维生素是猫猫维持身体健康所必需的一类有机化合物,在猫猫生长、发育、代谢过程中发挥着重要作用。
大多数维生素猫猫自身都是不能合成的,需要从食物中摄取。当猫猫摄入的维生素不足、机体出现维生素缺乏时,身体就会出现各种异常,这些都是各位铲屎官都知道的道理。
但是你是否清楚,有些维生素补充过量,也会引起猫猫中毒出现异常表现?
哪些维生素摄入过量可能蓄积引发中毒?
脂溶性维生素,能在体内蓄积,可能因过量摄入而导致维生素中毒。而水溶性维生素,摄入过量的部分一般会经尿液排出体外。

(1)维生素D中毒
- 维生素D的作用
维生素D和甲状旁腺激素、降钙素共同作用调节猫猫机体内钙的平衡,而钙平衡对机体肌肉收缩、血液凝固、神经传导和细胞内信号传导等等一系列生理活动至关重要,作用当然是大大的!

图自:allurerage.com
- 缺乏维生素D的危害
维生素D缺乏可导致猫猫出现严重的佝偻病,但过量同样也会对机体造成损害。
- 维生素D过量的危害
维生素D中最重要的两种是胆钙化醇(即维生素D3)和麦角钙化醇(即维生素D2),维生素中毒多是由胆钙化醇过量摄入引发。
海鱼肝脏中含有大量胆钙化醇,畜禽肝脏、蛋、奶中也同样含有。

案例


4个月大的家养短毛猫,咳嗽、干呕。
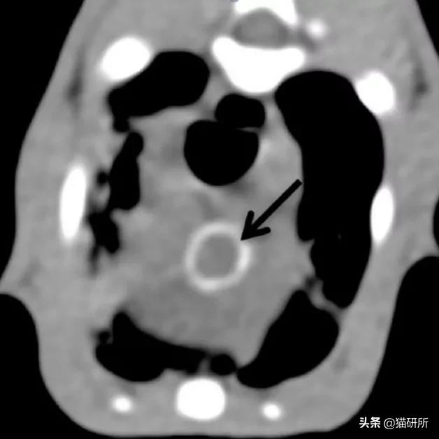
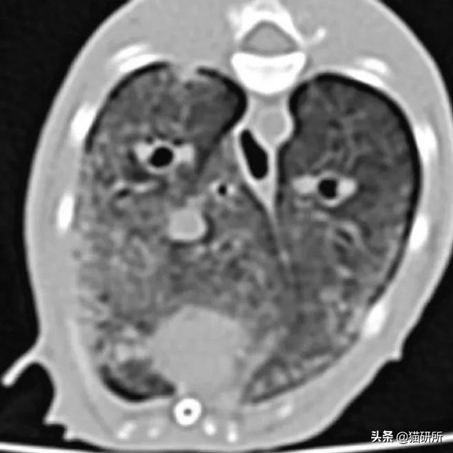
疱疹病毒等检测隐形,抗生素治疗不敏感,血液检查发现高钙血症,CT显示主动脉弓、主动脉根部矿化,肺部表现与矿化、纤维化或炎症表现一致。
经详细病史排查及第三方机构检测,发现主人饲喂的罐装零食存在维生素过量,诊断为高维生素D中毒。
(2)维生素A中毒
- 维生素A的作用
维生素A也是一种脂溶性维生素,对机体视觉、生长发育、细胞分化、免疫功能等有重要作用。

图自:allurerage.com
- 维生素A的获取途径
动物机体需要的维生素A,均来自植物合成的类胡萝卜素的转化。
但与狗狗不一样的是,猫猫不能利用类胡萝卜素来转化成自身需要的维生素A(期望通过给猫吃胡萝卜和蔬菜补充维生素A是不可能的),所以需要在日粮中直接添加维生素A。
- 维生素A过量的危害
但过量饲喂维生素A三个月以上,特别是牛奶和维生素A同时补充,则可能发生维生素A过多症。
不同个体对维生素A的耐受剂量差异很大,其体征发展可能需要较长时间,有的猫猫可能直到中年才表现出关节炎、关节僵硬等异常。

案例


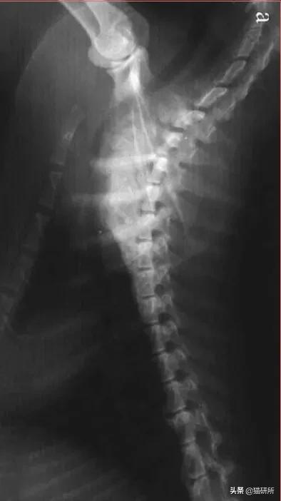
九岁去势公猫,长期以猪肝为主喂食自制食物。就诊时左前肢跛行,后出现霍纳氏综合征,两个月发展成瘫痪。
经病史检查,血液和影像学分析和以及血清维生素A浓度的测定,诊断为维生素A过量继发臂神经丛压迫。


尾颈椎和颅胸椎腹侧新骨形成
(3)维生素E中毒
- 维生素E的作用
维生素E是具有α-生育酚活性的生育酚和生育三烯酚衍生物的总称,是重要的脂溶性抗氧化剂,可以清除体内自由基,具有抗氧化损伤的作用。

图自:allurerage.com
- 维生素E过量的危害
维生素E目前被认为是毒性最小的脂溶性维生素,过量摄入可拮抗其他脂溶性维生素;且可能会延长凝血时间。


中毒情况虽较罕见报道,但因在人过量摄入维生素E时可引发免疫功能下降、出血性卒中等风险,AAFCO将成猫推荐量定为30IU每千克干物质。
最后简单总结一下,水溶性维生素,如B族维生素和维生素C在肠道中吸收,摄入过多的部分则经尿液排出,一般不会蓄积在体内出现中毒的情况;
而脂溶性维生素(主要是维生素D和维生素A)的补充就要注意啦,一定要适量哦!
日常均衡饮食也非常重要,动物内脏即使是猫主子喜欢,也不能过于纵容哦~
【本期所长互动】
你家猫咪最爱什么食物?
//////////
参考文献
[1] Crossley V J, Bovens C, Pineda C, et al. Vitamin D toxicity of dietary origin in cats fed a natural complementary kitten food[J]. Journal of Feline Medicine and Surgery Open Reports, 2017, 3(2): 1-9.
[2] Cat Nutrition, Nutrient requirements of dogs and cats.2006.
[3] Polizopoulou Z S, Kazakos G, Patsikas M N, et al. Hypervitaminosis A in the cat: A case report and review of the literature[J]. Journal of Feline Medicine and Surgery, 2005, 7(6): 363-368.
[4] Norsworthy, Gary D., ed. The feline patient. John Wiley & Sons, 2011.

责任编辑:LNS
本文为猫研所原创,谢绝任意转载