近期肺腾病友群内有患者家属问了一个大家都比较感兴趣的问题,“家属(病灶)转移少,治疗效果也不错,有没有可能通过治疗将肺癌从四期降到一期,然后手术切除实现治愈呢?”
在肺癌早期,手术是主要的治疗方法,一般能够完全切除病灶。但是晚期的肺癌患者因为多远处转移,手术切除的意义并不大。
哪些肺癌患者可以做根治性手术?
上面这位肺腾群内家属提到的通过手术“治愈”,其实想问的应该是“根治性手术”。
所谓“根治性”手术就是进行标准的肺叶切除或者全肺切除,并且切缘比较干净,同时还进行的淋巴结清扫,不会给肺癌有复发的机会。这种手术后的患者复发风险小,预后更佳普遍生活质量也更高。基本可以说是“刀到病除”。
与“根治性”手术相对应的是“姑息”手术。
“姑息”手术:在病灶无法彻底切除干净的情况下,可以部分切除、减小肿瘤、缓解症状、提高患者的生活质量。
对“姑息性”切除手术患者来说,手术的仅作为综合治疗的一部分,手术前后的多学科综合治疗才能最大程度的提高癌症的长期生存率。
首先根据美国和我国指南推荐,如果临床分期是Ⅰ、Ⅱ期肺癌,一般均首选手术治疗。手术也是根治早期肺癌最有效的方法;其次,部分Ⅲ期患者,通过评估可以“降期”治疗后,获得手术机会。在临床上,降期治疗意义重大,《2020CSCO非小细胞肺癌诊疗指南》中就有提到:对于不可切除的IIIA、IIIB、IIIC非小细胞肺癌,“MDT讨论评价 有道 治疗后降期手术的的可行性,如能做到完全性切除,诱导治疗后手术治疗”被列为二级推荐。

而Ⅳ期患者,因为伴有多发病灶转移,没有太大的手术价值。这部分晚期患者临床上可以在综合治疗的前提下,进行姑息手术切除部分肿瘤,增长寿命。
看到这里,你也明白了,根据现有的分期和手术标准来看,早期根治性手术获得治愈的机会大,中期需要治疗和再评估,普遍上来看中期的机会又比晚期大一些。晚期肺癌患者,除了可以分批手术或手术+根治性放疗的寡转移,基本被宣判,没根治性手术的机会了。
新辅助治疗实现“降期”再手术
近几年,随着靶向和免疫的兴起以及广泛使用,这两种治疗方式逐渐应用到降期治疗中。现在所说的降期治疗手段主要包括放化疗、靶向和免疫治疗等。用一个个成功案例证实了晚期≠不能手术,初始不能手术≠永远不可手术。
说到这里,不得不提“新辅助治疗”。
新辅助治疗是指主要治疗手段(比如手术)之前做的一种治疗。主要是针对肿瘤病人采取的一种治疗方法,包括乳腺癌、膀胱癌、肺癌、结直肠癌、脑瘤等,是肿瘤综合治疗中的重要环节之一。根据不同的肿瘤类型,新辅助治疗手段可能是化疗,靶向药物、免疫药物,甚至放疗,或者多种方式的结合。
新辅助疗法:手术前进行;
辅助疗法:手术后进行。
肺腾病友群内有患友肿瘤组织基因检测提示敏感基因突变,于是根据医生建议采用了新辅助靶向治疗,再控制住肿瘤后,评估可手术,效果很好。由于多数靶向药物可采用口服,对敏感肿瘤疗效好、起效快,且副作用较化疗明显减少,所以靶向药物的问世使很多晚期肺癌患者的生存期得到了很大的延长,同时明显改善了生活治疗。也因为靶向药物的这些优点,新辅助治疗采用靶向药物减少对身体的影响,使患者对手术的耐受性明显增加,同时降低了手术风险。
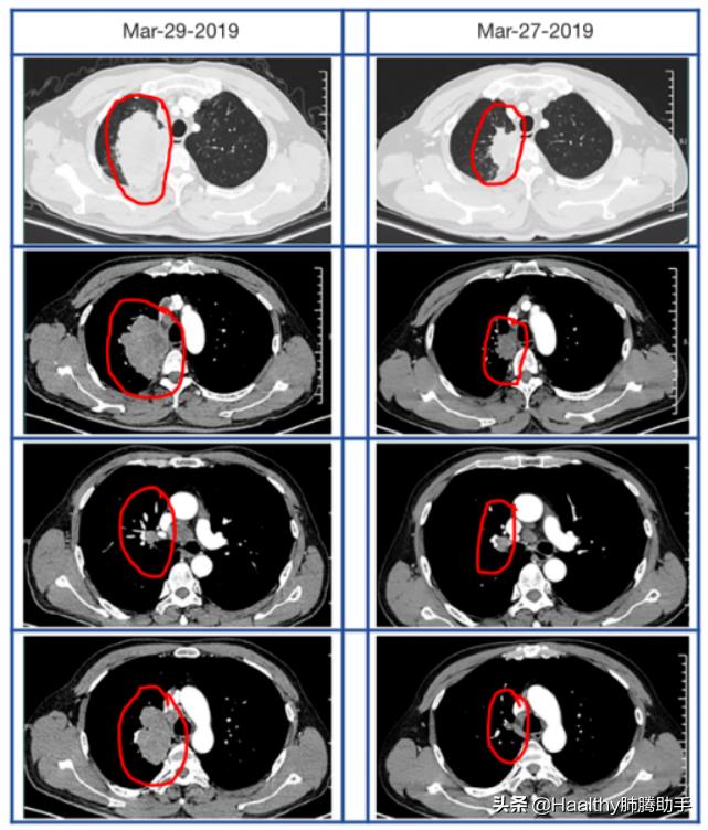
新辅助免疫治疗呢?这里也有一个例子。某男性患者被最终诊断为IIIB期(T4N2M0)肺腺癌,且驱动基因阴性。胸部CT扫描显示患者右上肺的异物性浸润性肿块达到7.7 cm×6.2 cm。接受每3周用培美曲塞和卡铂联合200 mg派姆单抗一起治疗。2个周期的化学免疫治疗后,再次进行胸部CT扫描显示,发现右上肺肿块缩小至4.6 cm,纵隔和肺门淋巴结缩小;血浆肿瘤标志物水平持续下降,CEA,CyFra21-1和NSE恢复至正常水平。之后,该患者接受手术治疗。最终的病理报告显示为5.5cm T3N2腺癌,成功实现了降期后的手术根治。

