手的第五掌骨颈骨折又称“拳击骨折”,多见于拳头猛然击人、击物、打墙等时损伤。骨折多呈横断或粉碎性,但横断更多见。骨折后由于手部小肌肉的牵拉,掌骨头向掌侧倾斜,骨折向背侧成角。X线片检查可以明确诊断。
这种看似简单的骨折,复位不难,但固定方式有讲究,要求掌指关节及近侧指间关节90°位外固定,需通过近节指骨基底托掌骨头复位,为保持良好位置,不能简单地将骨折固定成手伸直位或功能位。此种骨折采用中医手法正骨治疗效果好。
复位方法如下:术者一手握手掌,手指捏持骨折近端,另一手握患指,将掌指关节屈至90°,使手部小肌肉放松而掌指关节侧副韧带处于紧张状态,再使近节指骨基底关节面托住掌骨头,然后沿近节指骨纵轴向上推顶,同时用右手拇指推压骨隆起处,成角畸形即可矫正。


本骨折固定方法常用如下:①U型夹板外固定、②石膏托外固定。这两种方法报道较多,但材料制作麻烦或较不方便,弧刃针发明人、河南中医药大学硕士生导师、河南省中医院骨伤病诊疗中心疼痛科创科主任王学昌教授则创造性的在局部外用药物之后使用第三种方法固定:绷带包扎固定。
具体方法如下:局部外用药酒, 保持环小指半握拳状,用绷带将环小指掌指关节和近侧指间关节固定于屈曲90°位。此种方法,简单方便实用,效果满意。


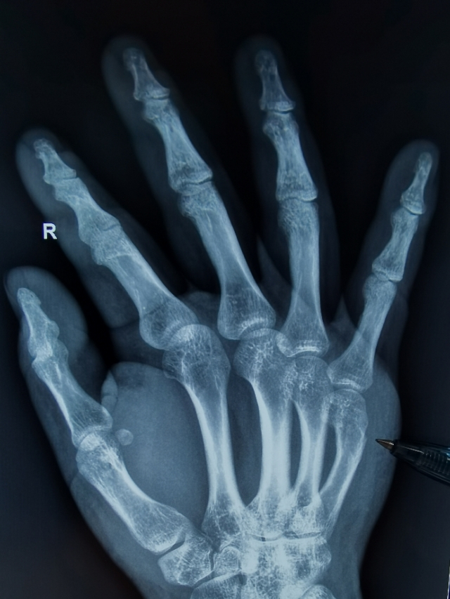
固定后常规需拍摄X线片,检查整复位置是否理想,以后每周复诊换药1-2次,一般需限制活动4~6周即可痊愈。
需要指出的是:本病手法整复效果佳,即使骨折没有解剖对位,愈后也不会影响功能,所以,一般无需手术。