很多日常生活中不注意的小病小痛可能就是病变的前兆,如果在生活中忽视身体上的一些问题,极有可能不利于自身的健康。等到完全病变后再确诊, 患者的生存质量已经大幅度降低。而且重大疾病会给患者带来沉重的经济负担,所以要提高预防疾病的意识,千万不要忽视身体上的小信号。
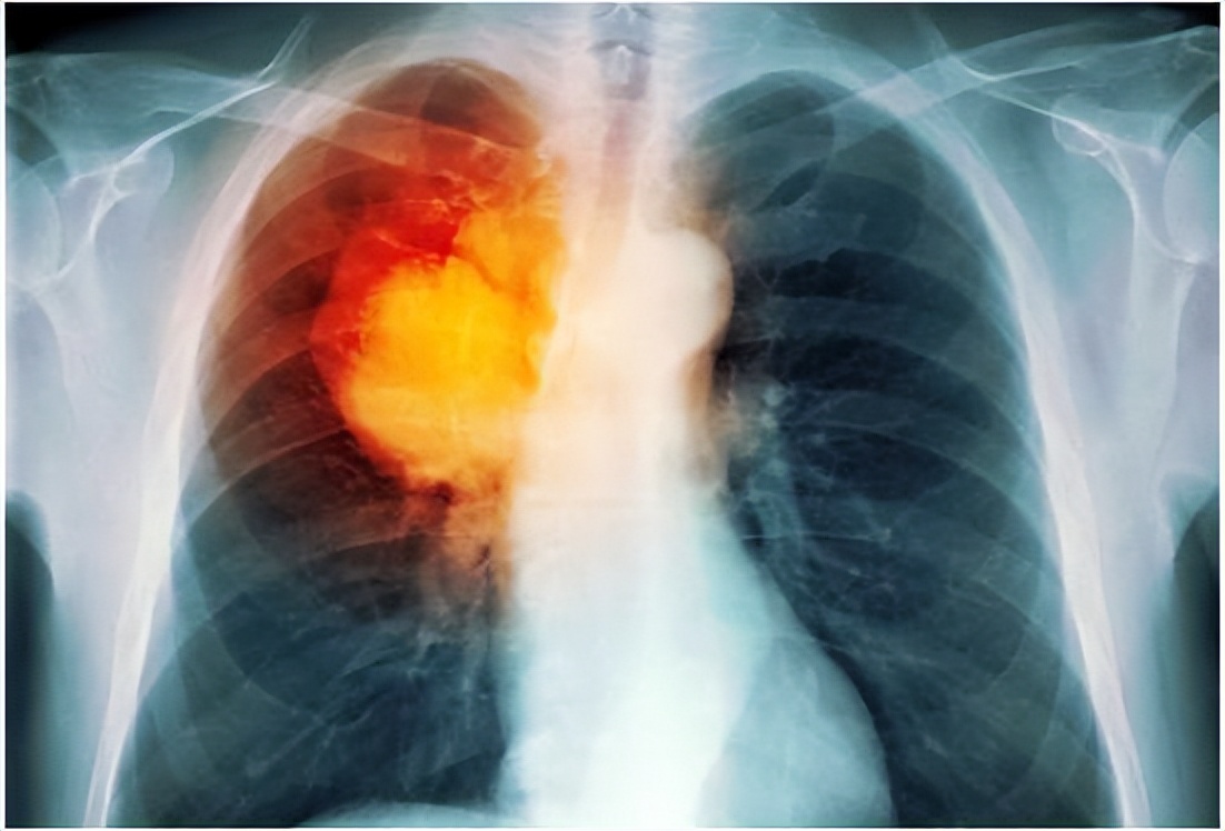
青岛的王大爷最近身体上就有点不舒服,干活时间长了总是会腰酸背痛,而且不知道为什么,当王大爷的胳膊每当抬起的时候,肩背总是突然的阵痛。 本来一开始他并没有放在心上,后来经不住肩膀越来越疼,他怀疑自己是肩周炎加剧了,就到医院去做了一个检查,检查结果让他大吃一惊,王大爷得了肺癌!

本来是普通的肩膀酸痛,怎么会是肺癌呢?王大爷惊吓之余百思不得其解,难道肺癌和肩背这两个八竿子打不着的地方还有什么联系吗? 经过医生的一番解释,王大爷彻底明白了,原来肩背痛还真有可能是肺癌。
一、别有玄机的肩背部疼痛
如同王大爷一样,很多人因为自身的知识局限就容易走入一个误区,那就是肩背部疼痛就是肩周炎。对于上了年纪的人来说更是对此深信不疑, 因为他们觉得人劳作一生,身体上有点酸痛十分正常。如果肩背部疼痛,就有可能就是使用肩膀太过频繁导致韧带或者肌肉酸痛,休息几天就没事了。

