痛风在很大的程度上面,有一点像大脚骨,由于第一跖趾关节痛风石的沉积,表现出来第一跖趾关节凸起很明显,在静止期的时候就有一点像大脚骨,但是痛风和大脚骨呢,又有着本质的区别。
矫正拇外翻,恢复前足正常结构结构和生理功能。大家好!我是专门做大脚骨拇外翻手术的李医生。欢迎来到我的频道,继续跟大家分享我的大脚骨手术案例,和拇外翻科普相关知识。#拇外翻#

痛风多发生在男性,当然女性也有,男性呢由于体胖者居多。痛风是因为体内的嘌呤代谢异常,出现尿酸的结晶,沉积在全身各处的一种内分泌的疾病,痛风石很容易沉积在第一跖趾关节,当痛风发作的时候,会伴有全身发热的症状,局部发烧全身发烧,局部剧烈疼痛,有些这种疼痛就非常典型非常严重;
但拇外翻呢,也会有在第一只指关节的凸起,以及伴随有脚拇趾偏斜这样的症状,外在症状是这样。我们可以通过拍片看到:痛风石的患者有第一跖趾关节,或者合并其他多部位的痛风石的结晶,痛风的患者还可以出现尿酸的增高,实验室检查出来,尿酸的高也是一个重要的指针;#痛风#

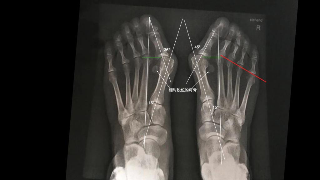
而拇外翻呢,是呈现为以第一跖趾关节变形为主的一种畸形,它是表现为拇外翻角度的增加,主要的是第一二跖骨间的夹角增大,以及第1跖列内收内翻这样的,症状为主的一个疾病一个畸形。踇外翻多见于女性,男性也有相对更加少见。
当然拇外翻不会说疼痛的时候伴发烧,踇外翻踇囊炎导致的疼痛多是轻微的,局部的疼痛不剧烈,在改善穿鞋以后,拇外翻局部的疼痛多会得以缓解。

好,这个就是踇外翻和痛风两者之间的区别,不知道大家有没有弄明白,身边有没有看到有一些痛风的患者,或者说有看到一些踇外翻的朋友们呢,如果有,请把这个视频转发给到他,让他们也明白,两者之间有一些什么样的区别,对于单纯第一跖趾关节局部。
痛风是典型的,除外全身性的治疗,我们也可以通过手术取出局部痛风石结晶的办法,减少结晶对局部的刺激症状,拇外翻主要以第一跖列的截骨为主,矫正偏斜的第一跖列的骨头,来达成有效矫正拇外翻的效果。
今天关于痛风和拇外翻两者之间的异同点,我就给大家分享到这里,觉得我的内容有用呢,请帮我长按点赞,谢谢!身边如果有大脚骨拇外翻朋友,请把我的名片和我的内容转发给到他。更多大脚骨拇外翻相关的疑问,在下方评论留言,或者给我发私信,新朋友请加个关注,我们下一期再见。