文章来源: 中华结核和呼吸杂志,2020,43 (03): 263-267
DOI: 10.3760/cma.j.issn.1001-0939.2020.03.026
作者 :黄鸿波 郑锦阳 庄锡彬 戴凯峰 李阳慧 黄俊玲 许小婷 林杰彬
单位: 福建医科大学附属泉州第一医 院

摘要
本文报道1例矽肺伴急性纤维素性机化性肺炎病例在2013年6月至2019年5月的病情演变。患者男,31岁,磨石工人,以"反复咳嗽、咳痰3年,气喘半年,加剧伴发热7 d"为主诉于2013年6月27日首次就诊。胸部CT提示纵隔及双肺门多发淋巴结肿大伴钙化,双肺见多发斑片状高密度病灶,以双下肺明显。CT引导肺穿刺病理符合尘肺合并急性纤维素性机化性肺炎。诊断为矽肺合并急性纤维素性机化性肺炎,给予全身糖皮质激素(激素)治疗,短期效果好,但易复发。2013年9月至2016年9月先后出现6次复发,胸部CT提示双肺病灶呈多发性、多形性、复发性及游走性改变。激素加量治疗仍然有效,但总体治疗效果逐渐变差。2017年8月至2019年5月多次复查胸部CT提示双肺多发巨块型矽结节形成并逐渐加重,肺功能逐渐恶化。患者活动后气喘逐渐加剧,目前已无法耐受体力活动,基本丧失劳动能力。
正文
患者男,31岁,磨石工人,因"反复咳嗽、咳痰3年,气喘半年,加剧伴发热7 d"于2013年6月27日入院。患者入院3年前反复咳嗽,痰为白色黏液样。半年前症状明显时痰转为黄色黏液样,伴活动后气喘、发热,体温最高达39.5 ℃,发热前无寒战,多次就诊当地县级医院,给予"哌拉西林/他唑巴坦+左氧氟沙星抗感染"等治疗(具体不详),症状可好转,但易反复。既往体健。从事打石行业10余年,工作环境中粉尘多,卫生条件差。吸烟10年,20支/d。父亲死于"矽肺"。体检:体温37.8 ℃,口唇无发绀,双肺呼吸音粗,双中下肺可闻及散在湿性啰音,未闻及干性啰音,无胸膜摩擦音。辅助检查:血常规示白细胞为14.52×109/L,中性粒细胞比率为75.5%,嗜酸粒细胞比率为0%。ESR为48 mm/1 h。C反应蛋白为78.7 mg/L。肝肾功能正常。降钙素原、痰涂片抗酸染色(3次)、痰培养、血培养、血癌胚抗原、抗核抗体10项、血管炎组合、1-3-β-D葡聚糖及结核菌素试验均阴性。肺功能示轻度限制性通气功能障碍。胸部CT(2013年7月4日)提示纵隔及双肺门多发淋巴结肿大伴钙化,双肺多发斑片状阴影(图1,图2)。气管镜下见气管及双侧各支气管黏膜充血、轻度水肿,管腔通畅,见少量浅黄色泡沫样分泌物;刷检涂片抗酸染色(3次)、BALF致病菌培养、灌洗液半乳甘露聚糖试验(GM试验)均阴性;活检病理提示:(左下肺)肺组织间质慢性炎细胞浸润;灌洗液涂片(左下肺)见多量吞噬颗粒异物的巨噬细胞。行CT引导经皮肺穿刺,病理提示:(左下肺)符合尘肺合并机化性肺炎。给予吸氧、亚胺培南/西司他丁(0.5 g/0.5 g静脉滴注,8 h/次)抗感染及解痉、化痰等处理,病情无好转。肺穿刺病理提示尘肺合并性机化性肺炎后,停用抗生素,加用甲泼尼龙(40 mg静脉滴注,1次/d)抗炎治疗,症状明显好转。复查胸部CT(2013年7月13日)示双肺斑片状阴影部分吸收(图3,图4)。转请北京协和医院病理科会诊读片,诊断为急性纤维素性机化性肺炎(图5,图6,图7),患者住院18 d后出院,出院继续全身激素治疗(泼尼松30 mg,1次/d,逐渐减量)。