相信这个认识已经成为绝大多数人的共识了,总觉得肩背酸痛休息几天就没事。其实,事实与之相反,普通的肩背部疼痛极有可能是肺癌的前兆。 王大爷就是盲目判断了自己的病情才延误了治疗,最终肺部的病变已经发展到了癌变的地步,可谓是误了大事,所以说对于肩背部疼痛要有正确的认识。
医生解释说,肺是人体重要的器官,人体的肺分为尖、底、体三个部分,它在身体里有举足轻重的作用,因为它的周围遍布着四通八达的神经, 如果靠近此处生长了肿瘤,便容易扩大、病变,导致压迫或侵犯到周围神经,从而导致肩背部疼痛。 这种肺部病变的成因在临床医学上是很常见的。

肩背痛是临床常见的症状,大都为肩背局部骨或软组织疾病所致。在此处发病的几率十分高, 比如人体比较常见的肩周炎、肩关节的骨关节炎、肩袖损伤等。在肩关节处产生炎症往往也会波及到整个肩背部区域,从而引起整个肩背部疼痛,这也是临床大部分人所熟知的。但是很多人并不了解, 其实肩背部的疼痛也可能是肿瘤转移至肩部所致。
大多数人会将肩背部疼痛联想到骨关节、肩关节痛,所以一直采用休息就会好起来的方针,在骨科里治了又治, 最终没有发现肺部的病变。这就导致肿瘤或者病毒已经扩散到了背部、胳膊等地方,等真正查出来的时候,大多数的情况已经十分恶劣了。

生活中大多数人之所以会忽略肩膀疼可能是肺癌的前兆的原因是,当肺部出现病变的时候,大部分情况下人是感觉不到疼痛的,只要肿瘤没有扩散到周围的其他组织,人体就不会有严重的疼痛或不适。 最常见的是有的人明明已经肺癌很严重了,但是却始终没有肩背部疼痛的表现,因此这一预兆也渐渐被人们忽略。
其实王大爷患上肺癌是早有预兆的,但是因为他个人预防意识不够,没有引起足够的警示。一拖再拖,导致他肺部在不断地发生病变, 直到肿瘤压迫了周围的组织引起了疼痛,这才让他警惕起来。虽然为时不早,但是好歹也及时查明了病因,及早地进行治疗,从这一层面上来说也是不幸中的万幸了。

二、肺癌的预兆
让王大爷苦恼的是,肺癌的表征不应该是连续不断地咳嗽吗?怎么他并没有十分剧烈的咳喘?其实这也是一个误区,因为人体体质不一样,肺癌作用在不同人的身上会有不同的表现,尤其是大多数人认为的咳嗽。 其实很多人在患有肺癌初期是不会咳嗽或者轻微咳嗽的,只有到了晚期的时候咳嗽才十分剧烈。
如果肩背酸痛是肺癌的预兆,人体首先就会表现为十分不适。人体背部和肺部的神经密密麻麻、十分密集, 如果是肺癌的话,患者的背部就会剧烈的疼痛,甚至是常人难以忍受的腰痛、关节痛。 所以说,如果生活中的人忽然感觉腰背痛的难以忍受,一定要到医院去做一个详细的检查。

肺部发病时还有个前兆,那就是咳出来的痰中带有血丝。 这一征兆也常常被人们忽略,尤其是那些抽烟的烟民,他们因为长时间的吸烟,导致尼古丁在肺部已经病变了。他们通常也认为是吸烟吸得太多导致咳出来的痰有些异样,殊不知肺癌也会导致痰色发生变化,所以这一现象也十分值得警惕。
其实相对于其他的重大疾病,肺癌的征兆并不是很明显,而且这一病症在初期十分的隐秘。但是随着病情陡转直下,各种症状会一起涌现出来。像常见的咳嗽、咯血、痰中带血,部分人后期可能会胸闷、胸痛、消瘦等。除此之外, 还有可能身上会出现不明原因的骨痛、背部疼痛,当肺部的肿瘤扩大时,还会带来不同的症状。

王大爷初期并没有剧烈的咳嗽,但是他有一个症状是肺癌的前兆,那就是 他的呼吸十分短促,而且有时候会呼吸困难,同时伴有嘶哑的声音和喘鸣声,这种种迹象都是癌变的前兆 。因为当有肿瘤扩散时,它会压迫周围的胸腔,导致呼吸不顺,甚至会产生积液堆积的情况,当这几种现象并发而来时,就要引起重视了。
三、如何区别肩周炎和肺癌
肩周炎又称肩关节周围炎,以肩部为中心在周围逐渐产生疼痛,主要是因为体力劳动引起的,特别是患者在晚上的时候会感觉十分疼痛。 在肩周炎发病时,人体的肩部前、后、外侧均有压痛,活动范围十分受限。症状严重的患者甚至连日常的动作都不能完成,比如说抬手举高、提重物,侧弯腰等。

