Bosniak CT分级
-肾脏囊性病变CT分级
Ⅰ级为单纯囊肿
Ⅱ级为有少许并发症的囊肿,属良性
-
囊壁含细小钙化
-
高密度囊肿
-
具有少量薄壁分隔
-
ⅡF(Ⅱ级需随诊),壁轻度厚薄不均,或钙化形态不规则等
以上除ⅡF之外,均不需做任何处理, ⅡF建议随诊三次(3月,6月及1年)

Bosniak Ⅱ级
Ⅲ级为较多合并症的囊性病变
-
较多厚壁分隔
-
囊壁厚
-
明显且不规则钙化
-
多房性病变,包括多房囊性肾瘤
部分为良性,部分为恶性,提倡手术探查或切除.CT诊断良恶性存在困难,影像学表现良性特征较多时,则主张肾脏部分切除

Bosniak Ⅲ级
Ⅳ级为囊性癌,具有明显恶性特征
-
密度不均
-
有明显实性成分,如壁结节
-
强化成分(良性病变亦可强化,但程度较轻)
-
提倡手术切除,标准肾癌根治术
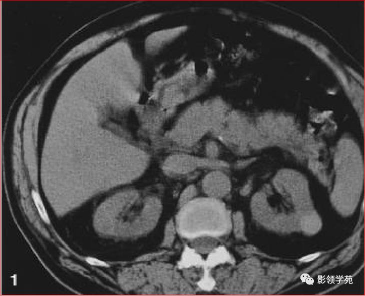
1、单纯性肾囊肿
-
位于肾皮质内的良性囊性病变。
-
常多发,大小不一。
-
呈圆形,壁菲薄光整,内衬扁平上皮,含清亮浆液。
-
囊肿可位于肾内或突出于肾轮廓外。
-
增强扫描无强化。


2、复杂性肾囊肿(Complicated cysts)
肾囊肿内含有血液、脓液、间隔或钙化
-
出血性囊肿。
-
感染性囊肿。
-
钙化性囊肿。
-
分隔(不完全)囊肿。









3、肾盂源性囊肿(肾盏憩室)
-
肾内囊性占位,和肾盂肾盏相通。
-
增强后造影剂进入囊肿。
-
囊肿内结石发病率高。
-
肾盂源性囊肿较大,偏中央。
-
肾盏憩室较小,偏周围。


4、多房囊性肾瘤multilocular cystic nephroma
-
非遗传性的囊性病变。
-
囊壁内衬立方或扁平上皮。
-
多房囊腔间互不交通,伴完整的纤维分隔。
-
恶性者即多房囊性肾癌。







5、肾盂旁囊肿(肾窦囊肿)
观点1:是一种含清亮尿液的尿囊肿或淋巴液体的假性囊肿,不与集合系统相通。呈圆形,位于肾窦旁,可单发,也可双侧多发。增强扫描无强化。
观点2:纯属解剖概念,大部分仍为单纯性肾囊肿。



6、常染色体显(隐)性多囊肾
-
为遗传性肾发育异常。
-
显性者囊肿随年令逐渐增多增大,正常肾组织逐渐减少,患者常在40-50岁左右出现肾功能衰竭。
-
(隐性者多见于婴幼儿,偶见于青少年,此型常合并先天性肝纤维化,预后差。)




7、髓质海绵肾(Medullary Sponge Kidney )
-
非遗传性的以肾集合管囊状扩张为特征的肾髓质发育异常。
-
常见于40-50岁患者,女多于男。
-
可无症状,易合并炎症和结石。临床上可出现肾绞痛,间隙性血尿和脓尿。




8、髓质囊肿病(Medullary cystic disease)
以肾髓质集合管扩张为主要特点,为肾髓质集合管的多发囊状扩张。临床症状重,预后差。临床上可分为3型:
(1)儿童型, 属常染色体隐性遗传。
(2)成年型, 属常染色体显性遗传。
(3)遗传性肾及视网膜发育不良,属常染色体隐性遗传,青少年期发病。

9、Von Hippel –Lindau病
-
本病和结节硬化症同属常染色体显性遗传性疾病所致的皮神经综合症,为多系统病变。
-
本病患者肾囊肿、肾腺瘤和肾腺癌的发病率很高,倾向于双侧和多中心。

10、结节硬化症(Tuberous Sclerosis)
-
是一种皮神经综合症,属常染色体显性遗传性病变。
-
本病肾囊肿和错构瘤的发病率极高。错构瘤的发生率约80%。病灶常随患者的年龄增大而增大。

