
作者:Nam
我知道,只要说起马臀皮这种皮革,离地的价格确实是最容易被吐槽的地方,不过这也无可厚非,毕竟有着「皮革中的钻石」这么响亮的名号,价格自然也就不会与便宜二字扯上关系,但,马臀皮的闪光点也不只有那串数字啦。

在写这篇文章之前,Nam 我也只是个马臀皮“初哥”(初学者),只知道它是马匹臀部上某个特定位置的皮革,仅此而已。随着深入了解,发现马臀皮这个概念,挺“反转”的。
相信大家也有听说过马臀皮 (又称 Cordovan 或 Shell Cordovan) 只占马屁股的八分之一等等的解释,Nam 我也就不跟大家唠叨啦,但话又说回来,你又是否知道 Cordovan并不是马匹表层的皮料呢?

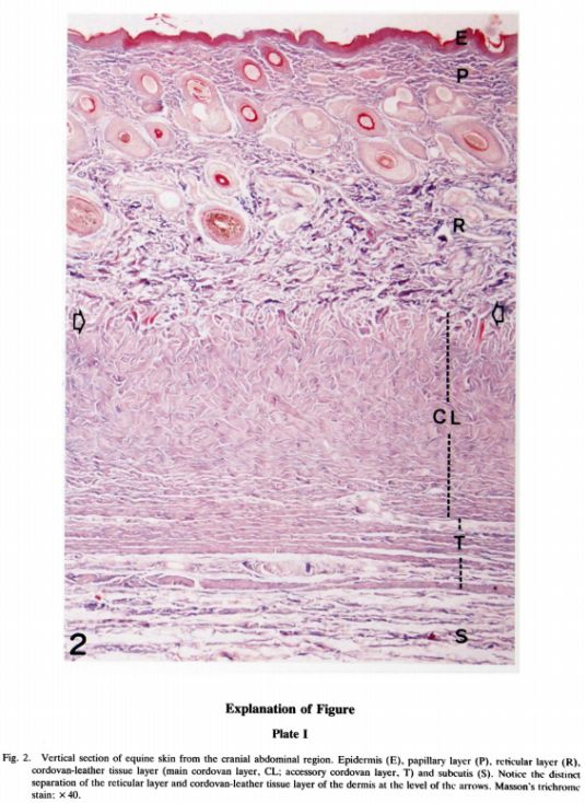
说出来你可以会有少许惊讶,Cordovan 确实并不是通俗理解的表层皮肤,而是来自马匹臀部皮下的一层肌理,而展现在我们眼前的 Cordovan,是这层肌理的反面,也就是肌理底下的那一面,是不是有点反转的感觉?

CL 那一层就是
Cordovan 之处。

基于处理 Cordovan 的工序之繁琐,时间之长,成本之高,马匹数量之有限这样的思路,在世界上能做得好 Cordovan 的制造商相信也不会多。其实,如果你有留意我们的美国制专栏,当中就提及过一个马臀皮界的“扛把子”,Horween。

在 Cordovan 这个领域,Horween 是公认做得最好的之一(也许没有之一)。Nam 我不是要盲吹什么的,只是在查资料时看到玩家们说起 Cordovan 时,第一个提到的是 Horween。还有知道如 Alden、Crocket & Jones、Alfred Sargent 等大皮鞋品牌的 Cordovan 都由 Horween 提供时,你很难不承认它的业务水平是数一数二的程度。

而 Horween 的 Cordovan 到底厉害在哪里呢?在从马皮上切下贝壳状(Shell Cordovan 名字的由来)的原皮后,需要经过特殊的化学处理才可放入用树皮树脂等植物元素特制的鞣制溶液中,并不断搅拌,鞣制一个月左右的时间才能拿出来。

在经历了鞣制后,要在合适的环境下放置一段时间,才可进行后来的切割、抛光、上油等操作。这顿操作下来,至少需要六个月的时间,所以价格贵也不是没道理的。

就拿这双 Crocket & Jones Harvard 鞋款来说,由其经典的乐福鞋改良,加上 Horween Cordovan 的演绎,鞋款的质感表露无疑,高级高级。

