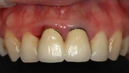
为了追求牙齿的整齐美观,前几年有不少人去做了烤瓷牙,可是没过几年,本来一口洁白整齐的大白牙,开始有了破绽,烤瓷牙的边缘出现一条黑线,逐渐的连牙龈也开始慢慢变青了,严重影响美观。
究竟是什么原因让烤瓷牙的边缘变黑了呢?今天我们就来探讨一下这个问题。

烤瓷牙是前几年非常流行的一种修复牙齿缺损及达到功能和美观要求的修复牙冠。由于全瓷牙技术还没有像今天一样成熟可以普及。大多数人在选择做烤瓷牙时,都会选择金属烤瓷冠。
但经过长期的临床发现,烤瓷牙的寿命似乎并没有那么长,一颗烤瓷牙最多用十年,在这个年限内,有不少的做完烤瓷牙的患者在烤瓷牙的边缘处出现黑线,牙龈也会有不同程度的变色现象。

由于这种烤瓷牙现象频出,引起了专家的注意,经过长时间的研究,专家们终于发现了烤瓷牙边缘变黑,离不开这几个问题。

1.烤瓷牙制造技术不够成熟 材料生物相容性较差
经专家研究发现,虽然烤瓷牙的表面陶瓷材料具有一定的生物安全性,但是大部分的烤瓷牙的金属内冠的材料都含有镍铬合金,这种金属材料虽然属于安全的医用材料,但是长期在口腔中与唾液接触,会引发腐蚀变色现象。金属离子析出游离之后,会在牙龈上沉淀,逐渐的让牙龈变黑。
这些年,烤瓷牙的热度也逐渐降了下来,一些含有镍铬合金的烤瓷牙基本被淘汰,医生都会建议你做全瓷牙冠。

2.牙体制备准确度不够
安装烤瓷牙的步骤相当复杂,医生要安装前做好备牙工作,在安装的过程中,如果肩台位置和烤瓷牙的边缘没有处理好,带上烤瓷牙冠后就会与真牙产生间隙,也会引发烤瓷牙出现黑线问题,还会产生真牙被蛀的问题。

3.牙肉有萎缩现象
如果说上一条可以怪医生的技术问题,没有给你装好。那么这一条真的不能怪医生。有的人,由于日常刷牙习惯的问题或是有牙周病牙造成牙肉萎缩现象,牙肉萎缩会让金属烤瓷牙冠内部的金属牙材露出来,所以看起来黑黑的。建议有牙肉萎缩现象的患者不要急于安装烤瓷牙,先解决好牙肉萎缩现象,在进行烤瓷牙的安装。

烤瓷牙出现黑线后我们要怎么办?
很简单,分清主次,断舍离。
1.保住牙根为最重要
就像大树要有根才能成长,牙齿虽然会产生各种各样的病症,但只要有牙根,一切都好说,当烤瓷的牙冠出现问题时,要及时的去医院拍牙片,让医生判断牙根情况。如若牙根可保留,可以换掉牙冠重新安装。
2.选择和生物相溶性更好的材料
当我们充分认识到烤瓷牙边缘变黑产生黑线的主要原因时,我们就要注意避开选材料的大坑,选择对身体无害并且与生物相容性较好的材料,才能避免彻底避免黑线问题。

3.注意牙龈萎缩现象
烤瓷牙一旦出现问题要,要及时组织牙龈萎缩的现象加重,拆掉旧的烤瓷牙,是最好的选择,如若想在安装,首先要观察牙龈的萎缩状况,牙龈一但萎缩不仅不可逆,而且还会让烤瓷牙边缘与牙龈再次产生间隙,引发各种各样的牙病。
4.不要忽视牙周护理
牙周护理对于安装烤瓷牙的患者非常重要,出现烤瓷牙黑线时,要及时的做好牙周护理,是最基本的。

那些年让你又爱又恨的烤瓷牙,你做完是不是后悔了呢?其实烤瓷牙本身并没有对人体有什么危害,只是烤瓷牙材质有局限性,常常让我们不省心。作为一名牙医,想告诉你们,安装全瓷牙或者是种植牙,也是两种不错的选择。

我是牙科医生黄征难,35年从业经历,如果你有任何口腔问题,欢迎在主页私信咨询,或评论留言!可以私信牙片,我来帮你免费问诊!