11、继发性囊肿
在大约50%接受长期血液透析或慢性肾衰患者中会形成多发性肾囊肿。易并发肾细胞癌,和普通人群相比,可高达50倍,男性多见。

12、肾癌囊变和多房囊性肾癌
-
肾癌部分囊变易鉴别,少数需和感染性囊肿鉴别。
-
完全囊变常和肾囊肿混淆,少数不能鉴别。
-
多房囊性肾癌有完整分隔



肾钙乳:
肾钙乳也叫肾石钙乳——含钙的混悬液存于肾内,主要由许多钙化的微粒组成,化学成分为碳酸钙、磷酸钙和草酸钙,男性多于女性,常在45岁以上。
临床以尿路感染、结石或肾积水的症状或体症。
分型:
囊肿型——钙乳位于囊肿内
肾积水型——钙乳存在于积水中,常有输尿管肾盂梗阻和积水
X线表现:
含钙的混悬液随体位改变的变化;典型征象:“盘中盛果”
静脉尿路造影:造影剂大多不能进入钙乳内;积水型偶可进入使密度增高;
追踪:
肾钙乳可以由少增多,但长期不变,既不能自行排除也不能凝结成结石;
该病不需要CT检查
鉴别诊断:
主要与结石鉴别
1、钙乳边缘不如结石锐利
2、钙乳可见“麻饼”症
3、 典型征象:“盘中盛果”
常山真人补充:
-
肾钙乳是肾结石的一种少见类型。1948年Holm首次报道了肾钙乳的表现。1959年Howell将其命名为肾钙乳(milkofcalcium)以来,病例报告逐渐增多。文献将肾钙乳分为两种类型,即囊肿型和积水型。囊肿型发生于肾盏憩室或肾囊肿内;积水型系钙乳发生于积水的肾盏内,并合并肾盂结石,钙乳存在于中、下组肾盏。肾盂肾盏憩室是肾实质内的囊性病变,通过一狭小的通道与收集系统相通。有人认为此通道是继发于输尿管芽退化不全的Wolfffian管残留,也可能为感染或小结石通过的结果。这些憩室常常含有钙乳。
-
肾钙乳形成机理尚未完全明了。因其成分与上尿路结石一致,故多认为积水型肾钙乳的形成与低度炎症和梗阻有关。炎症和梗阻可使肾单位分泌和重吸收发生障碍,肾盏内长期潴留的尿液逐渐浓缩,使含钙、磷盐晶体物质呈饱和状态而沉淀下来,形成钙乳颗粒。囊肿型肾钙乳多位于肾盏憩室内,由于连接肾盏的峡部阻塞使尿液潴留,从而使钙乳形成。结石形成因素和抑制结石形成因素之间的平衡一直被认为是胶状钙质悬浮形成的主要原因之一,特别是钙乳囊肿。
-
卧位腹部平片有“芝麻饼征”,“盘中盛果征”或“半月征”;“芝麻饼征”。并肾盂铸形结石。诊断肾钙乳。分为囊肿型,肾积水型囊肿型患者可随诊观察。
-
对肾积水型患者,以往认为可选用肾盂、输尿管切开取石,肾造瘘,肾盂成形,肾切除术或ESWL。积水型肾钙乳,由于其成因和重力学作用,钙乳多集中于中、下组肾盏。我们认为,除上述选择外,对钙乳主要集中于下组肾盏的患肾,多可采用肾部分切除术,切除下组肾盏。这不仅能完全取净结石,清除钙乳,又能消除其复发的基础。避免了患肾切除,保存了部分肾功能,对病人较为有利。
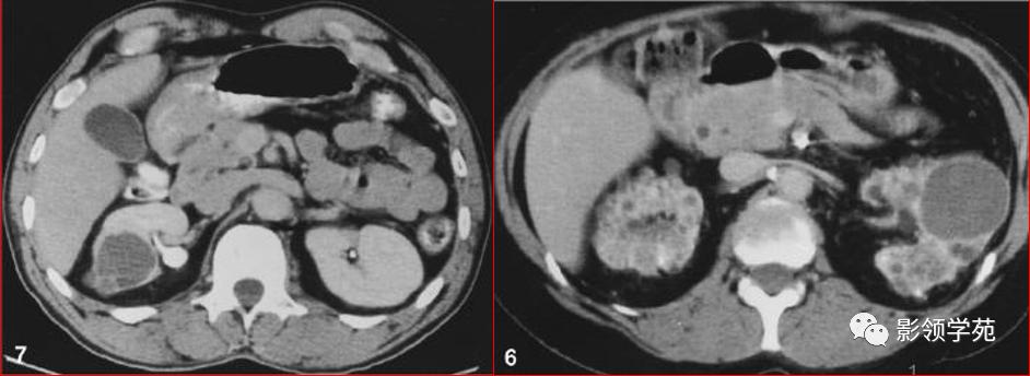
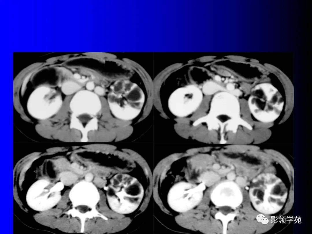
囊性肾癌——
1、囊性肾癌的临床及病理
好发于中老年人,约占肾癌的2%~15%。病理组织学可将囊性肾癌分为4种类型:
①单房囊肿性囊性肾癌
