
易建联受伤瞬间
2019/2020赛季CBA尘埃落定,广东宏远队成就十冠霸业。不过比赛期间,易建联的意外受伤,仍牵动着不少球迷的心。
8月16日,CBA广东宏远俱乐部在官方微博证实,易建联遭遇跟腱断裂,并已接受手术治疗。

跟腱断裂,是诸多运动员都曾遭遇过的严重伤病。刘翔、科比、杜兰特等名宿都曾倒在跟腱这一“阿喀琉斯之踵”上。
跟腱断裂在临床上是一种较常见的运动性疾病。近年来,随着群众体育的广泛开展和运动水平的不断提高,跟腱断裂的发病率逐年提高。除少数跟腱原位外伤导致的开放性跟腱断裂外,大部分跟腱断裂是由间接外力引发。部分跟腱断裂的患者在发生跟腱断裂前都有跟腱相关的慢性疾病。
本文对跟腱断裂的诊断和治疗做了较为详细的介绍,希望对各位同道有所帮助。
解剖
人体最长、最强壮的肌腱,起于腓肠肌和比目鱼肌,止于跟骨结节,长约 15cm,功能:踝关节跖屈,完成脚尖站立、正常走路、跑、跳、上下楼梯等动作。
层次
- 皮肤
- 皮下
- 腱外膜(深筋膜)
- 腱周组织跟腱

跟腱获得血液供应的途径有三种:
- 肌肉—肌腱结合部;
- 周围结缔组织;
- 腱—骨结合部;
断裂容易发生于偶尔参加运动的中年人,所以也称这类人为“周末运动员”,踝在过伸位突然用力,断裂多发生在跟腱止点上方2~6cm。

发生机制
- 跟腱自上而下逐渐变窄增厚,跟骨结节上方2~6cm最窄,此处最薄弱
- 跟腱营养动脉造影显示,下段区域血供相对较少
- 跟腱中的血管数随年龄的增大而逐渐减少
- 跟腱长期慢性牵拉劳损,产生跟腱炎、腱周炎,跟腱组织变脆,影响跟腱血供

内部因素
- 全身
- 全身血流灌注
- 系统性疾病
- 性别/年龄/体重
- 局部
- 外翻足/平足
- 肢体长度
外部因素
- 全身
- 皮质醇激素
- 喹诺酮类药物
- 药物/*品毒**
- 运动
- Training errors
- 过度负荷
- 环境
病理变化

临床表现
- 跟腱部肿胀、疼痛,足跖屈无力。
- 查体:连续性中断,局部凹陷,趾屈力量明显减弱,提踵试验阳性,Thompson试验阳性
- 患者经常诉脚后跟被人踢了一脚,或棒击感
Thompson试验
腓肠肌挤压试验,称作Thompson试验,患者俯卧于检查台上,双足置于台边,挤压腓肠肌,如跟腱完好,由于腓肠肌比目鱼肌联合腱通过跟腱与跟骨相连,所以足可跖屈。跟腱断裂后,其不能将腓肠肌比目鱼肌联合腱与跟骨相连,当与健侧做同样试验时,足不能跖屈 。
漏诊
- 跟腱断裂后,足跖屈活动不完全消失
- 跟腱断裂后,部分患者仍能站立跛行
辅助检查:超声
完全跟腱断裂:肌腱纤维完全中断不连续,边缘呈锯齿状,由于组织水肿,肌腱断端收缩,超声学上表现肌腱回缩增粗,肌丝缺如,由于出血和渗出,裂隙中间为低回声区或无回声区。
部分跟腱撕裂:跟腱纤维的部分连续性好,部分不连续,不连续的肌腱纤维之间及周围可见低回声区或无回声区。

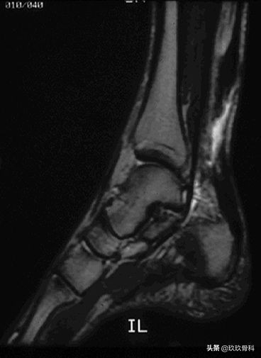
MRI
跟腱撕裂 MRI评价标准:
(1)完全撕裂:跟腱增粗,腱束分离,局部T1WI、 T2WI信号均匀增高或局部信号不均匀增高,腱束重叠交织但不连续 (2)部分撕裂:跟腱增粗,局部T1WI、T2WI信号不均匀增高,内见部分连续的腱束影。

X线片
了解跟腱有无钙化,止点撕脱骨折等。

治疗
保守治疗
- 24小时内,有凹陷,跖屈位凹陷消失,断端不清晰, MRI腱围完整
- 7-14天,肿胀,无凹陷,腱围完整
- 大于14天
- 有不利的合并症:糖尿病,足癣,皮肤破损等
手术治疗
- 大多数急性期的跟腱断裂(小于10天?14天?)
- 对功能要求较高的患者,如运动员,体育爱好者
- 既往有跟腱炎,局部封闭治疗史
手术方式
传统开放手术:
微创手术:1.小切口手术2.经皮手术3.关节镜手术

开放手术切口的选择:
- 选择后内侧纵切口,而不推荐后正中切口
- 后正中切口会伴发鞋子磨损问题以及切口瘢痕破溃问题
- 避开腓肠外侧皮神经和小隐静脉
缝合方法:改良Kessler缝合法或Bunnell缝合法
改良Kessler缝合法

Bunnell缝合法

三束缝合法

经皮跟腱缝合


并发症的预防
- 手术时机:跟腱断裂应在肿胀出现前手术,否则应待肿胀消退、皮肤皱褶出现后。
- 跟腱内侧纵切口
- 应锐性切开至深筋膜(腱外膜),避免钝性剥离造成的皮下营养血管网破坏和脂肪液化,从而减少切口皮肤坏死、感染和和粘连;
- 保护腱周组织,避免破坏其从腹侧进入跟腱的血管束;
- 修复后跟腱应有足够强度且张力不可过大,以免阻断断端血供,影响愈合;术后石膏托固定于屈膝、跖屈位减轻吻合处张力;
- 线结包埋于断端,腱外膜间断缝合使线结位于皮下组织中,可减少线结刺激。
- 皮肤缝合不建议连续皮内缝合