在生活中
孩子受伤是难免的
很多时候家长都认为不严重
没有到医院进行救治
但如果处理不当
极易耽误最佳就诊时间
……
近日,6岁的萱萱(化名)在家玩耍时不小心扭到了膝盖。看到孩子能下地行走,本来担心的萱萱爸妈放下心来,没有及时就医。
随后的几天中,萱萱一直说膝盖疼痛,膝关节也一直肿胀。于是,萱萱爸爸便带着女儿到青岛妇儿医院小儿骨科就诊。
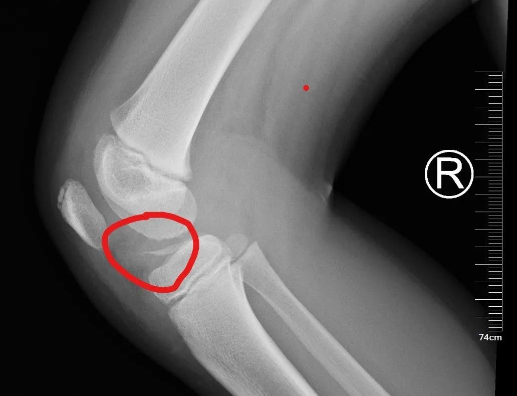
经过检查,接诊小儿骨科专家诊断患儿胫骨髁间嵴骨折!

胫骨髁间嵴骨折 好发于8-14岁的儿童,多为膝关节过伸损伤,如运动伤、摔伤,也可见于摩托车与自行车交通事故伤,大多数患儿负重行走困难。当发生胫骨髁间嵴骨折,膝关节会突然肿胀、疼痛,不能伸直和行走,应引起家长们的警惕。
此类骨折通常需手术治疗,否则极易造成膝关节不稳,甚至对患儿以后健康活动、运动生涯等会造成阻碍。
小儿骨科专家建议住院手术治疗,萱萱被收入小儿骨科病房。手术中,在关节镜辅助下,骨科团队顺利完成手术。手术切口仅0.5厘米。创伤少、恢复快、关节功能恢复好。术后,萱萱恢复很快,已经治愈出院。
青岛妇儿医院小儿骨科专家建议:为预防小儿骨折的发生,广大家长应平时多给孩子普及安全知识。家长平时可督促孩子适当锻炼,并引导孩子不偏食,均衡饮食,避免肥胖。一旦发现患儿外伤后膝关节出现肿胀、疼痛、活动受限的症状,请及时就诊。