高中教师听神经瘤术后继发脑积水和严重颅内感染,被下病危通知书,经李小勇脑脊液科治出院后重返“讲台”,出院后8年评为市级文明家庭
患者女,39岁,山西省静乐县人。
一、李小勇脑脊液科入院前病史
患者高老师是一名高中历史教师,右耳听力减退已10余年未给予特殊治疗,但2013年11月因出现病情严重的头疼头晕症状,到当地的山西省静乐县某医院,查头颅CT(图-1)后颅内肿瘤占位,需要手术。

图-1:2013年11月6日头颅CT
当天转至上级的山西省某省级三甲医院,查头颅核磁(图-2)示听神经瘤,需要手术。

图-2:2013年11月6日头颅核磁和核磁增强
为治疗听神经瘤,1周后住入北京的某三甲医院,于2013年11月14日,进行了右侧听神经瘤切除术。
但术后3天即2013年11月17日,出现切口渗液,给予加压包扎。
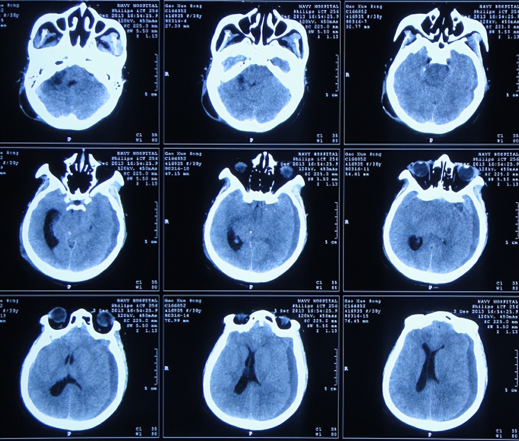
听神经瘤切除术后7天即2013年11月21日,查头颅CT示仍有血肿(图-3),出现发热,最高体温体温38.3 ℃左右,给予腰穿检查脑脊液后认为有感染,给予腰大池引流术及鞘内注射万古霉素。

图-3:2013年11月21日头颅CT
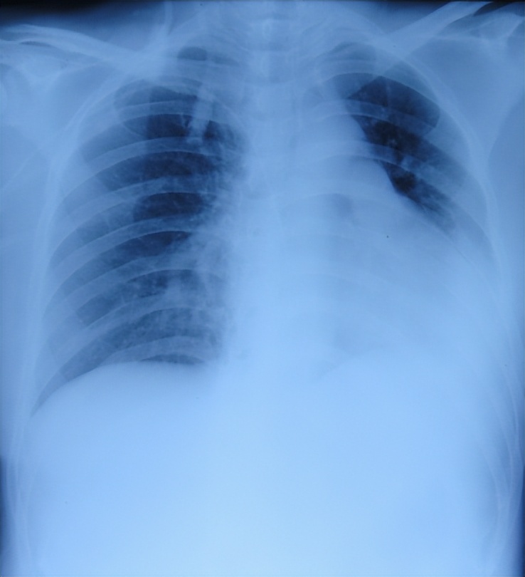
听神经瘤切除术后14天即2013年11月28(腰大池引流术后7天),查肺片(图-4)认为有感染。

图-4:2013年11月28日肺片
腰大池引流术后10天即2013年12月1日(听神经瘤切除术后17天),仍反复发热(停止鞘内注射后2-3天再次出现发热),查头颅核磁增强(图-5)出现硬膜下积液。

图-5:2013年12月1日头颅核磁增强
腰大池引流术后12天即2013年12月3日(听神经瘤切除术后19天),期间仍反复发热,查头颅CT示一侧脑室扩张大,硬膜下水肿(图-6),担心加重颅内感染,改行腰穿治疗。

图-6:2013年12月3日头颅CT
之后反复交替给予腰大池引流、腰穿治疗并联合鞘内注射(万古霉素、庆大霉素、头孢他啶)治疗,但仍每次停止鞘内注射后最长3天又会出现发热现象。
听神经瘤切除术后28天即2013年12月12日,查头颅CT示仍有一侧脑室扩张(图-7)。

图-7:2013年12月12日头颅CT
听神经瘤切除术后42天即2013年12月26日,查头颅CT(图-8)后持续交替给予腰大池引流、腰穿治疗并联合鞘内注射。

图-8:2013年12月26日头颅CT
听神经瘤术后49天即2014年1月2日,仍间断发热,查肺片(图-9)认为仍有感染。

图-9:2014年1月2日肺片
听神经瘤术后61天即2014年1月14日,已持续交替腰大池引流、腰穿治疗并联合鞘内注射循环5次),但仍间断发热,脑脊液培养发现真菌,查头颅核磁增强(图-10)后给予鞘内联合静脉两性霉素抗真菌治疗。

图-10:2014年1月14日头颅核磁增强
抗真菌治疗后大约10天后因血钾偏低明显改为大扶康静脉抗真菌治疗。听神经瘤术后73天即2014年1月28日,查肺片(图-11)仍有感染。

图-11:2014年1月28日肺片
但2014年3月10日即听神经瘤术后116天,脑脊液培养再次发现真菌(具体不详),再次给予抗真菌治疗,发热依然反复出现。
2014年3月14日即听神经瘤术后120天,查头颅核磁增强示四脑室有扩张(图-12)。