好的,看到这里,我们基本了解 Horween 是个大佬,但世界之大,怎么可能会让 Horween Cordovan 一家独大。在日本,就有一家叫 Shinki Hikaku Co.(新喜)的皮革制造商能与 Horween 比一比,说它是日本地区 Cordovan 的 “揸 fit 人”(话事人)也不为过。

创立于 1951 年的 Shinki Hikaku Co. 是一家专做马皮革的制造商,从欧洲购入的马皮原料,用盐腌的方式漂洋过海运到日本。将清洗切割好的 Cordovan,与不同浓度的鞣剂一起放入坑中,鞣剂能够渗入纤维之间,达到鞣制效果,这是将易腐皮革转变为耐久皮革的必要过程。加上后期剪裁、晾干、自然老化等工序,Shinki Hikaku Co. 的生产时长要比 Horween 还久四个月。

而 Shinki Hikaku Co. 与一个名为 The Warmthcrafts-Manufacture 的日本品牌合作密切,用 Shinki Hikaku Co. 的 Cordovan 生产诸如钱包、箱包、配件等物品。值得一提的是,该品牌专注于日本生产的 Cordovan 产物,有兴趣的大兄弟不妨深入探索一下噢。

日本人与工艺的组合,真的心生敬畏。而有趣的是,日本有一家叫做 Radel Ogawa (小川)的神秘厂家,据说它的 Cordovan 是从 Horween 进货,但名声却是仅次于 Shinki Hikaku Co. 的存在。无奈在网上找不到太多资料,所以望懂行的老司机留言指教下啦。

讲道理,像 Cordovan 这么需要工艺支撑的东西,怎么可能少了英国人的份?特别是像皮革面料这种,就更不可能少了它的一席之地,像 Clayton Leather Group 家的马臀皮也是不错的。作为英国数一数二的皮革集团,旗下有不少历史悠久工艺精湛的皮革制造商的,人多力量大嘛。

相比前文提及的大佬们,要稍显逊色些,但是选材、鞣制等工序也不会落下。感觉上走的是低调路线,担任优质皮革制品的幕后工作者的角色,作风还是相当“英国”的。

Clayton Leather Group 的表带还是可以滴,颜色、质感均到位,如果想换下表带的风格,Cordovan 表带帮到你啦。

正当我们专注于美、英、日 Cordovan 厂家时候,似乎忽略了那个文化结晶累累的意大利。意大利的工艺顶级,已经不是什么秘密了,而 Rocado srl 这家马臀皮制造商只是其中的一个缩影。

只做马皮的 Rocado srl 对 Cordovan 情有独钟,Rocado srl 在托斯卡纳这么有情调的地方,生产着 Cordovan,想想都惬意。

韩国手作品牌 Arte di mano 就看到了 Rocado srl Cordovan 的优点,用其制作钢笔袋这样的小物,对品质的追求从“小”开始。BTW,Arte di mano 似乎很喜欢做皮革相机袋,或许可以成为摄影大佬们的新欢?

文章写下来,Nam 最大的感觉是,其实 Cordovan 的贵除了表面的价格外,我觉得更多的是贵在数量的稀少,工艺的严谨,跟人们对皮革质感的追求。能把马皮之下的肌理做皮革,已经是一种极致的追求。

而 Cordovan 的受众一直都不太广,但有一说一,你单买皮革的话价钱还是可以接受的,Nam 在查资料的时候就看到有不少皮革爱好者直接把皮革买回来,然后自己动手做一些实用的小物件,在享受了 Cordovan 的独有质感之余还能培养自己的动手能力,何乐而不为呢?

虽然马臀皮的价格是一个很现实的问题,但我觉得它除了是一种皮革外,更多的是一种能提升品质认知和工艺了解的有力推手。所以,Nam 还是题目那句话,只是希望大家对马臀皮的印象不要停留在“它很贵”上啦。