图1,2第1次发作治疗前(2013年7月4日)胸部CT可见双肺多发斑片状渗出实变影,以左下肺明显
图3,4第1次发作糖皮质激素治疗后(2013年7月13日)胸部CT可见双肺病灶部分吸收好转
图5肺泡腔内见嗜伊红的纤维素样物沉积形成纤维素球,其内部或周边见新生由纤维母细胞/肌纤维母细胞增生形成的息肉样结节交替分布HE低倍放大
图6纤维/肌纤维母细胞增生结节上见黑褐色粉尘样颗粒HE低倍放大
图7 偏光显微镜下机化结缔组织栓子内可见二氧化硅颗粒HE高倍放大
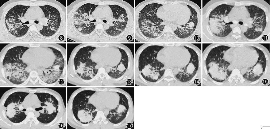
2013年9月至2016年9月,患者先后出现6次病情复发。归纳复发可能的诱因:1次为自行停用全身激素,2次为再次接触高浓度粉尘,1次为合并细菌感染,其余2次不明。症状多表现为咳嗽、咳痰及气喘,肺部查体多无明显异常体征;第5次复发因合并感染,出现发热、脓性痰,肺部可闻及湿性啰音。胸部CT(图8,图9,图10,图11,图12,图13):双肺可见片状、斑片状高密度影。病灶密度不均,由磨玻璃影到实变影不等,且多为二者混合性改变。病灶多累及整个叶、段,以双侧性及下叶分布为主,并沿支气管分布。无蜂窝肺样改变。病灶均对激素敏感,治疗1个月内多数病灶明显吸收。病情复发后,病灶呈游走性;病灶大小亦不完全相同,且病灶范围及大小与临床症状的严重程度有一定的相关性;随着复发次数的增加,病灶密度亦多呈逐渐增加,且病灶密度与激素治疗效果有一定相关性。除第5次复发因病情较重收住院加用抗菌素治疗外,其余均在门诊予全身激素加量处理后好转。

图8 第1次复发(2013年9月24日)胸部CT可见双上肺多发斑片状渗出实变影,以右上肺明显
图9第2次复发(2013年12月26日)胸部CT可见双上肺多发斑片状渗出实变影,以右上肺明显
图10 第3次复发(2014年7月2日)胸部CT可见双下肺多发斑片状渗出实变影,以右下肺明显
图11 第4次复发(2015年6月11日)胸部CT可见双上肺片状渗出实变影,以右上肺明显
图12第5次复发(2015年10月15日)胸部CT可见双下肺片状渗出实变影,双侧大致对称
图13 第6次复发(2016年9月22日)胸部CT可见双下肺片状实变影为主,右下肺混杂少量渗出性病灶
图14 胸部CT(2017年8月23日)可见双下肺片状实变影
图15胸部CT(2018年5月21日)可见双下肺片状实变影进一步增大
图16,17胸部CT(2019年5月6日)双上、下肺均可见巨块型矽结节
2016年9月22日患者再次复发,激素加量后症状缓解不明显,但因考虑到长期应用大剂量全身激素的副作用问题,故仍逐渐激素减量:泼尼松每1~2个月减2.5~5 mg。泼尼松减量至5~10 mg,1次/d时,患者出现咳嗽、咳痰及气喘加剧,短期激素加量(5~10 mg,1次/d),症状可好转,但无法完全停药。近3年来激素治疗量维持在5~15 mg,1次/d,时有咳嗽,痰少,活动后气喘渐明显,无法耐受体力活动,基本丧失劳动能力。复查肺功能(2019年5月)提示重度混合性通气功能障碍,肺部CT(2017年8月23日、2018年5月21日、2019年5月6日)示双肺多发高密度团块影,边界清,且缓慢进展(图14,图15,图16,图17)。
讨论
