不久前,一位抗病毒治疗10年的慢性乙肝患者,又来复诊了一次。
结果显示:谷丙转氨酶正常、HBVDNA低于检测下限(参考值为<20);谷氨酰转肽酶升高高,脂肪肝。
他吃的是博路定的恩替卡韦,进口原研的,中途想过换国产便宜的。考虑他本人经济条件可以,建议不换为好。
10年前,他初次就诊的时候,36岁,已经发现乙肝几年了,谷丙转氨酶反复升高。
那时患者总觉得人特别累、腹胀、食欲不振。住院过程中,发现腹水:按照肝病的理论,出现腹水的慢性肝病,结合B超检查,考虑肝硬化失代偿期。
……

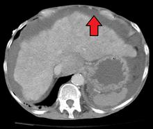
肝硬化腹水
患者近几年的B超都没有提示肝硬化:可以初步认为,他的“肝硬化”逆转了。
这可能是一个特例,也或许当时的诊断不太严谨,不一定是失代偿期,但至少当时不是在普通的慢性乙肝阶段,肝硬化肯定是有的。
逆转肝硬化,这个话题可能有些哗众取宠,而肝纤维化是完全可能的。

肝脏硬度值的评分与肝纤维化程度
今天,龙大夫就来谈谈肝纤维化的治疗和逆转这个话题。
01 什么是肝纤维化?
肝纤维化是肝脏对反复的慢性炎症所作出的一种修复反应,其病理基础是,肝细胞周围结缔组织过度沉积,包裹受损伤区域所形成的一种瘢痕。
这种“瘢痕”最早发生的炎症操作最严重的区域,尤其在酒精性肝炎和慢性乙肝、丙肝等肝病中更容易发生。
在对炎症的修复过程中,不断会有新再生的肝细胞,来取代、修复受损的肝脏。而同时可能伴有的肝纤维化,如果进一步发展,可能会破坏肝脏结构。
肝脏结构的广泛破坏,就是肝纤维化进一步发展的最终结果,也叫肝硬化。
从肝纤维化,演变到肝硬化的病程,通常需要比较长的时候。其间,患者肝脏往往遭遇是反复的炎症损害,其中,能反映这种损害的检查结果,最敏感的就是谷丙转氨酶升高。

肝硬化腹水的B超影像表现
肝纤维化转为肝硬化,至少要超过六个月的时间,或者说,六个月的时间,已经足够使肝脏发生肝硬化了,如果不积极治疗的话。
02 肝纤维化是可逆的
但是,在一些先天性胆道闭锁、肝移植后继发乙型和丙型肝炎、暴发性肝衰竭等患者,肝硬化的进程可能会更加迅速。
所以,历来很多肝病专家都强调,治疗肝硬化和肝纤维化的重要性。比如, 国际肝病学术权威Hans Popper教授就曾经说过:“谁能阻止肝纤维化,谁就能治愈大多数肝病”。
肝纤维化是肝硬化的前期表现,是肝脏受损后,机体在修复过程中纤维组织在肝组织中过度沉积,引起的一种可逆的病理现象。

03 肝纤维化不是一种疾病
肝纤维化的形成和发展,是一个多因素相互促进、相互制约的过程。
其实质是由于胶原和肝细胞外基质的合成与降解失衡。
肝星状细胞是肝细胞外基质最主要的来源,而各种细胞因子参与肝星状细胞的激活和控制,最后导致肝脏内纤维结缔组织增生致肝纤维化,进而发展为肝硬化。
这个不好理解。
想象一下:皮肤受伤后,在愈合的过程中,如果表皮生长过去了,是不是疤痕就小了;如果伤口之间的肉芽多了,是不是就很容易看到明显的疤痕?

