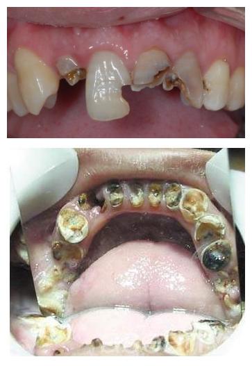
小时候经常吃零食,拿可乐当水喝,也不重视牙齿....后来牙齿烂到根本停不下来,一口腐烂的牙齿简直不忍直视,还伴随着口臭、牙疼.....
看到这口烂牙,是不是吓到各位宝宝了!~

牙齿为何会“烂”呢?
烂牙也就是我们常说的虫牙、蛀牙、龋齿。很多口腔疾病,比如蛀牙、牙结石、牙龈炎、牙周炎等症状的罪魁祸首都是由这个“斑”引起的,这个“斑”就是牙菌斑啦,可千万不看它哦。
我们的口腔中有无数的细菌,牙菌斑是口腔里的细菌们为了生存分泌出来的物质,是细菌的温室,如果不及时清除,这些细菌就会在我们的牙齿上大兴土木,你就等着自己的牙齿被牙菌斑攻陷吧~

怎么去“斑”?
最直接有效的方法就是刷牙,一定要认真刷,每天早晚都要刷,对于牙缝间很难清洁到的地方可用牙线,正确的刷牙+使用牙线,可以去除大约90%的菌斑。
用漱口液也可减少牙菌斑的形成,对减少龋病和牙周疾病的发生起一定作用,但也不能滥用。或者你也可以选择去洗牙。
烂牙怎么治疗?
对于正在发展中的“烂”牙,该如何是好呢?

治疗烂牙最主要的方法就是补牙,就是将“烂”的部分去除净、做成一定的洞形、消毒以后、用充填材料填充、并恢复牙齿缺损的外形。
当牙齿已经烂的很严重,对冷热酸甜等食物刺激敏感,当损伤到达牙髓,引起牙髓炎,此时牙痛会十分严重,一般需要根管治疗,将被感染的死髓进行清除,根管治疗的技术现在也已经比较成熟了,对牙齿保留起到非常好的作用。一般根管治疗后,最好做个牙套保护起来。
对于那些已没有任何保留价值、并且还会经常发炎、疼痛的烂牙就狠心拔掉吧,如果是对咀嚼影响较大的牙齿、拔除后必须重新镶牙。
所以呢,对于烂牙,我们该补的补,该治疗的治疗,不要拖,而且一定要选择专业的口腔医生的医院哦,最后,一定要注意口腔卫生哦。
如果你有口腔方面的困扰,可添加微信(xiaoleer303)与专家一对一进行沟通。