目前新型冠状病毒感染在全国蔓延,尤其是武汉市是重灾区,新型冠状病毒感染的症状轻重不一,轻者表现为发热、乏力、咳嗽等症状,重症表现为呼吸困难,X线检查提示重症肺炎,也就是老百姓说的“白肺”。

正常肺部胸片

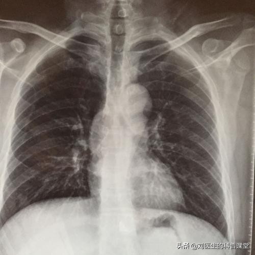
重症肺炎:白肺
对于“白肺”的患者,临床上治疗起来比较棘手,患者死亡率极高,近日武汉大学中南医院宣布通过"人工肺"成功救治一名重症患者,成为湖北首例,那么这个秘密*器武**"人工肺"是什么呢?
医学上称它为体外膜肺氧,英文简称为ECMO,它的俗称是叶克膜、人工肺。我们知道肺的主要功能是气体交换,简单来说就是吸入氧气,排出二氧化碳,肺通过气体交换把氧气运送到全身各个脏器,同时把身体的废气(二氧化碳)排出体外。当患者被诊断为重症肺炎以后,他的肺基本就失去了气体交换的功能,全身脏器因不能得到有效的供氧,会造成多脏器功能衰竭,从而造成死亡。
“人工肺”的原理是从病人体内抽出深红色的血液,经过人工肺吸收氧、排出二氧化碳后,血液变成鲜红色,又输回患者体内,这是一种医疗急救设备,可部分替代心肺功能,让患者自身心肺得以休息,为原发病的治疗争取时间。

人工肺的工作原理

人工肺机器
图片中暗红色的管子是从病人体内抽出来的富含二氧化碳的血,当经过人工肺吸收氧排出二氧化碳后变成鲜红色,又输回患者体内。
由于“人工肺”的作用只是帮助重症肺炎伴有呼吸衰竭的患者度过难关,后期还是需要患者自身恢复好的肺来维持,所以临床上一般只用于可逆的呼吸衰竭和心功能衰竭病人等。
当然“人工肺”的价格相当不菲,据某三甲医院医生介绍,每个人工肺都是一次*用品性**,它分为体外套包(价格为4.5万元),体内穿刺套包(价格为1.7万元),这两者都是自费的。除了这两者的费用外,人工肺顺利启用后,每天需要进行血气分析、电解质、血氧、血压、心率等指标监测,还需要根据患者的实际情况进行用药,所以维持人工费的运转也要有一定的医疗费用,这些费用有些是大部分实可以报销的,如果“人工肺”使用一周的话,但因为这样的患者一般都在ICU治疗,由于病情重,除了人工肺之外,每天估计还得1万多,所以一周需要的费用大概需要十几万,但是即便是拥有这么先进的人工费,它也不是万能的,如果患者的原发病得不到控制,也无济于事。
所以面对目前新型冠状病毒引起的肺炎,由于没有特效药,我们最需要做的就是提高自己的免疫力,平时多锻炼,少熬夜,饮食均衡,如果有不舒服及时到医院就诊,以免耽误治疗。
参考资料:
龙村.ECMO--体外膜肺氧合:人民卫生出版社,2010年9月