黄鸿波(呼吸与危重症医学科):本病例特点如下:(1)青年男性,磨石工人,有10余年矽尘接触史,父亲死于矽肺;(2)亚急性起病,以反复咳嗽、咳痰、气喘为主要表现;(3)查体:双肺多未闻及干、湿性啰音;(4)实验室检查:血白细胞、中性粒细胞比率、ESR及C反应蛋白升高,痰细菌及真菌培养阴性,痰涂片抗酸染色阴性,支气管镜灌洗液致病菌培养及GM试验阴性,血肿瘤指标、结缔组织病及血管炎相关抗体检测阴性;(5)胸部CT提示除矽肺表现之外,双肺可见多发片状、斑片状高密度影,病灶密度不均,以双侧性及下叶分布为主,沿支气管分布,支气管充气征阳性,并具有复发性及游走性的特点;(6)肺穿刺病理提示尘肺伴急性纤维素性机化性肺炎,偏光显微镜下肺间质及肺泡腔内的肉芽组织中可见大量二氧化硅颗粒;(7)病程长,先后7次病情反复,且呈逐渐加重趋势;(8)初期全身激素治疗短期效果好,但激素减量及停药后易复发;(9)后期激素治疗效果渐差,复查胸部CT提示双肺逐渐出现多发高密度团块影,边界清,且呈缓慢性进展。
该患者第1次就诊本院时,表现为发热、咳嗽、咳痰、气喘等肺炎样症状,查体双中下肺可闻及散在湿性啰音,实验室检查提示血象、ESR及C反应蛋白升高,胸部CT提示纵隔及双肺门多发淋巴结肿大伴钙化、双肺多发斑片状阴影,提示矽肺合并双肺炎可能。但经当地医院及本院先后予哌拉西林/他唑巴坦+左氧氟沙星、亚胺培南/西司他丁抗感染等处理,病情无好转。后经肺穿刺病理提示急性纤维素性机化性肺炎,给予全身激素治疗,短期效果好。在之后3年随访中,患者又先后出现6次病情复发:其中5次症状较轻,在门诊予全身激素治疗后好转;1次症状较重,双肺病灶广泛,经住院予全身激素及抗菌治疗病情方好转。综合上述临床表现,认为矽肺合并急性纤维素性机化性肺炎诊断成立,依据如下:(1)磨石工人,有10年以上的粉尘接触史,有咳嗽、咳痰、气喘等症状,胸部CT提示双肺多发结节或团块状阴影伴钙化,广泛纵隔及肺门淋巴结肿大伴钙化,故矽肺叁期[1,2]诊断成立。(2)病情加重时呈亚急性起病,表现为发热、咳嗽、咳痰、活动后气促等肺炎样症状,查体双肺多未闻及啰音,血炎症指标升高,胸部CT表现为大片状或斑片状高密度影,病理学表现为肺泡腔内纤维蛋白球以及机化的疏松结缔组织,抗生素治疗效果不佳而激素治疗有效,且易复发,故急性纤维素性机化性肺炎[3,4,5,6]诊断成立。
戴凯峰(影像科):该例患者胸部CT表现缺乏特异性改变。2013年7月4日第1次住院胸部CT提示双肺散在分布的斑片状高密度病灶,沿细支气管血管束分布,呈叶、段分布,以下肺为主。之后3年,又先后6次因病情加重复查胸部CT,病灶呈游走性,但多呈双侧对称性,可见片状实变影及磨玻璃影,亦可见小结节影,而网格状、条索状病灶少见,无蜂窝肺表现。CT上的实变、结节或肿块在组织学上对应为细支气管、肺泡管和肺泡内的纤维素性机化性变性;磨玻璃样病变在组织学上对应为肺泡间隔的炎症及肺泡腔内的肺泡细胞脱屑。以上影像学改变,与文献报道相似[5],也与隐源性机化性肺炎的影像学表现相似[7],即"五多一少"特点:①多态性;②多发性;③多变性(游走性);④多复发性;⑤多双肺受累;⑥蜂窝肺少见。