04 肝硬化治疗理念的进展
随着有关病因和对症治疗的发展,研究进一步提示,肝纤维化是可逆的,而肝硬化是不可逆的或只是部分可逆的。
2006年,美国著名肝纤维化专家Friedman教授提出,以“逆转进展(regression)”代替“逆转(reversion)”。
其理由是:逆转一词过于肯定,具有“回复”和“恢复”的含义,而逆转进展的说法较为委婉,旨在表达有一定限度的改善或稳定,即只要肝纤维化的程度较前减轻,就达到了很好的郊果,而不必对逆转的幅度量化,或要求组织学完全恢复到正常。
观念的改变,在一定程度上,能缓解肝硬化患者的巨大的心理压力。
相应地,肝纤维化和肝硬化的治疗目标,是起码达到肝纤维化稳定或肝损伤长期不再进展。

抗纤维化的治疗的目的,就是减轻纤维化的程度、延缓其发展,乃至逆转其病理进程。
05 抗纤维化的综合治疗
- 针对病因,治疗原发病
如抗病毒治疗、治疗血吸虫病、防治酒精中毒、控制体重、血色病的去铁治疗、肝豆状核变性的去铜治疗、停用有肝毒性的药物,等等。
- 对抗肝纤维化发生、发展的治疗
如抗炎、保护肝细胞膜、对抗纤维化等治疗措施。
- 已发展至肝硬化,则需对其并发症进行防治
包括腹水的抽取和抗感染治疗、针对上消化道出血的预防和治疗措施、脾切除或介入治疗、肝性脑病的治疗等等。
- 对症及恢复肝功能的治疗
如治疗其他基础疾病、降酶治疗、退黄治疗等等。

06 抗纤维化的药物
目前,针对肝纤维化的治疗还没有突破性的进展,处在研究阶段。
- 肾上腺皮质激素
肾上腺皮质激素常被用做各种肝病时的抗炎药物,目前在自身免疫性肝炎和重症酒精性肝炎两类慢性肝病的纤维化治疗中证实有效,能缓解炎症并改善肝脏组织病理学。
不过,对肝纤维化形成的不完全抑制和长期使用后的不良反应,限制了其使用。
- 咖啡因
流行病学证据显示,咖啡因对慢性肝病患者的肝纤维化有保护作用,考虑可能和其能阻断腺苷受体,并进而限制了纤维化有关。
- 秋水仙碱
是一种植物碱类的抗炎症药物,其机制是通过抑制胶原分泌过程中的微管聚合达到抑制纤维化的目的,在对原发性胆汁性肝硬化的临床试验中,能改善肝纤维化相关的实验室检查值,增加肝硬化患者的整体生存率。
- 水飞蓟素
是植物乳蓟的活性成分,有抗脂质过氧化和纤维形成的作用。很多临床研究均证实其使用是安全的,但是对抗纤维化的结果却不太一致。
- 熊去氧胆酸
可以通过稳定细胞膜的细胞保护作用,减轻炎症和纤维形成,对原发性胆汁性肝硬化有效,但人体试验尚不确定有抗纤维化作用,只是在动物实验中证实有一定的效果,值得期待。
- 干扰素
具有较强的抑制肝星状细胞活化,从而抑制细胞外基质产生的作用;还能通过活化胶原酶促进1和3型胶原降解,被认为是较有前途的抗肝纤维药物之一。
- 多烯磷脂酰胆碱
能对肝脏炎症和纤维形成中的氧化应激过程,进行有效的抗氧化作用。

引起肝病的多种因素
【参考文献】
1.Schuppan D , Afdhal N H . Liver cirrhosis[J]. Lancet, 2008, 371(9615):838-851.
2.Abdi F , Daryani N E , Khorvash F , et al. Experiences of Individuals With Liver Cirrhosis: A Qualitative Study.[J]. Gastroenterology Nursing, 2015, 38(4):252-257.
3.Lee S , Divens L , Fowler L H . The Role of Liver Function in the Setting of Cirrhosis with Chronic Infection and Critical Illness[J]. Critical Care Nursing Clinics of North America, 2017, 29(1):37-50.

我是热爱科普的龙大夫,如果这篇文章对您有用,欢迎点赞、评论、转发、赞赏!
更多精彩科普,将不定期呈现,敬请关注!
#健康真相馆# #清风计划# #科学有意思#