化疗联合免疫治疗后,肺肿块以及纵隔和肺门淋巴结明显缩小
根据中国抗癌协会发布的“2019中国癌症患者生存质量白皮书”的相关数据,处于早中期,也就是Ⅱ、Ⅲ期的肿瘤患者占全体受访者的大部分(52.3%)。相比而言,晚期(Ⅳ期)患者仅占22.8%。早中期患者预后明显要好于晚期。但是,仍有不少患者,尤其是ⅢB期肺癌,由于存在局部进展等情况失去了手术机会,只能坐等疾病进展。这一点是非常可惜的。
在肺腾病友群内,也有患者接受了化疗/靶向/免疫治疗,降期之后再行手术的成功案例。感兴趣欢迎添加肺腾小助手好友,加入肺腾病友群内讨论。
晚期寡转移患者的局部手术获益明显,不必紧盯“根治性手术”
晚期非小细胞肺癌患者接受新辅助治疗之后再行局部手术治疗,获益明显。
2016年Gomez等人在Lancet Oncology杂志上报道了针对肺癌寡转移患者开展的一项随机对照研究,发现对于全身治疗有效的基础上加上局部治疗(包括手术、放疗等),比维持治疗可以显著提高无疾病进展时间(11.9 v.s.3.9 m)。去年在Journal of Clinical Oncology杂志上,研究团队进一步报道了更新的随访数据,发现全身治疗有效的基础上加上局部治疗,比维持治疗还可以显著提高整体生存期 (41.2 v.s. 17.0m)。

这项研究入组的患者包含全身接受化疗或靶向治疗的,并未包含免疫治疗的患者。对于驱动基因阴性晚期非小细胞肺癌患者,无论是疾病缓解率还是生存期,免疫治疗都显示了更好的治疗效果。可以预见,未来将会有越来越多的晚期非小细胞肺癌寡转移患者,在免疫治疗之后,有机会接受手术治疗作为局部控制,从而受益。(对于身体不能耐受手术的患者还有机会接受其他局部治疗,如放疗或消融治疗等。)
结语
想在肺癌治疗中追求最大获益,也不必紧盯着“降期手术”。真正能够实现肿瘤“根治”的,是整体治疗的方法。除了手术、放化疗、免疫等治疗手段外,营养、运动以及心理等各个方面都需注意。各方各面照顾到,选择了适合自己的治疗方案,才能促使肿瘤不断缩小直至消失,杜绝复发转移。
留言“入群”,申请加入肺腾病友群,与肺癌患者/患者家属/专业医学顾问交流,或咨询临床入组相关信息。