影像学方面的鉴别诊断如下:①慢性嗜酸粒细胞肺炎:影像学表现为磨玻璃影和肺实变,常为双侧分布,以上肺和周边多见,非肺段分布,呈"肺水肿反向征" ,本例患者无相应表现,可排除。②寻常型间质性肺炎:典型CT表现为基底部和外周,网状影,通常伴有牵拉性支气管和细支气管扩张,蜂窝样改变常见并且是确定诊断的关键,磨玻璃影虽常见但范围少于网状影,可以此鉴别。③特发性肺纤维化:早期表现为斑片状或大片状磨玻璃阴影,多位于双侧中下肺叶的胸膜下。进展期表现为小叶间隔增厚,细网状影及蜂窝阴影,可出现胸膜下不规则索条影、小叶中央型肺气肿、小支气管牵拉性扩张、肺实变等。晚期表现为胸膜下蜂窝状阴影,提示为不可逆改变,本例患者无相应表现,亦不考虑。④血管炎及结缔组织病累及肺部:本病肺部影像改变没有特征性,且不同的结缔组织疾病和血管炎可有类似的肺部影像表现,因而定性诊断不能单纯依靠胸部的影像表现,必须综合临床、实验室检查。
李阳慧(病理科):该病例镜下肺泡结构保留,肺泡间隔未见增宽,肺泡腔内可见大量红染的纤维素球及由纤维母细胞/肌纤维母细胞增生形成的息肉样结节交替分布,无明显的嗜酸粒细胞浸润、未见透明膜形成,考虑急性纤维素性机化性肺炎改变[3]。纤维/肌纤维母细胞增生结节上见黑褐色粉尘样颗粒,偏光镜下观察颗粒呈满天星样,提示为二氧化硅颗粒。综上符合尘肺合并急性纤维素性机化性肺炎。纤维素球形成是急性纤维素性机化性肺炎最主要的组织学特点,但目前仍未对病变组织的比例形成统一的量化诊断标准。此外,由于临床上组织学纤维素球改变并不少见,且常与结缔组织病、肉芽肿、肺部感染等并存,仅根据病理表现直接诊断急性纤维素性机化性肺炎,易导致漏诊。故建议诊断本病需采用大块肺组织标本,且需结合临床及影像学检查进行综合判断[3]。
急性纤维素性机化性肺炎的发生机制尚不明确,目前认为其原因可能与弥漫性肺损伤相似。甚至有学者认为急性纤维素性机化性肺炎与弥漫性肺损伤是同一疾病在不同阶段的表现:急性肺损伤早期表现为弥漫性肺损伤;进展期则表现为急性纤维素性机化性肺炎。故有时二者鉴别困难。
庄锡彬(呼吸与危重症医学科):急性纤维素性机化性肺炎的概念最早由Beasley等[3]于2002年提出,其组织学表现为肺泡腔内广泛纤维素沉积并形成特征性的"均质嗜酸性纤维素球" ,且纤维素球内有不同程度的机化性肺炎表现,故因此得名。在随后的临床过程中,病理工作者们发现该形态并不少见,其可存在于各种类型的肺损伤中,并且常与其它组织学改变并存。因此,临床上是否将其作用独立的疾病,目前仍存在争议[8]。在2003年美国胸科协会/欧洲呼吸学会发布的特发性间质性肺炎最新分类中,急性纤维素性机化性肺炎仅被列为一种罕见的组织学类型[4]。
临床上,急性纤维素性机化性肺炎并没有特异性表现,因此也暂无统一的诊断标准。临床诊断一般根据发热、咳嗽、气喘等症状以及游走性实变影或磨玻璃影等影像学表现[9,10],类似于隐源性机化性肺炎[11,12]。最终诊断需依靠特征性的病理学改变,一般要求开胸肺活检或胸腔镜肺活检获取病理标本,以利于鉴别弥漫性肺泡损伤、隐源性机化性肺炎及嗜酸粒细胞性肺炎。当然,鉴于开胸肺活检或胸腔镜肺活检对患者自身状态要求高,且损伤性大,临床上多倾向于多采用经支气管镜肺活检或CT引导经皮肺穿刺等微创性方法获得标本[9,10]。但是,需密切结合患者病史特点及治疗反应,排除结核、脓肿、肿瘤、结缔组织病等可能[8]。
