大多数骨折都能随着时间愈合,但也存在着少数骨骼一直难以愈合(骨不连),如果骨折后3个月不愈合,可能是延迟愈合,也可能是骨不连,延长治疗至6-9个月后仍无愈合迹象,就可以确定为骨不连。发生骨不连后患者的感觉各异,最典型的是骨折的部位持续疼痛,其他症状包括关节活动度异常,红肿,流脓,功能受限或者不能负重等。
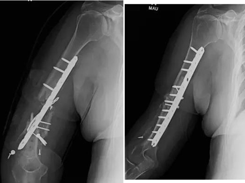
下图第一张图片显示一位患者的骨不连骨折手臂,第二张图片显示已治愈。

什么原因造成骨不连
- 固定,所有的骨折治疗都需要复位和固定:必须将断骨放回原处,进行固定,防止其移动,直到它愈合为止。有些骨折用石膏外固定,有些用钢钉,板,针进行内固定。如果固定的方式不正确,可能会导致骨不连。
- 血液供应,骨折的愈合需要血液运输养分,将氧气,愈合细胞以及化学物质(生长因子)运送到骨折部位,促进其愈合,然而不同骨骼部位的血液供应不同,愈合的速度和程度也不同,有些地方可能会发生骨不连。例如大腿以及上方的骨头(股骨头和股骨颈)以及手腕的骨头(舟状骨),血液供应有限,当这些地方发生骨折时,血液供应容易遭到破坏,愈合效果较差。还有小腿骨(胫骨),血液供应适中,不丰富也不匮乏,但是胫骨表面覆盖的软组织少,当高能量损伤了骨骼上的皮肤和肌肉,破坏了外部血液供应。或者破坏了骨骼中心骨髓中的内部血液供应,也可能引起骨不连。

- 营养,营养也会影响骨愈合,骨折手术后需要充足的营养,同时也要均衡,例如蛋白质,钙,维生素C 和维生素D等,不建议患者自行使用补充剂,尤其对于严重营养不良且多处器官受损的患者。需在医生的指导下进行营养补充。
除了以上三点,还要考虑骨折的严重程度,骨折越严重,骨不连的可能性就越大。例如高速机动车或摩托车造成的严重创伤性骨折。医生将这种骨折称为“高能量”骨折,相较于不慎跌倒引起的“低能量”骨折,低能量骨折一般骨头只会裂成两段,而高能量骨折通常会碎成很多块,极有可能破坏血液供应。
另外一些疾病例如糖尿病,严重贫血等,患者的健康状况和生活习惯,例如年龄大,吸烟,服用某些药物,局部成骨环境不佳,感染,术后康复等,处理不好也会增加骨不连的风险。

该怎么办
如果出现了骨不连,首先要分析是骨不连还是骨折延迟愈合,延迟愈合是暂时性的,不治疗也可能逐渐愈合,但骨不连不经过治疗难以正常愈合,有些患者即使还能行动,但疼痛,难以负重,肢体变形,以及各种并发症的风险,建议尽早进行治疗。
首先可以考虑保守治疗,采用低强度脉冲超声,通过刺激促进骨折愈合,也可以采用石膏外固定。严重的话就要考虑手术治疗了,首先要看是哪种骨不连,是骨缺损,血液供应不好,还是内固定不稳定,治疗包括对骨折进行重新固定,可能用原来的方法,也可能换一种方法,如果骨折缺损大,骨折端硬化严重,还可能要进行局部植骨。
医学科普,仅供参考。