肩周炎患者在肩周痛的时候,通常表现为一种钝感的疼痛,而且患者不能屈伸关节。 判断一个人是否有肩周炎,最好的方法就是按压找到压痛点,如果能找到有明确疼痛的地方,就说明是肩周周围有炎症。 在临床上,肩周炎患者十分害怕吹风和凉水浸入,如果不慎吹冷风或者受凉,患者便开始剧烈的疼痛。
和肩周炎症患者不一样,肺部出现肿瘤的人的痛感是放电般的感觉,尤其在剧烈的时候身体会不由自主地抖动,肩背部感觉麻麻的,它没有明显的疼痛点,患者对于这种痛感描述为片状。 而且肺癌患者不会忌讳凉水、冷风等寒性物质,这就是因为肺癌的原因是病毒或者肿瘤的扩散导致,并不是骨科和韧带的原因。

王大爷就是有这种体会,往常如果劳作辛苦、肩膀疼痛,贴上一副膏药就会缓解不少。但是近日来的肩背疼痛和以前大不相同,不仅贴膏药也无济于事, 反而还要吃专门的止痛药才能缓解一二。他能明显地感觉到,即使止痛药缓解了一时半会儿的疼痛,过段时间还是会复发并且会愈演愈烈。
四、如何预防肺癌
预防疾病是治疗疾病的第一步,疾病需要人本身十分注意,不能只依赖于医院的治疗。 因为很多情况下很多的症状是重大疾病的前兆,如果说疏于防范的话,后期再治疗未必能起到根除的效果。根据中国卫生组织的调查数据显示,目前我国处于亚健康状态的人占大约69%,这个数据可以说是比较大的。想要得到最好的健康,只有预防才能做到。
癌症在目前医学上还没有得到根除它的办法,现实生活中的人们可以从自身入手,去预防癌细胞的产生和病变。 一般人们所说的“癌症”习惯上泛指所有恶性肿瘤。 分为致癌、促癌、演进三个过程,与吸烟、环境污染、不合理膳食等因素密切相关,所以,如果想要预防癌症,可以从以下几个方面入手。

1、戒烟
大家常把烟酒当做燃烧寿命的有害物。值得注意的是,适量地摄入酒精对身体机能是有一定的好处,但是千万不能过量或者养成酗酒的习惯。但是*草烟**不一样,*草烟**里含有大量尼古丁和焦油,这两种物质进入肺部会直接附着在肺气管上,可以说对人体没有一点好处。 临床报告显示,烟民是肺癌群体的高发人群。
王大爷在年少时就养成了吸烟的坏习惯,这么多年下来可以说他是一个地道的老烟。如今在医院里检查出肺癌,基本可以断定香烟就是他身体的第一大杀手。 因此如果想要预防肺癌,第一件事就是戒烟。吸烟百害而无一利,轻者产生呼吸道的各种疾病,重者肺癌晚期,再无回天之力。

2、远离被污染的环境
近些年来伴随着经济发展越来越好,环境问题也逐渐暴露出来,人类工业化进程加快的代价就是环境不堪重负,对人类产生了反作用。世界卫生组织已公布的与环境有关的致癌性物质包括:砷、石棉、联苯胺、4煤焦油、矿物油等等。 环境中的这些化学的或物理的致癌物通过体表、呼吸和消化道进入人体,诱发癌症。
雾霾问题是近几年来重点关注的问题,对于普通人来说,想要预防肺癌,就要远离雾霾环境。雾霾里含有各种对人体有害的细颗粒、有毒物质达20多种 , 包括了酸、碱、盐、胺、酚等,以及尘埃、花粉、螨虫、流感病毒、结核杆菌、肺炎球菌等, 如果人长时间吸入雾霾的话,肺部就会变得乌烟瘴气,肺部健康就会无从谈起。

3、保持平和的心态
当人面对疾病时,要保持冷静的头脑,需要树立战胜疾病的信心,保持乐观的情绪。这样可以促使体内分泌更多的有益于健康的激素,调节内分泌系统和免疫系统到最佳状态,从而大大地增强人体免疫力。 因此,保持乐观的情绪,不断提高机体免疫力,不但是防止癌症发生的关键,也是癌症患者战胜癌症的最好“抗癌药”。
四、结语
癌症的确可怕,但并不是致人死亡的疾病,所以不管要预防的是肺癌还是其他癌症,都要尽量避免接触提高发病风险的因素。 同时,大家最重要的就是尽量保持一个良好的心态,不要将疾病视为洪水猛兽,惶惶不可终日。 何况,保持一个乐观的心态在理论上也是会降低癌症的风险的。

随着社会发展越来越快,环境问题也比较严重的情况下,很多疾病的源头都会随着呼吸道、食道进入人体的体内。这些事很多时候是无法让人察觉的,但是现实生活中的人却可以在生活中提前预防、尽量避免。 如果想预防肺癌,在日常生活中就要注意不要去污染严重的场所,每天呼吸新鲜空气,保持肺部健康。
那些不吸烟的人群也不能掉以轻心,因为二手烟和厨房油烟都有可能进入肺部造成肺部疾病,所以说防癌是每个人的事情。 最好是每天进行一定的体育锻炼,提高自身免疫力,保持一个平和健康的心态,正确看待疾病、这样才能拥有一个健康的身体。