黄俊玲(呼吸与危重症医学科):急性纤维素性机化性肺炎患者症状、体征、实验室检查及影像学表现均不具有特异性,临床医生对此认识不足,因此存在误诊及漏诊的可能。Beasley等[3]报道患者从出现症状到确诊的时间为19 d,而Gomes等[13]报道的时间延迟长达43.9 d。患者确诊前多误诊为肺部感染性疾病,接受了长时间的广谱抗生素治疗。本例患者就诊我院获得病理学诊断之前已经有反复发热、咳嗽、咳痰、气喘等症状3年,其多次发作的表现类似,该患者的误诊的时间可能长达3年。本例患者获得病理学诊断也具有一定的偶然性。入院时最初按双肺弥漫性病变进行鉴别诊断,排查感染性疾病、结核、肿瘤、血管炎、结缔组织病及肉芽肿等疾病,均未获得阳性结果;给予经验性抗感染治疗无效。选择活检方法时,最初选择支气管镜未能确诊;最终采用CT引导经皮肺穿刺获取病理标本,并辗转请北京协和医院的病理学专家会诊,才明确诊断。而停用抗生素,改用全身激素治疗有效,则进一步支持急性纤维素性机化性肺炎的诊断。
急性纤维素性机化性肺炎仅是一种病理学诊断,临床上需进一步查找原发病因。目前文献报道急性纤维素性机化性肺炎的病因可能包括:结缔组织病、感染、环境及职业暴露、药物、自身免疫性疾病、器官移植及肿瘤等[10]。其中继发性因素为环境与职业暴露仅由Beasley等[3]报道2例,分别为建筑工及煤矿工,尚未见矽尘吸入导致急性纤维素性机化性肺炎的相关报道。本患者为青年磨石工人,具有明确的长期粉尘接触史,为Ⅲ期矽肺患者,首次就诊我院时未脱离粉尘作业环境;给予全身激素治疗好转后,如果再次接触粉尘,则短期内病情易复发;病理学检查提示病灶中大量二氧化硅颗粒;相关检查未发现结缔组织病等可导致急性纤维素性机化性肺炎的继发性因素存在。因此,笔者认为本患者应诊断为矽尘吸入相关急性纤维素性机化性肺炎。
林杰彬(呼吸与危重症医学科):本例患者首次诊断后进行了6年的随访。2013年9月至2016年9月患者先后出现6次类似发作,因临床表现相似,未再进行介入性操作获取病理标本,直接给予全身激素治疗。总体而言,患者对全身激素治疗的反应较好,临床症状改善、复查胸部CT提示新发病灶可部分或全部吸收,故将后6次病情发作诊断为急性纤维素性机化性肺炎复发。而2016年9月至2019年5月间,患者持续全身激素(泼尼松5~15 mg/d)及不规律中药治疗,总体病情相对稳定,未再出现大的发作。这其中有2点值得重视:①随着发作次数的增加,复查胸部CT提示肺部新发病灶的密度进行性增加,激素治疗的效果也逐渐变差,最终在原有部位的基础上出现了巨块型的矽肺结节。②在将近6年的随访过程中,本例患者未出现结缔组织病、肺结核、肺恶性肿瘤等疾病,这在鉴别诊断方面的意义很大。
许小婷(呼吸与危重症医学科):急性纤维素性机化性肺炎目前尚无统一的治疗方案,多数学者参照隐源性机化性肺炎的治疗方案给予全身激素治疗,但具体剂量及疗程未确定。经甲泼尼龙静脉注射及泼尼松口服序贯治疗,大多数患者取得良好的疗效,临床症状及影像学改变明显改善,并可顺利停用全身激素。但亦有报道,少数患者病情反复发作,经过30个月的治疗随访,仍无法完全停药[10]。本例患者在长达6年的随访过程中,亦以全身激素治疗为主。其中前3年因自行中断治疗、合并感染及再次接触矽尘等因素出现了多次病情明显波动,激素治疗方案为与泼尼松(0.75~1.5)mg·kg-1·d-1等效的甲基泼尼松;后3年病情波动相对较小,激素治疗方案为在原有基础上短期加量(泼尼松加量5~10 mg,1次/d),症状可好转。由于部分患者全身激素治疗效果欠佳或无法耐受长期全身激素治疗,文献也有报道采用环磷酰胺、硫唑嘌呤、肿瘤坏死因子*制剂抑**、甚至肺移植的治疗方案,但相对例数较少[14]。
