食道癌和直肠癌手术能同时做不 (同时发现结肠癌和肺癌怎么处理)

临床其实也常碰到多原发癌,但胸外科来说,目前最常见的是多原发肺癌,而且以磨玻璃结节表现的为主。当然也会有其他脏器的多原发癌,今天分享的这例就是做胃肠镜时同时发现了食管癌与结肠癌,这在我从医25年来好像还是第一次。能不能同期手术?手术怎么做?风险如何?术后有何特别要注意的?需要多学科共同上台手术吗?与大家分享下我们基层医院的诊疗过程。

金华的某A,今年68岁,前段时间在内科检查胃肠镜,结果不查不知道,一查吓一跳,居然在食管与乙状结肠同时发现了恶性肿瘤:

同时发现结肠癌和肺癌怎么处理,同时患结肠癌和直肠癌怎么办

食管肿瘤不大,约2厘米,位置不错,距门齿33厘米,应该是能手术切除的部位

同时发现结肠癌和肺癌怎么处理,同时患结肠癌和直肠癌怎么办

肠镜所示乙结肠肿瘤大一些,有5厘米,镜下也见占位明显,表面不平

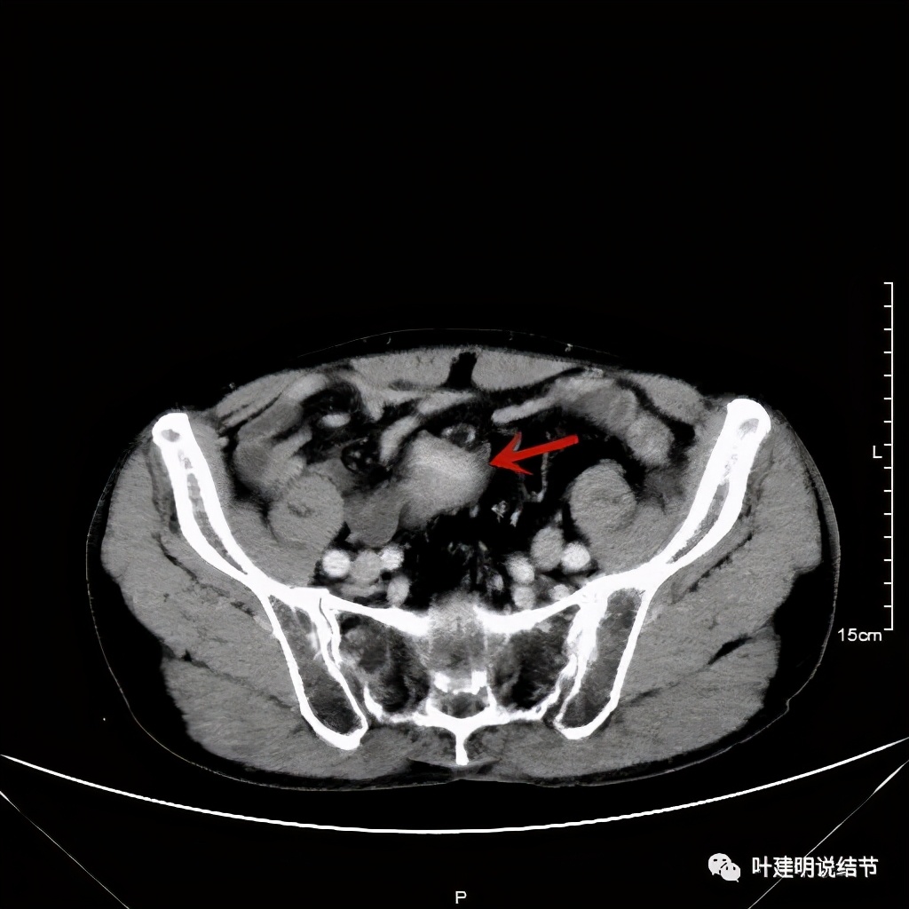
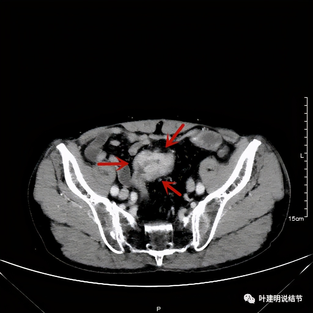
活检后食管是鳞癌,结肠是腺癌。下面是其术前CT的图像:

