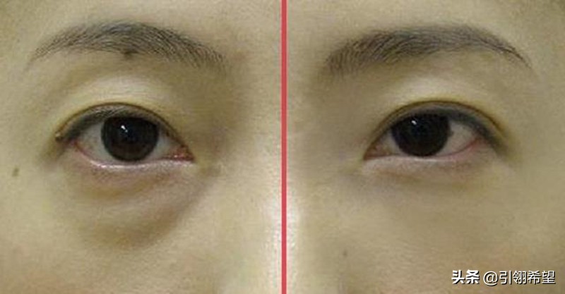
我是一位男生,也算是五官端正,但从初中开始就发现自己长出眼袋来了,那时的自己年纪尚小,对美的追求还不是那强烈,所以有眼袋这事就不以为然了。升上了高中后,17岁的意气风发的自己突然感觉这双眼袋极大地拉低了整体颜值,所以自己也慢慢去上网查资料,更深一步去了解眼袋,原来我这属于遗传性眼袋,加上熬夜作息不规律,黑眼圈也特别重,所以才导致整个眼部肌肤松弛,形成了这眼袋加黑眼圈。自从意识到这些后,也买过一些去除眼袋的美容产品来使用,但一点效果都没有,导致整个人特别自卑,有时总不敢抬头看人,导致社恐症,一直持续到婚后。

2021年的9月份的某一天,自己想通了,给自己打气,觉得人得去为自己真正活一次,下定决心要把这将近20年的眼袋去除掉。上午到了之前就有了解过的某家医美医院,首先和医生面诊,医生把一些具体的东西详细说过后,结合我的情况,确定使用微创抽脂的手术方式去除眼袋。中午先进行常规的体检,手术安排在下午14点30分,项目简单的体检后,医院安排了午饭,第一次在医院用餐,个人体验还不错,之后医院安排了房间休息,到时间再通知我进行手术。休息时有点惴惴不安,平生第一次做手术吧,脑海里出现了种种无法言语的画面,不过平静下来,想着既来之则安之吧!

到时间了,护士过来通知去手术室,到了手术室后,好像医生看懂了我,对我说“很简单的小手术,别紧张”,主刀医生是位男性,术前和我简单聊了一下,不过有句话特别深刻“你很有勇气”,估计是很少有男生来进行这类去除眼袋的手术吧,他在鼓励我吧。躺上手术床,就开始了,局部消毒、局部麻醉、穿刺、抽脂、挤压等,手术台上的我迷迷糊糊的,像一只小白鼠那么无助和无奈,手术过程中不能闭眼,头上的光亮的手术灯特别刺眼,眼睛特别痛苦,还要忍受不时的刺痛感,心里突感有些后悔,有眼袋也能凑合着过生活,起码不会躺在这受痛苦,但是又想着马上就能去除这困扰了将近20年的眼袋了,再忍忍,就这样,心里面两个小人在打架,心理斗争很是激烈。两个小时的手术终于结束了,除了眼睛微微的不适感外,其他的都还好,最后医生还夸了我鼻子好看,算是安慰吧。出了手术室后,要对眼部进行半小时的冰敷,局部虽无创口,但避免沾水还是进行了小包扎,之后医院开了眼药水和抗生素药物回家定时使用,之后怀着无比期待的心情离开了医院。
也许是自己首次上手术台,估计这辈子都很难忘记当时的画面和感受,因为自己不想再去忍受不理想的人生状态,虽做出决定很难,但我佩服自己的破釜沉舟,也确定以后的自己会感谢现在的自己,敢于尝试,敢于去改变。这就是我的“非常病例”,你也有吧,不妨说说看喔!