黄鸿波(呼吸与危重症医学科):通过本例患者的病情演变,笔者完整地观察到了1位矽肺患者巨块型矽结节的形成过程。在该患者矽结节的形成过程中,先后出现了7次急性纤维素性机化性肺炎发作,其在矽结节的形成过程中的地位如何?这是笔者最关注的。本例患者发病前曾从事磨石工作10余年,存在高浓度职业矽尘暴露史。工作过程中吸入大量矽尘颗粒,其中大部分经黏液-纤毛系统、咳嗽反射等保护性机制排出体外;但仍然有部分矽尘无法排出,并长期滞留终末气道。病理检查提示肺部病灶中可见大量异物颗粒,这些异物颗粒在偏光显微镜下被证实为二氧化硅颗粒,这充分说明了矽尘在终末气道的存在。正是这些长期滞留在终末气道的矽尘颗粒的存在,导致患者在脱离矽尘暴露后相关肺损害持续存在,进而诱发无菌性肺泡炎,在本例患者临床上就表现为急性纤维素性机化性肺炎发作。虽然激素可以短期缓解患者病情,但效果逐渐变差,最终还是无法逆转病情、无法阻止巨块型矽结节的形成。笔者认为这与矽尘的持续存在有关:激素只能短期抑制矽尘导致的无菌性炎症,并不能清除矽尘,也就无法阻止矽结节的形成;而反复发作的急性纤维素性机化性肺炎则是患者矽尘导致肺损伤的集中表现,提示矽肺病情进展。在临床过程中,笔者又先后诊断了100余例类似的矽肺患者[15]。这些患者与本例患者的临床症状、实验室检查、影像学表现及对激素治疗的反应相似;不同的是这些患者病理学表现为细支气管及肺泡腔内仅见纤维母细胞增生性栓子。因此,我们将其诊断为矽肺合并机化性肺炎。
我们认为,不管是急性纤维素性机化性肺炎,还是机化性肺炎,都是矽尘引发的急性损伤,进而导致无菌性肺泡炎的集中表现。其病理生理机制未明,可能与如下因素有关[15]:①劳动工具的改变:21世纪以来大量电动工具的应用,劳动产生的粉尘颗粒更细、更多,相应进入终末气道的矽尘负荷量更大。②矽尘造成的损伤除了物理因素外,其中的活性硅或其他成分还会产生化学性损伤。③矽尘导致的理化性损伤,可激发包括肿瘤坏死因子、白细胞介素在内的细胞因子网络异常。④粉尘颗粒的大小、形状及化学成份可能也参与其病理生理机制。⑤细胞因子网络异常的程度可能还与遗传因素有关。
结合以上因素,我们认为在部分矽肺患者矽结节形成前可能存在一个肺损伤的阶段。在这一阶段中,患者的活检病理可表现为急性纤维素性机化性肺炎或机化性肺炎,激素治疗部分有效,存在一定的可逆性,或有可能成为矽肺早期治疗的新靶点。在降低机体的矽尘负荷的基础上,联合抗炎及抗纤维化治疗,以期避免矽结节的大量形成以及肺功能的严重损害。
庄锡彬(呼吸与危重症医学科):尽管我们发现部分矽肺患者存在易发急性纤维素性机化性肺炎或机化性肺炎的现象,但是对于矽肺合并急性纤维素性机化性肺炎或机化性肺炎的诊断仍需非常慎重。长期大量使用全身激素可导致矽肺患者肺结核及复杂呼吸道感染的风险增加,相应地治疗也更加困难。临床上,如果矽肺患者出现如下表现,需警惕合并急性纤维素性机化性肺炎或机化性肺炎的可能:①亚急性或急性起病;②高热,但发热前无明显畏冷及寒战;③痰呈非脓性表现;④多次病原学检查阴性;⑤常规抗菌治疗无效,而对激素治疗敏感;⑥胸部CT提示游走性病灶,且易复发。并可采用经支气管镜肺活检、经皮肺穿刺、外科胸腔镜辅助肺活检等方法,取得病理证据。同时病理科医师也需提高对本病的认识,减少漏诊及误诊。
参考文献(略)