图-12:2014年3月14日头颅核磁增强
听神经瘤术后继发脑积水,且严重颅内感染反复治疗无效后,患者被医院下了病危通知:“医院的意思很明确,如果早点回去还能保留全尸,如果死在医院那就只能火化”,家属不肯放弃,几经辗转、多方打听后找到北京的李小勇脑脊液科。
二、在李小勇脑脊液科治疗过程和结果
2014年3月20日即听神经瘤术后126天,反复腰穿和腰大池引流交替治疗但仍间断发热近4个月,因此,转住入李小勇脑脊液科。入院时:体温高38.2度,嗜睡,精神差,言语不清,刺痛后右半身瘫痪;右枕部听神经瘤切除术后切口瘢痕;双侧瞳孔对光反射迟钝;右耳听力消失;口角左侧偏斜(图-13)。

图-13:入院时
入院时头颅CT示右侧小脑半球低密度影,第四脑室扩张(图-14)。肺片肺部感染(片子丢失);重度贫血,血小板降低,白细胞减少。

图-14:2014年3月20日头颅CT
入院后5天即2014年3月25日,进行了脑室腹部外引流术(图-15)。

图-15:2014年3月25日术后头颅CT
引流术后第2天即2014年3月26日,体温稍高37.1度,引流通畅,引流出淡黄脑脊液(图-16)。

图-16:2014年3月26日
引流术后7天即2014年4月1日,血培养示假丝酵母菌阳性,仍间断发热。
引流术后8天即2014年4月2日,查头颅CT示四脑室仍有扩张(图-17)。

图-17: 2014年4月2日头颅CT
引流术后20天即2014年4月14日,头颅CT与2014年4月2日比较:右侧小脑半球见片状低密度影;四脑室扩张变小(图-18)。

图-18: 2014年4月14日头颅CT
引流术后35天即2014年4月29日,发热已消失半月,意识变清,变得能简单对答,能简单遵嘱活动,但饮食稍差(图-19)。

图-19: 2014年4月29日
引流术后41天即2014年5月5日,患者不思进食伴恶心,查头颅CT示四脑室再次扩张变大(图-20)。先观察,如果无改善将行四脑室外引流术。

图-20:2014年5月5日头颅CT
因持续恶心及腹胀不适,2014年5月8日,进行了开颅四脑室腹壁外引流术(图-21)。

图-21:2014年5月8日头颅CT
第四脑室外引流术后4天即2014年5月12日,引流出黄色脑脊液,变得能少量经口进食,体温波动在37 ℃左右,但间断呼吸费力(图-22)。

图-22:2014年5月12日
第四脑室外引流术后15天即2014年5月23日,查头颅CT示四脑室缩小(图-23)。

图-23:2014年5月23日头颅CT
第四脑室外引流术后19天即2014年6月27日,体温正常,但精神差,言语缓慢含糊,查头颅CT示四脑室侧脑室引流管无变化,右侧小脑半球可见片状低密度影;左小脑半球低密度影消失(图-24)。

图-24:2014年6月27日头颅CT
2014年7月1日(入院治疗111天),进行了侧脑室、四脑室腹腔分流术。
2014年7月18日(李小勇脑脊液科治疗120天)出院回家,出院时:颅内感染已治好,患者神志清楚仍卧床,偶有恶心,能简单对答,瘫痪的右侧肢体变得能简单遵嘱活动,但左上肢差,仍鼻饲流食(图-25);但遗留了听神经瘤术后右眼失明,左侧嘴角偏斜。

图-25:2014年7月18日出院时
三、出院后随访
出院后1年零2个月即2015年9月17日,来院复查。复查时:时常坐轮椅,站立需人扶起,能自己走路但走不稳,左上肢,右下肢活动差;不能经口吃饭只能经肠管营养,靠全家人帮助和自己顽强功能锻炼;说话有些含糊,依然遗留了听神经瘤术后右眼失明,左侧嘴角偏斜(图-26)。

图-26:2015年9月17日
出院后3年零9个月即2018年4月16日,复查时:说话变得清楚些,之前活动差的左上肢变得基本正常;脱离了轮椅,自己走路也变稳不少,吃饭完全正常,日常生活完全自理,依然遗留了听神经瘤术后右眼失明,左侧嘴角偏斜(图-27)。

图-27:2018年4月16日
高老师因听神经瘤术后致残(右眼失明,左侧嘴角偏斜,右下肢走路稍差),被迫离开心爱的讲台,但李小勇脑脊液科出院后3年零11个月即2018年6月份开始,高老师重新站在了她熟悉的讲台上,给学生们一次又一次的进行了励志演讲(图-28、图-29)。高老师说,她想把自己的经历告诉每一位被疾病折磨的病友,告诉大家:每一个遭受命运打击的人,上天都赐予他们最珍贵的礼物,是一颗上等的心,不必华丽,但必须勇敢和坚固。她写下了自己的亲身经历与想法(图-30)。

图-28:2018年6月重新站在讲台上

图-29:2018年12月讲述自己的经历激励同学们勇敢地面对挫折


图-30:高老师手稿
出院后6年即2020年8月31日,当地医院复查头颅CT示无异常(图-31)。

图-31:2020年8月31日头颅CT
出院后7年零9个月即2022年4月,高老师虽退居二线,但退而不休,用另一种方式在讲台上发光发热:她通过自学考取了家庭教育指导师、婚姻咨询师资格,近年来一直从事家庭教育工作,先后在当地多家中小学进行了上百场励志演讲及家庭教育讲座,又加入了“未成年人保护组织”成为一名志愿者,给留守儿童讲课(图-32)。

图-32:2022年4月
出院后8年即2022年10月,高老师的家庭被评为“静乐县市级文明家庭”(图-33);高老师通过不断的努力和坚持,在与命运做着一次次斗争中不断地实现了自己的社会价值和人生价值,她的家庭也挺美满幸福(图-34)。

图-33:2022年10月11日静乐文明之窗截图

图-34:2022年10月11日微信聊天截图