②多房囊肿性囊性肾癌
③肾癌囊性坏死
④单纯性肾囊肿恶变。
由于囊性肾癌与单纯性肾囊肿在术前难以作出可靠的鉴别,误诊率相当高。因此提高囊性肾癌的术前诊断率是临床医生的迫切要求。
2、囊性肾癌与肾癌囊变是两个不同的概念
前者是以囊性方式生长为主的肿瘤,后者是实体癌的广泛出血、坏死囊变而成。据Hartman等(1986)统计,囊性肾癌占肾癌总数的10%~15%。囊性肾癌的发病机制总体上还不很清楚,但认为可能是
(1)肿瘤出血,坏死,囊变;
(2)囊肿壁发生肿瘤;
(3)肿瘤阻塞肾小管形成囊肿并将肿瘤包绕于囊内;
(4)囊肿起源于近曲小管上皮细胞,部分以囊性方式生长,囊壁和囊间隔覆盖一层或多层肿瘤上皮细胞,呈乳头状在囊壁或向囊内生长。确切的机制还有待进一步研究。
3、囊性肾癌的CT表现
囊性肾癌的CT表现各异,根据本组影像结果显示,囊性肾癌主要有以下CT表现:
(1)平扫囊内平均CT值较单纯囊肿偏高,约15~20 HU,而单纯囊肿CT值 一般为10 HU以下。
(2)囊壁连续性中断,向邻近肾实质浸润低密度影。
(3)囊壁厚薄不均,有向囊内或囊外凸出的壁结节,可明显强化。
(4)部分囊壁模糊。
(5)平扫囊内密度不均者,增强扫描囊内可出现不均匀强化,CT值可达35 HU左右。
(6)冠状位后重建图像显示为不规则形囊性肿块。
(7)囊壁弥漫弧形钙化,良性单纯囊肿很少见,是否为囊性肾癌的典型征象尚有待商榷。
4、囊性肾癌的B超表现
-
B超上可见囊性肾癌为边界较规则的球状体。一般将肾癌分为三种形态,囊肿型,分隔型和结节型。
-
分隔型和结节型在B超上可见到不规则的分隔,呈高回声。
-
囊肿型在B超上可见一个或多个囊肿样液性暗区,与单纯性肾囊肿无法区别。
-
多普勒B超是区别单纯性肾囊肿与囊性肾癌的重要手段。
-
囊性肾癌可见较为明显的血流,血流呈抱球状或条状血流。
-
分隔型和结节型可见血流位于分隔区。而单纯性肾囊肿无此表现。这是鉴别两者的最重要的要点。
-
当单纯性肾囊肿出现囊肿内出血、钙化时,两者区别不明显,此时,多普勒B超上由于钙化等无血流表现可资区别。
5、囊性肾癌的诊断
-
由于囊性肾癌与单纯肾囊肿不易鉴别,因此,囊性肾癌常常被误诊为单纯肾囊肿。随着各种新技术的出现,虽然囊性肾癌的诊断率有所提高,但仍然不尽如人意。
-
CT和B超是目前常用的检查方法。综合运用各种影像学方法,可以提高诊断率。
-
CT上可见单发或多发的肾囊肿,以单发的囊肿多见。单纯肾囊肿表现为囊肿壁光滑,增强扫描无强化。囊肿内容物呈水样密度。与单纯肾囊肿不同,由于肿瘤内部有出血,囊肿内可见不均匀的内容物,似呈棉絮状。囊肿壁不均,平扫时囊壁的密度为30~50Hu左右,增强后为50~90Hu。厚囊肿壁(大于1mm),且附着处存有实质性成分的CT征象提示肿瘤。由于单纯性肾囊肿可以恶变,因此,当囊肿壁突然增大,囊肿出现内容物时,要高度怀疑囊性肾癌。CT特别是薄层增强扫描是早期诊断囊性肾癌的可靠方法。
来源:影领学苑
【版权声明】本平台属公益学习平台,转载系出于传递更多学习信息之目的,且已标明作者和出处,如不希望被传播的老师可与我们联系删除