排出脓性分泌物,肉眼可看到
(2)封闭型:子宫颈口是关闭的,不会流脓
4、这里着重吐槽一下,某度曾流行一个说法:猫咪发情的时候用棉签满足一下母猫就可以停止发情了,实际上,棉签*法大**是容易引起子宫蓄脓的,千万不要尝试。
5、大多数子宫蓄脓发生在4岁以上的母猫。
第二部分 猫子宫蓄脓的三层次
1、病根:孕激素+细菌
2、病变:子宫蓄脓
3、病症
(1)发病初期:无症状
(2)发病中期
- 封闭型的子宫蓄脓:只有厌食、嗜睡,可能发现腹围增大,但是这些症状指向性很差,很多病都是这个症状,所以封闭型的更难早诊断早治疗;
- 开放型的子宫蓄脓:厌食、嗜睡,可能发现腹围增大+阴道有排脓性分泌物(有这个症状就基本可以判定为子宫蓄脓了,但是分泌物常常会被猫咪舔食掉,不注意观察的话常常会被忽略);

阴道口的排脓性分泌物
(3)发病后期:很严重,可能会引起败血症,急性肝/肾损伤甚至器官衰竭,如果发生子宫破裂,则会发生腹膜炎和感染性休克,若不及时治疗,可能存活时间不到24-48h。
第三部分 猫子宫蓄脓的诊断
1、病症分析
结合上文的临床症状进行分析
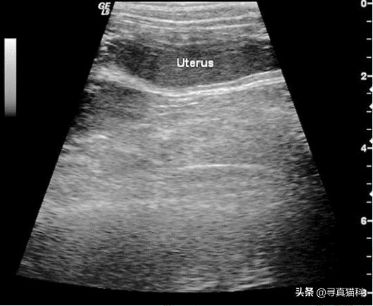
2、临床检查


B超结果
3、诊断总结
(1)开放型子宫蓄脓阴道可见排脓性分泌物,有这个症状基本就是子宫蓄脓了;
(2)核心检查项目:B超、阴道分泌物抹片、血常规、生化,其中,B超的检查最为重要,常常需要靠B超来确诊。
第四部分 猫子宫蓄脓的治疗
1、对症治疗:无
2、支持治疗:具体情况具体支持
3、对根治疗:
方案1:手术切除掉子宫与卵巢(跟绝育手术一样)+术后抗生素控制细菌感染
→优点:简单、彻底、不复发
→缺点:以后无法生育
方案2:前列腺素F2α(促进子宫脓液的排除) +抗生素控制细菌感染的保守方案
→优点:以后还可以生育
→缺点:复杂、效果不确定、可能复发
→注意事项
- 只适合处于早期或中期的子宫蓄脓,后期的子宫蓄脓或者猫咪状态已经不稳定时,还是得赶紧准备手术;
- 只适合开放型的子宫蓄脓,封闭型的子宫蓄脓使用该方案很可能导致子宫破裂从而危及生命;
- 医院一般没有前列腺素F2α 这个药;
- 前列腺素F2α副作用较多,可能会导致呕吐、烦躁不安、气喘、流涎、排便(通常腹泻与里急后重)、排尿,用药后15分钟内开始出现副作用,一般是1-2小时内消退,所以用药时至少得留院观察几个小时。
综上所述,如果没有强烈的生育需求的话则直接选择方案1。
第五部分 猫子宫蓄脓的预后
1、如果在治疗前没有发生败血症并且进行卵巢子宫切除术,则预后通常是良好的。
2、如果发生败血症、肝肾严重损伤、子宫破裂,无论采取何种治疗方案都有较高的生命风险。
3、采取保守治疗(非手术)的可能会复发。
参考资料:国际顶尖的权威猫科网站和书籍