同时发现结肠癌和肺癌怎么处理,同时患结肠癌和直肠癌怎么办

食管壁开始增厚

同时发现结肠癌和肺癌怎么处理,同时患结肠癌和直肠癌怎么办

肿瘤已经较明显

同时发现结肠癌和肺癌怎么处理,同时患结肠癌和直肠癌怎么办

位于左下肺静脉水平

同时发现结肠癌和肺癌怎么处理,同时患结肠癌和直肠癌怎么办

红色示肿瘤

同时发现结肠癌和肺癌怎么处理,同时患结肠癌和直肠癌怎么办

红色示肿瘤,桔色示下肺静脉,与主动脉间间隙清楚

同时发现结肠癌和肺癌怎么处理,同时患结肠癌和直肠癌怎么办

同时发现结肠癌和肺癌怎么处理,同时患结肠癌和直肠癌怎么办

同时发现结肠癌和肺癌怎么处理,同时患结肠癌和直肠癌怎么办

同时发现结肠癌和肺癌怎么处理,同时患结肠癌和直肠癌怎么办

同时发现结肠癌和肺癌怎么处理,同时患结肠癌和直肠癌怎么办

以上诸图红色示乙状结肠肿瘤,绿色示其下方正常的乙状结肠及直肠

诊断已经明确,如何处理?单从食管癌或结肠癌都需要手术治疗,但一个是胸外科范畴的手术,一个普外科或肛肠外科的手术。而且食管癌手术时游离胃用以代食管需要的是上腹部操作,而乙状结肠癌手术是下腹部与盆腔的操作。只做上或下一个入路则没法兼顾两边的手术。好在在基层医院,我们科的前身是“胸外肿瘤科”,当时胃癌、肠癌、大隐静脉、开腹的胆囊切除等都是常规开展的,只是后来分科细化了,才接手结肠癌与胃癌等少了。所以手术组经过讨论,并征求普外科与肛肠外科意见,与患方充分沟通后,决定下腹部作一约10-12厘米切口行乙状结肠癌手术,食管癌常规进行。手术中先做结肠再做食管癌,手术由我们自己同组医生进行。手术尚属顺利,食管癌是翻身改变体位的,包括中间翻身与重新消毒铺巾等,共用时4个多点小时。术后食管癌的病理如下:

同时发现结肠癌和肺癌怎么处理,同时患结肠癌和直肠癌怎么办

同时发现结肠癌和肺癌怎么处理,同时患结肠癌和直肠癌怎么办

结肠是腺癌,浸润深度达浆膜下层,切缘阴性,脉管侵犯阴性,区域淋巴结未见转移。

患者术后1周时滴肠内营养后感腹痛难忍,下腹部有压痛,伴有解稀血便,腹腔引流管内也有少许较鲜红的血性液引流出,对症处理后改善,但此后多次便血,虽腹部体征尚可,没有明显腹膜炎征象,但用了止血药、生长抑素及加强抗炎治疗后,仍出血。血常规复查变化如下:

同时发现结肠癌和肺癌怎么处理,同时患结肠癌和直肠癌怎么办

上图示术前血常规

同时发现结肠癌和肺癌怎么处理,同时患结肠癌和直肠癌怎么办

上图是术后1周时血常规

同时发现结肠癌和肺癌怎么处理,同时患结肠癌和直肠癌怎么办

上图是术后2周时血常规

虽中间一度没有便血,但到术后13天时突然出血量大,短时间内解血便3次,每次量约200-400克,原本已经禁食、止血药、生长抑素、输血等处理中。我们考虑不得以则要手术探查了,但再手术到底内部是怎样的情况,手术该如何做,不单是住院时间延长,禁食时间更长,而且也存在许多未知数。正在我们外科医生一筹莫展之时,消化内科施晓英医生会诊后非常果断建议急诊结肠镜检查与探查止血!我们当心吻合口问题,检查时肠道内要充气会不会带来其他影响,比如出血是不是存在吻合口瘘的可能,如果瘘口较小,引流通畅,腹膜炎可能不厉害,而检查时一充气会不会导致瘘口撕开反而不得不进腹探查。施医生认为术后已经近2周,关系不太大,值得一试。所以急诊行了肠镜检查:

同时发现结肠癌和肺癌怎么处理,同时患结肠癌和直肠癌怎么办

结果发现吻合口附近粘膜血管活动性出血,但未见明显瘘口。镜下成功止血,此后便血停止,恢复良好,近日顺利出院。真的感谢施莉院长带领下的消化内科优秀的团队,感谢施晓英医生的果断、干脆、利落的治疗意见,并事实证明是非常正确的,避免了二次剖腹手术。所以医院的综合水平挺重要,在需要多学科协作处理时,兄弟科室的优秀能帮衬到你的科室,共同探讨协作处理,能取得更佳的治疗效果。

(此处已添加医疗卡片,请到*今条头日**客户端查看)