点击右上角立即关注,更多健康内容不再错过,不定期惊喜送给你
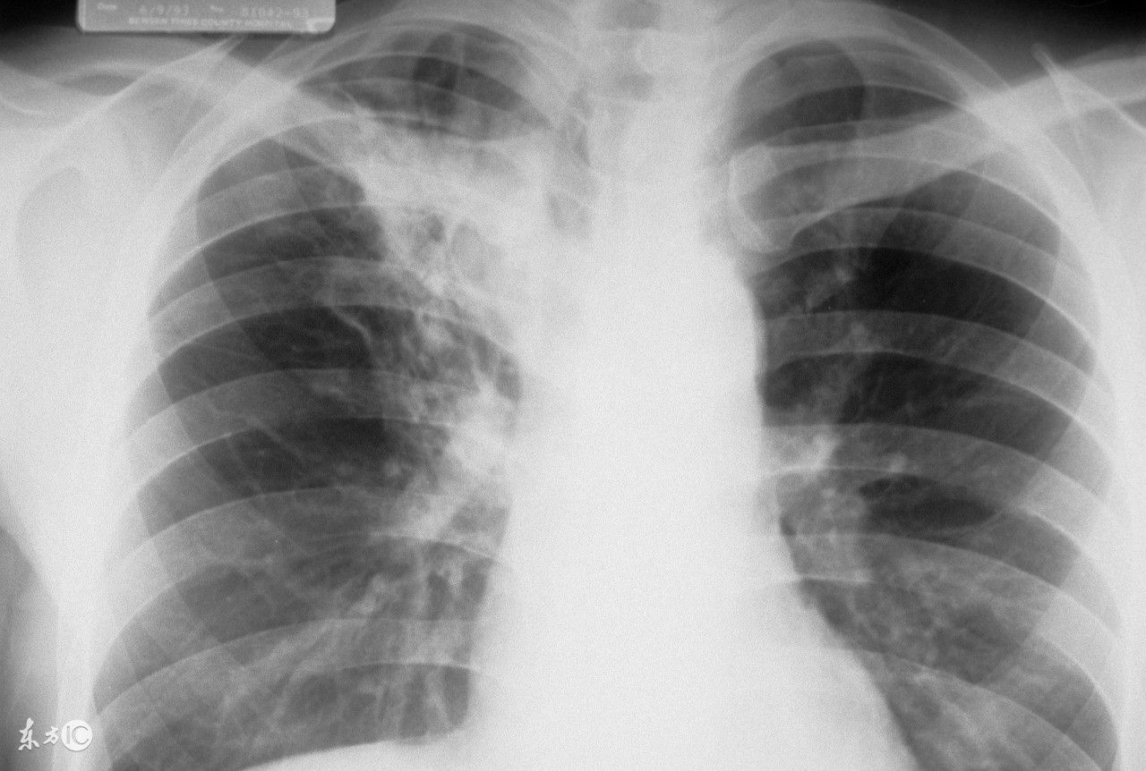
肺结核在现在的生活中已经是很常见的疾病了,对于肺结核的治疗,患者一般离不开药物治疗。药物主要是控制肺结核的病情,降低患者的死亡率。但是用药物治愈肺结核疾病是困难的。下面我们一起来了解怎样可以治愈肺结核。

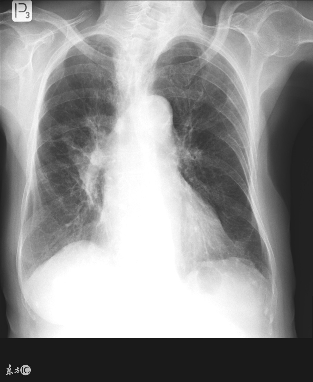
临床上对于肺结核的治疗有初、复治之分,病人有排菌和不排菌之别,结核菌有处于繁殖生长期和休眠静止期之别。抗痨药物有作用于酸性环境和细胞内酸性环境的药物,还有作用细菌外得碱性或中性环境的药物,一个合理正规的化疗方案必然有二种或二种以上的杀菌药,合理的剂量、科学的用药方法,足够的疗程,还要规律、早期用药,才能治愈。缺少哪一个环节都能导致治疗失败。

对任何疾病都强调早诊断、早治疗,特别对一定要早诊断、早治疗、早期治疗以免组织破坏,造成修复困难,早期、肺泡内有炎症细胞浸润和纤维素渗出,肺泡结构尚保持完整、可逆性大。同时细菌繁殖旺盛,体内吞噬细胞活跃,抗痨药物对代谢活跃生长繁殖,旺盛的细菌最能发挥抑制和杀灭作用。早期治疗可利于病变吸收消散不留痕迹。如不及时治疗小病拖成大病,大病导致不治愈,一害自己,二害周围人。
无论初治还是复治患者均要联合用药、临床上治疗失败的原因往往是单一用药造成难治病人。联合用药必须要联合二种或二种以上得药物治疗,这样可避免或延缓耐药性的产生,又能提高杀菌效果。既有细胞内杀菌药物又有细胞外杀菌药物,又有适合酸性环境内的杀菌药,从而使化疗方案取得最佳疗效。并能缩短疗程,减少不必要的经济浪费。

肺结核病人在治疗期间一定要按照医生的指示,不可以自己乱用药,也不能够自己随意停药,肺结核的治疗需要一定的周期,因此患者也需要有足够的耐心,另外在治疗期间也要注意多多运动来提高免疫力,以免造成病情恶化或者出现并发症。
注:文中图片来自网络,如有侵权请联系删除